沪闵械备20180192号
Tubulin β III主要参与细胞骨架的形成,其关键功能是在维持中心体的稳定性、染色体的运动和有丝分裂过程中发挥重要作用,同时是很多化疗药物作用的靶点之一;紫杉醇类抵抗的重要机制是Tubulin β III的过度表达,Tubulin β III低表达者对紫杉醇敏感度高、疗效好,主要用于卵巢癌、前列腺癌及肺非小细胞癌的研究。
【种属】鼠
【预处理】高pH热修复
【阳性部位】细胞浆
【阳性对照】胎盘
【染色系统】基因科技GTvision试剂盒

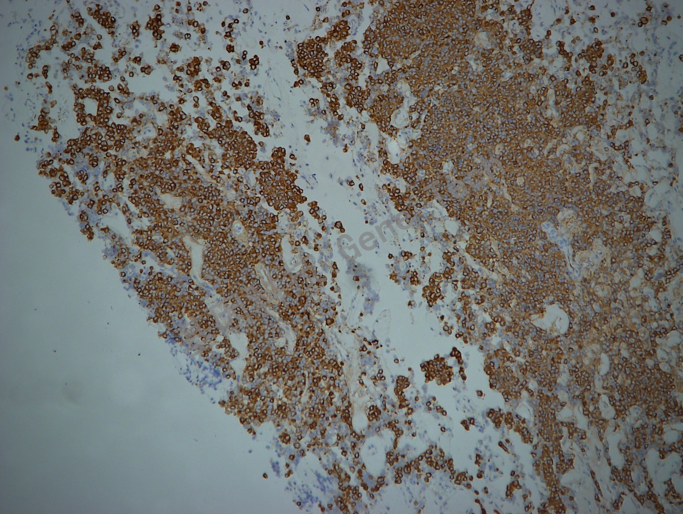
垂体腺瘤石蜡切片,用 Tubulin β-III(GT2168)染色,细胞浆阳性,DAB 显色。(10×)

垂体腺瘤石蜡切片,用 Tubulin β-III(GT2168)染色,细胞浆阳性,DAB 显色。(40×)