沪闵械备20180256号
S-100是由α链和β链组成的二聚体。广泛存在于间叶源性细胞和淋巴造血组织,如胶质细胞、黑色素瘤细胞、软骨细胞、施万细胞、指突状网状细胞和朗格汉斯细胞。在诊断黑色素瘤种比较有价值,在转移性黑色素瘤中比HMB-45表达较多;鉴别软骨内肿瘤和其他骨性肿瘤;鉴别硬化性腺病和乳腺的管状腺癌;鉴别佩吉病和上皮扩展性黑色素瘤。
【种属】兔
【预处理】高pH热修复
【阳性部位】细胞浆/细胞核
【阳性对照】黑色素瘤
【染色系统】基因科技GTvision试剂

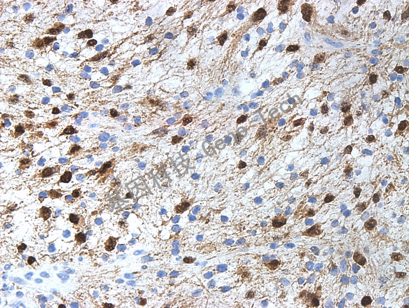
神经鞘瘤石蜡切片,用 S-100(GZ0311)染色 ,细胞浆/细胞核阳性,DAB显色。

神经鞘瘤石蜡切片,用 S-100(GZ0311)染色,细胞浆/细胞核阳性,DAB显色。

阑尾石蜡切片,用 S-100(GZ0311)染色,细胞浆/细胞核阳性,DAB显色。

阑尾石蜡切片,用 S-100(GZ0311)染色,细胞浆/细胞核阳性,DAB显色。

乳腺增生石蜡切片,用 S-100(GZ0311)染色,细胞浆/细胞核阳性,DAB显色。

恶性黑色素瘤石蜡切片,用 S-100(GZ0311)染色,细胞浆/细胞核阳性,DAB显色。