沪闵械备20180025号
TOP II α(Topoisomerase II α, 拓扑异构酶II α/TOP2A)是细胞核基质酶蛋白,具有磷酸二酯酶活性,在细胞增殖期含量增高。TOP II α的表达水平与肿瘤患者的预后有密切相关性,直接影响化疗药物的选择,表达水平的降低会导致TOP II抑制剂药物的耐药性产生。多用于肿瘤多药耐药判断的指标及作为抗癌药物的靶点研究。
【种属】鼠
【预处理】高pH热修复
【阳性部位】细胞核
【阳性对照】扁桃体/食道鳞癌
【染色系统】基因科技GTvision试剂盒

扁桃体石蜡切片,用 TOP2A(GM7186)染色,细胞核阳性,DAB显色。

甲状腺滤泡瘤石蜡切片,用 TOP2A(GM7186)染色,细胞核阳性,DAB显色。

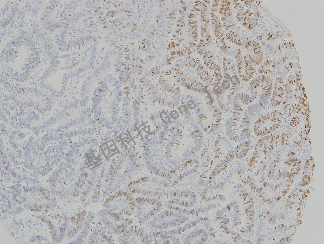
胃癌石蜡切片,用 TOP2A(GM7186)染色,细胞核阳性,DAB显色。

胃癌石蜡切片,用 TOP2A(GM7186)染色,细胞核阳性,DAB显色。

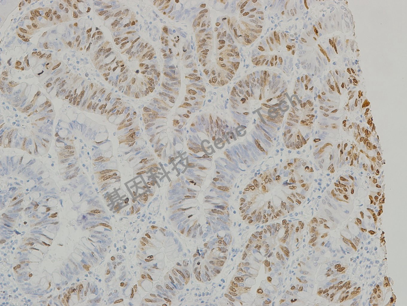
胃癌石蜡切片,用 TOP2A(GM7186)染色,细胞核阳性,DAB显色。