沪闵械备20180118号
CD8 分子是存在于抑制// 细胞毒性T 细胞表面的32kDa 的糖蛋白,为MHC- Ⅰ类分子受体。用于标记抑制/ 细胞毒性T 细胞及NK 细胞,也可用于前驱T 淋巴母细胞白血病或淋巴瘤的标记。与CD4 联用,计算CD4/CD8 比值,对于某些疾病的诊断、治疗及预后都有一定意义。
【适用】石蜡切片/冰冻切片
【预处理】高pH热修复
【稀释度】浓缩型抗体的建议稀释度为1:50-100
【孵育时间】室温孵育30-60分钟。
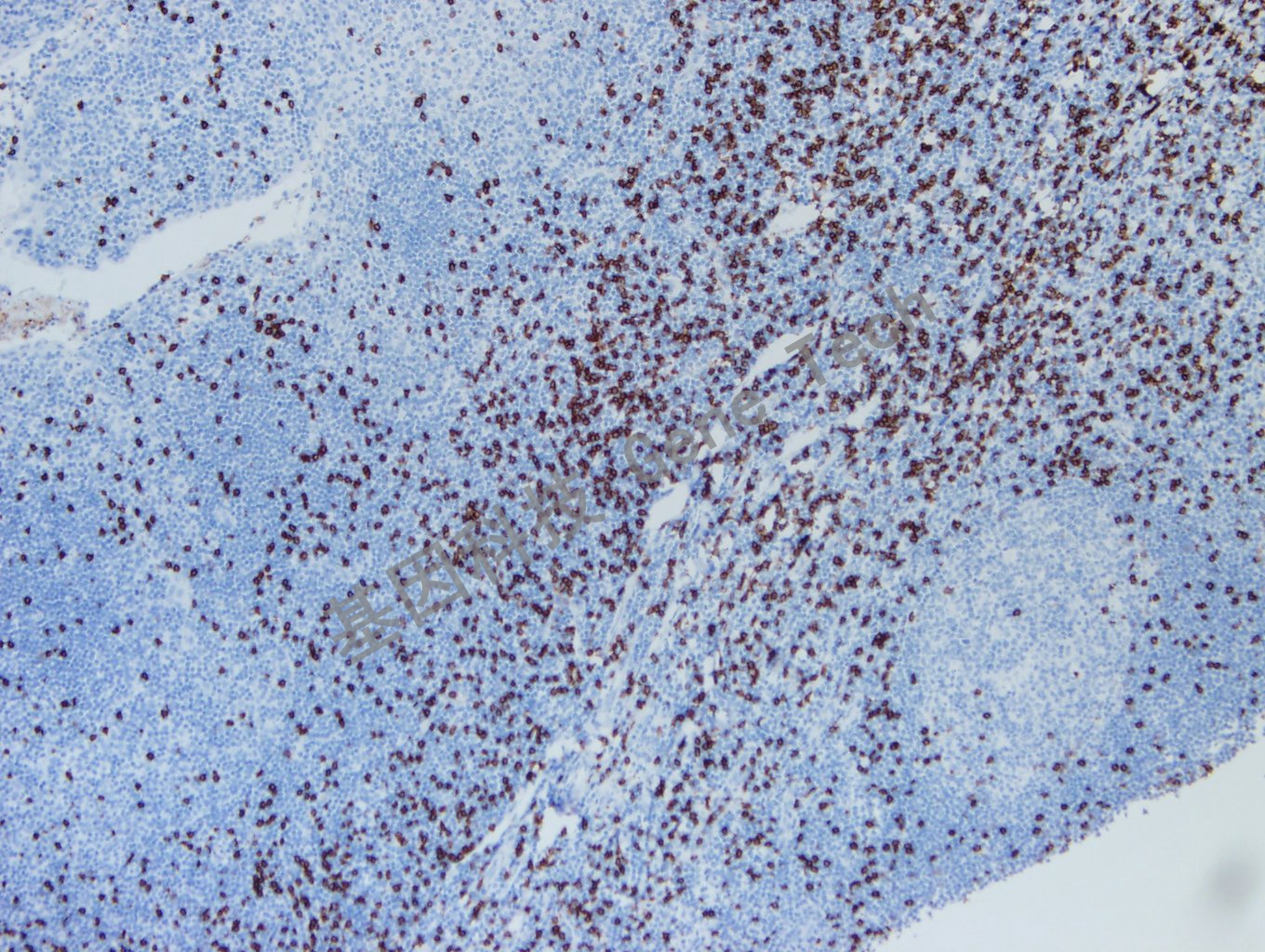
【阳性对照】扁桃体/淋巴结
【阳性部位】细胞膜
【显色系统】GTvision系列试剂盒

扁桃体石蜡切片,用 CD8(GT2112)染色,细胞膜阳性,DAB 显色。
扁桃体石蜡切片,用 CD8(GT2112)染色,细胞膜阳性,DAB 显色。