沪闵械备20180077号
TTF-1(Thyriod transcription factor-1,甲状腺转录因子-1)是一种核蛋白,主要表达于甲状腺和肺的上皮细胞中。该抗体在甲状腺乳头状癌中表达阳性。在肺肿瘤的研究中发现,大多数小细胞肺癌、肺腺癌、大多数非典型性肺神经内分泌癌及少数肺大细胞未分化癌中TTF-1的免疫组化结果呈阳性,而在肺鳞癌及大多数典型性肺类癌中表达阴性。该抗体主要用于肺和甲状腺肿瘤的分类,也可用于鉴别肺腺癌与鳞癌。
【种属】鼠
【预处理】高pH热修复
【阳性部位】细胞核
【阳性对照】甲状腺/肺腺癌
【染色系统】基因科技GTvision试剂盒

甲状腺乳头状癌石蜡切片,用 TTF-1(GT2180)染色,细胞核阳性,DAB 显色。

甲状腺乳头状癌石蜡切片,用 TTF-1(GT2180)染色,细胞核阳性,DAB 显色。

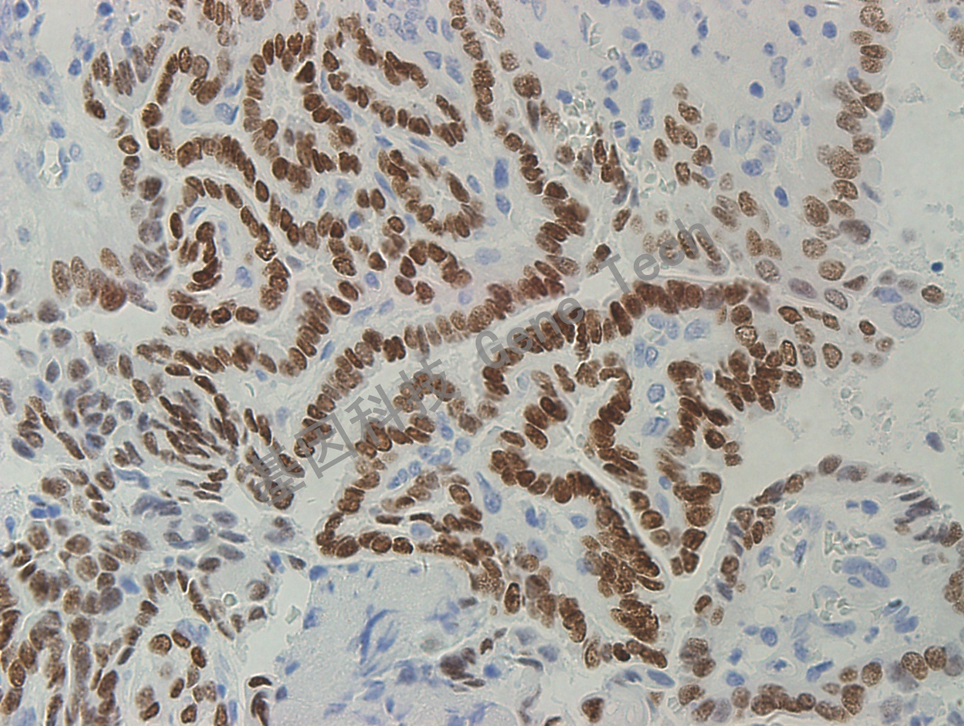
甲状腺乳头状癌石蜡切片,用 TTF-1(GT2180)染色,细胞核阳性,DAB 显色。(10×)

甲状腺乳头状癌石蜡切片,用 TTF-1(GT2180)染色,细胞核阳性,DAB 显色。(40×)