沪闵械备20190106 号
SOX-10(SRY-related HMG-box 10, 性别决定区Y框蛋白10基因)是一种在施万细胞和黑色素细胞的分化、成熟和功能维持方面发挥重要作用的神经嵴转录因子 。在正常组织中,表达于涎腺、支气管和乳腺的施万细胞、黑色素细胞和肌上皮细胞。在几乎所有的痣和黑色素瘤、神经鞘瘤、促纤维组织增生性恶性黑色素瘤、神经纤维瘤和颗粒细胞瘤中阳性表达;也表达于脑星形及少突胶质细胞瘤、PTEN、三阴性乳腺癌、涎腺腺样囊性癌、腺泡细胞癌等。不仅可以作为施万细胞和黑色素细胞瘤的标记物、亦可作为软组织肌上皮肿瘤的标记物。主要用于黑色素瘤和神经嵴来源的肿瘤等方面的研究。
【种属】鼠
【预处理】高pH热修复
【阳性部位】细胞核
【阳性对照】黑色素瘤/雪旺氏细胞瘤
【染色系统】基因科技GTvision试剂盒

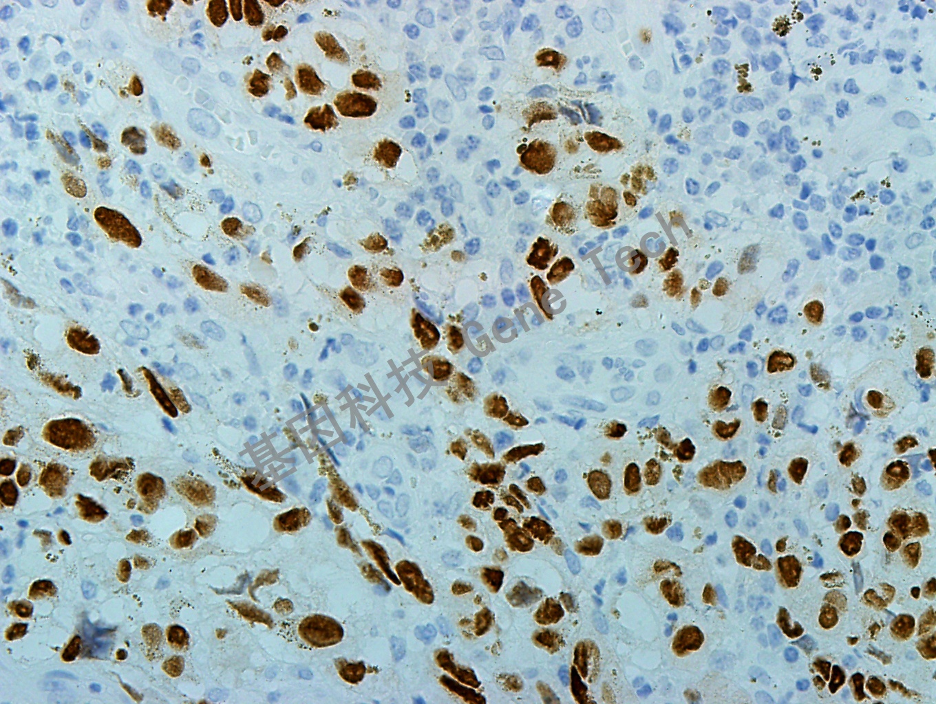
神经鞘瘤石蜡切片,用 SOX-10(GT2210)染色,细胞核阳性,DAB 显色。

神经鞘瘤石蜡切片,用 SOX-10(GT2210)染色,细胞核阳性,DAB 显色。

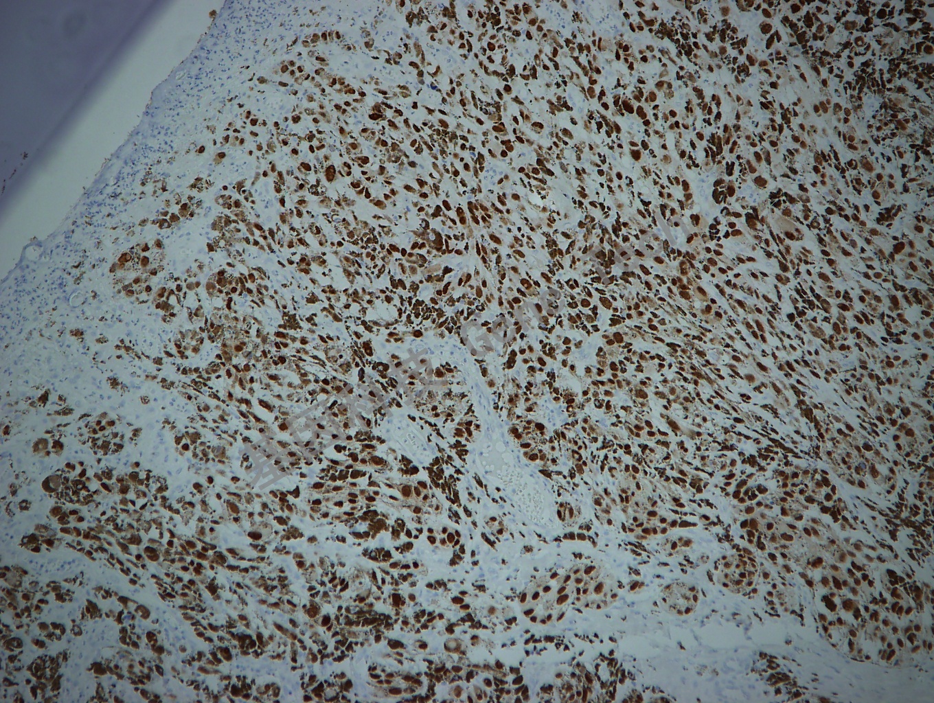
黑色素瘤石蜡切片,用 SOX-10(GT2210)染色,细胞核阳性,DAB 显色。

黑色素瘤石蜡切片,用 SOX-10(GT2210)染色,细胞核阳性,DAB 显色。

黑色素瘤石蜡切片,用 SOX-10(GT2210)染色,细胞核阳性,DAB 显色。

雪旺氏细胞瘤石蜡切片,用 SOX-10(GT2210)染色,细胞核阳性,DAB 显色。