TSH 鼠抗人 Thyroid Stimulating Hormone 抗体试剂(免疫组织化学)
克隆号:TSH01+TSH02
货号:GT2046


沪闵械备20180263号


TSH(Thyroid stimulating hormone, 促甲状腺激素)是由垂体前叶嗜碱性细胞分泌的一种糖蛋白激素,能刺激甲状腺生长和甲状腺素的分泌。主要用于垂体肿瘤功能性分类。


【种属】鼠


【预处理】高pH热修复


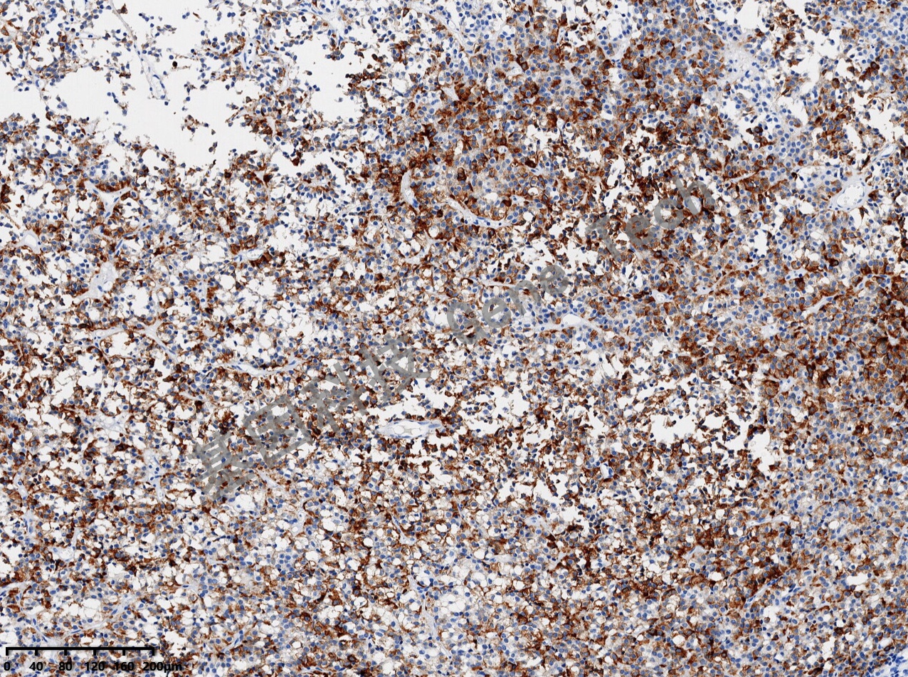
【阳性部位】细胞浆


【阳性对照】垂体瘤


【染色系统】基因科技GTvision试剂盒


TSH 垂体瘤 20210113-12 BJ3 -2_副本.jpg

垂体瘤石蜡切片,用 TSH(GT2046)染色,细胞浆阳性,DAB 显色

TSH 垂体瘤20210113-12 BJ3_副本.jpg

垂体瘤石蜡切片,用 TSH(GT2046)染色,细胞浆阳性,DAB 显色