沪闵械备20180195号
Somatostatin(生长抑素)是胰岛D细胞分泌的一种多肽激素,主要作用是抑制各种垂体激素的分泌、对胃肠运动与消化道激素的分泌也有一定的抑制作用等。表达于下丘脑、胃肠道、支气管、唾液腺和胸腺内分泌细胞及部分甲状腺C细胞。主要用于胰岛细胞的功能性分类和消化道粘膜中内分泌细胞及肿瘤的研究。
【种属】鼠
【预处理】高pH热修复
【阳性部位】细胞浆
【阳性对照】胰腺
【染色系统】基因科技GTvision试剂盒

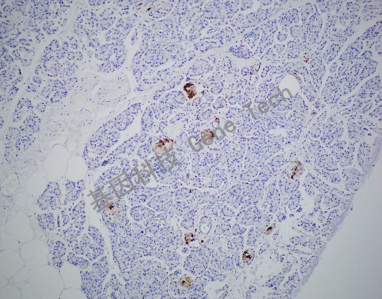
胰腺石蜡切片,用Somatostatin(GA0566)染色,细胞浆阳性,DAB显色。

胰腺石蜡切片,用Somatostatin(GA0566)染色,细胞浆阳性,DAB显色。