CD20 是一种表达于前B 细胞和成熟B 细胞的跨膜非糖基化蛋白,CD20 表现为33Kda 的非磷酸化形式。有丝分裂原刺激之后,CD20 变成重磷酸化(35-37Kda 的异构重组产物),在活化的B 细胞、B细胞系和毛细胞白血病中是一种重要的磷酸化蛋白。
【适用】石蜡切片/冰冻切片
【预处理】高pH热修复
【稀释度】浓缩型抗体的建议稀释度为1:50-100
【孵育时间】室温孵育30-60分钟。
【阳性对照】扁桃体
【阳性部位】细胞膜
【显色系统】GTvision系列试剂盒

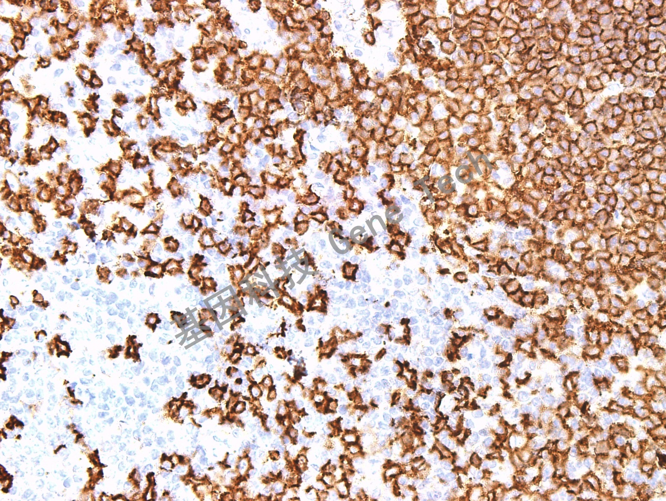
扁桃体石蜡切片,用 CD20(GM0755)染色,细胞膜阳性,DAB 显色。(10×)

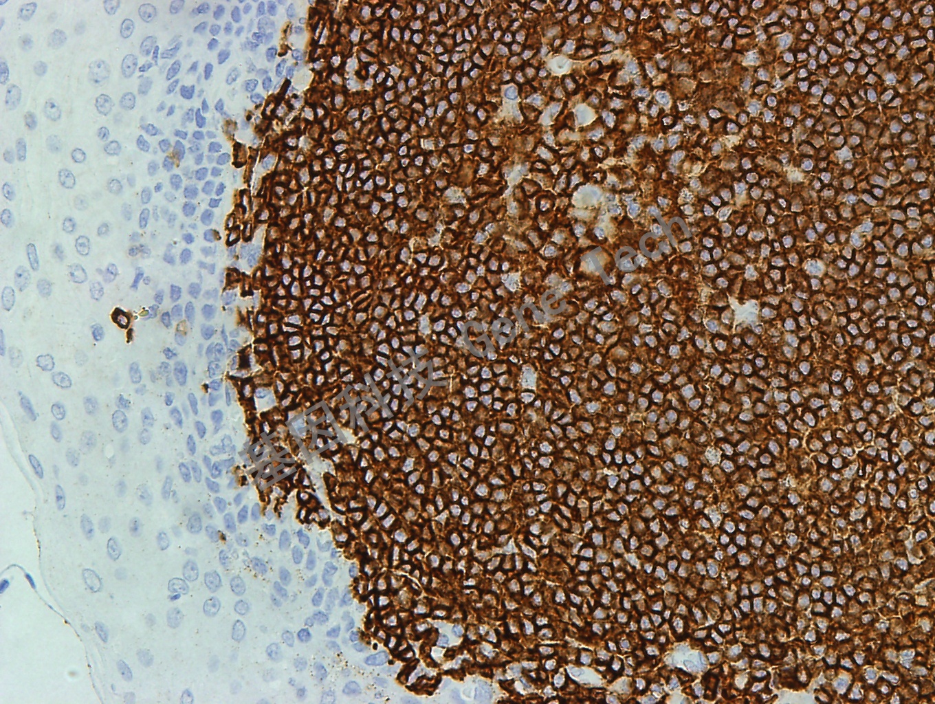
扁桃体石蜡切片,用 CD20(GM0755)染色,细胞膜阳性,DAB 显色。(40×)

扁桃体石蜡切片,用 CD20(GM0755)染色,细胞膜阳性,DAB 显色。(10×)

扁桃体石蜡切片,用 CD20(GM0755)染色,细胞膜阳性,DAB 显色。(40×)
扁桃体石蜡切片,用 CD20(GM0755)染色,细胞膜阳性,DAB 显色。(40×)