沪闵械备20180260号
SOX-2(SRY-related HMG-box 2, 性别决定区Y框蛋白2基因)是SRY相关的 SOX转录因子家族的一个主要成员,在胚胎发育过程中起重要作用,在中枢神经系统发育的早期,SOX2表达于全部的神经上皮,但神经系统发育成熟之后,其表达仅局限于神经胶质干细胞,而当神经胶质细胞恶变后,在胶质瘤中重新表达。同时 SOX-2也是一种新型的致癌基因,不但参与肿瘤发生的早期阶段,还与肿瘤细胞的迁徙、侵袭和转移相关。SOX-2表达与胰腺癌、乳腺癌、头颈部肿瘤、肺鳞癌和神经内分泌癌等肿瘤的预后相关。据报道,SOX-2与P63联合应用,可特异性检测90%以上的肺鳞癌;在宫颈组织中,SOX-2的表达和HPV感染密切相关,与宫颈增生的进程相关。
【种属】鼠
【预处理】高pH热修复
【阳性部位】细胞核
【阳性对照】肺鳞癌/宫颈癌
【染色系统】基因科技GTvision试剂盒

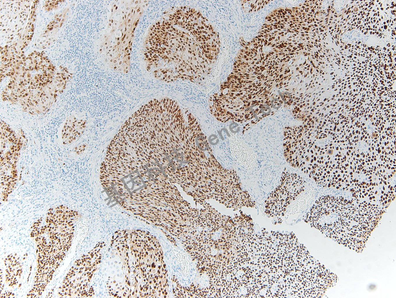
宫颈癌石蜡切片,用 SOX-2(GT2163)染色,细胞核阳性,DAB显色。

宫颈癌石蜡切片,用 SOX-2(GT2163)染色,细胞核阳性,DAB显色。

宫颈癌石蜡切片,用 SOX-2(GT2163)染色,细胞核阳性,DAB显色。

扁桃体石蜡切片,用 SOX-2(GT2163)染色,细胞核阳性,DAB显色。

肺石蜡切片,用 SOX-2(GT2163)染色,细胞核阳性,DAB显色。