沪闵械备20210002号
TPO(Thyroid peroxidase, 甲状腺过氧化物酶)由甲状腺滤泡细胞合成,位于甲状腺上皮细胞的顶端游离面上,直接参与甲状腺细胞中碘的氧化,酪氨酸的碘化及碘化酪氨酸的偶联等,它是甲状腺激素合成过程中的关键酶。在正常、增生性及绝大多数良性肿瘤性甲状腺组织中高度表达,在甲状腺恶性肿瘤中TPO表达明显减少。该抗体主要用于甲状腺组织良、恶性肿瘤的鉴别诊断。
【种属】兔
【预处理】高pH热修复
【阳性部位】细胞浆
【阳性对照】甲状腺
【染色系统】基因科技GTvision试剂盒

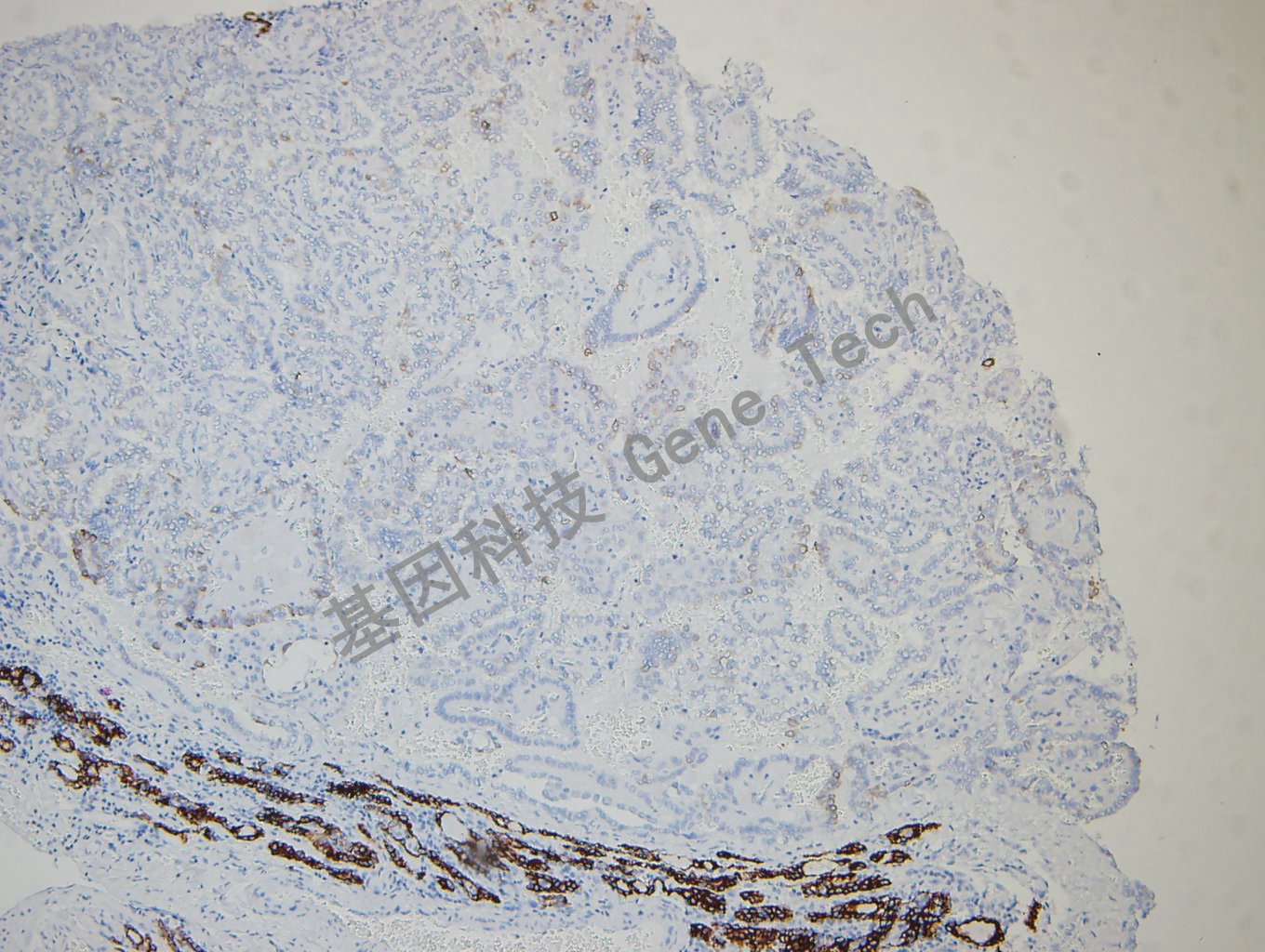
甲状腺癌石蜡切片,用TPO(GT2440)染色,细胞浆阳性,DAB显色。

甲状腺癌石蜡切片,用TPO(GT2440)染色,细胞浆阳性,DAB显色。

甲状腺癌石蜡切片,用TPO(GT2440)染色,细胞浆阳性,DAB显色。

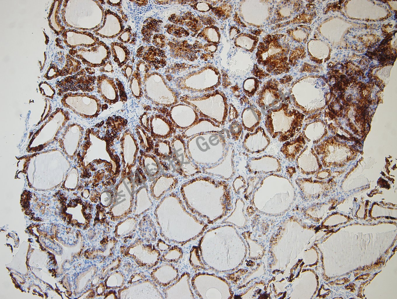
甲状腺瘤石蜡切片,用TPO(GT2440)染色,细胞浆阳性,DAB显色。

甲状腺癌石蜡切片,用TPO(GT2440)染色,细胞浆阳性,DAB显色。