沪闵械备20210056号
Survivin(存活素)是凋亡抑制因子家族成员之一,与有丝分裂过程中微管的形成密切相关。该蛋白主要表达于细胞周期的G2/M期,在多种肿瘤过表达,提示其在肿瘤的发生和发展中起重要作用。
【种属】兔
【预处理】高pH热修复
【阳性部位】细胞浆/细胞核
【阳性对照】扁桃体
【染色系统】基因科技GTvision试剂盒

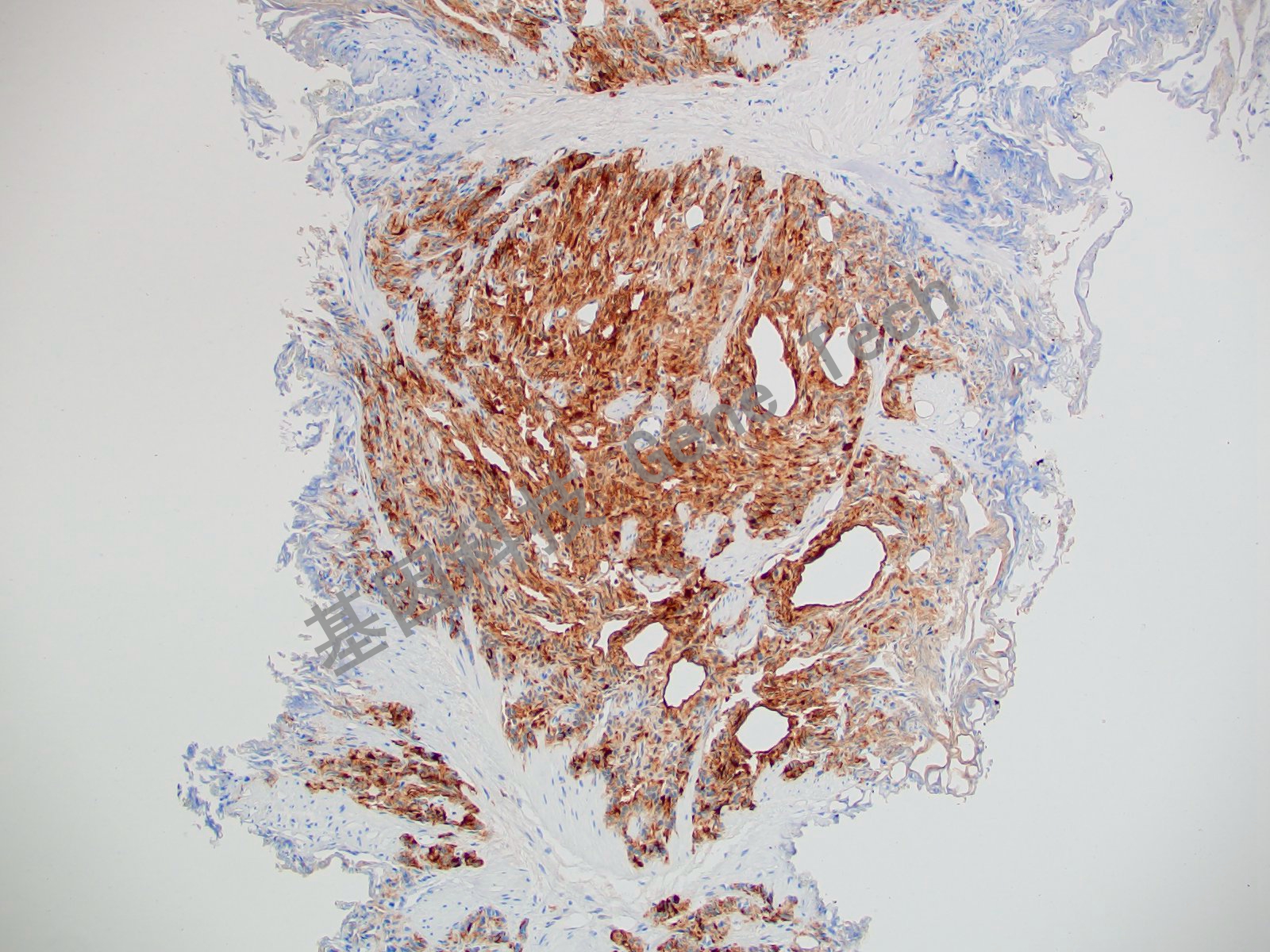
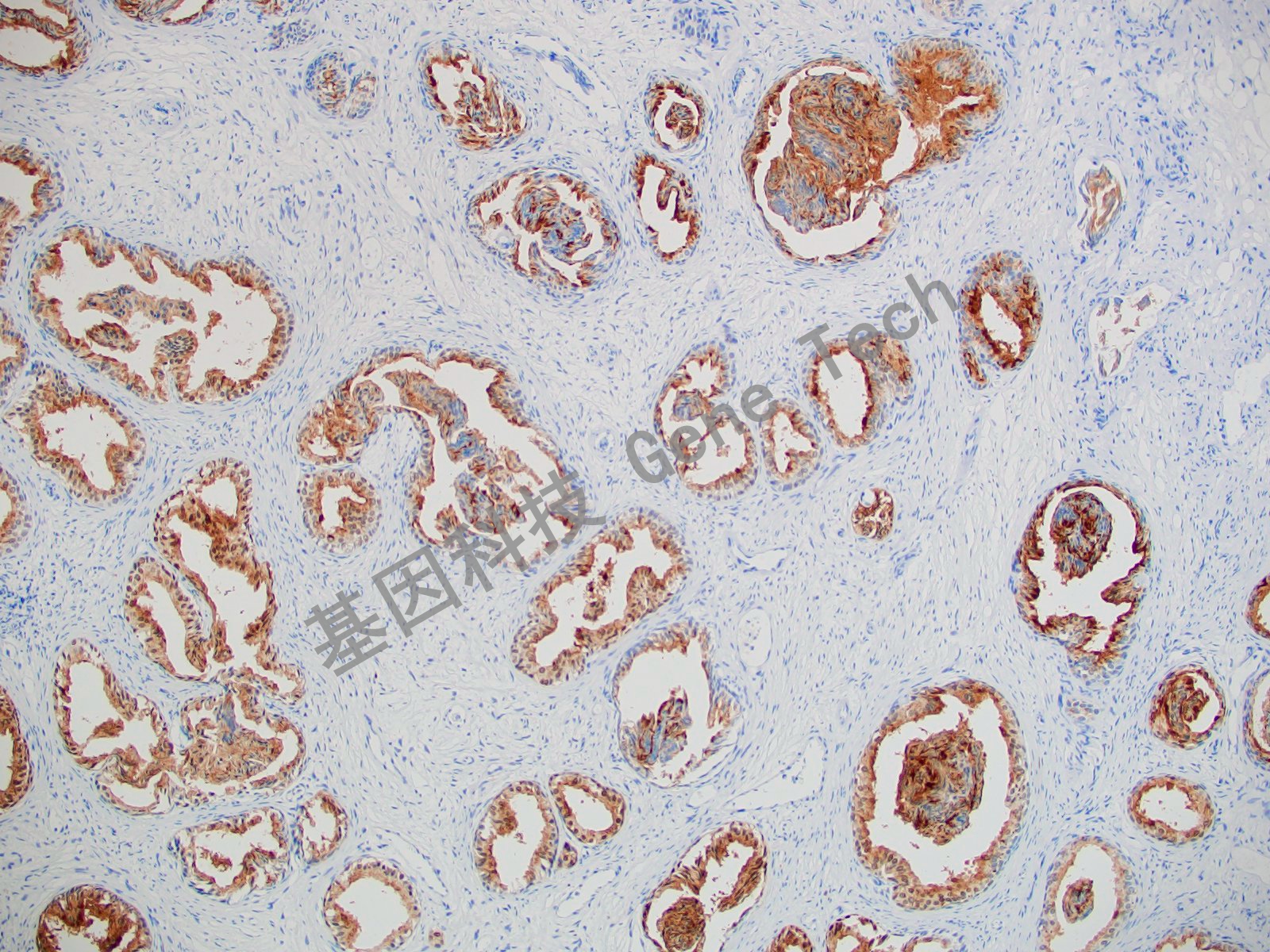
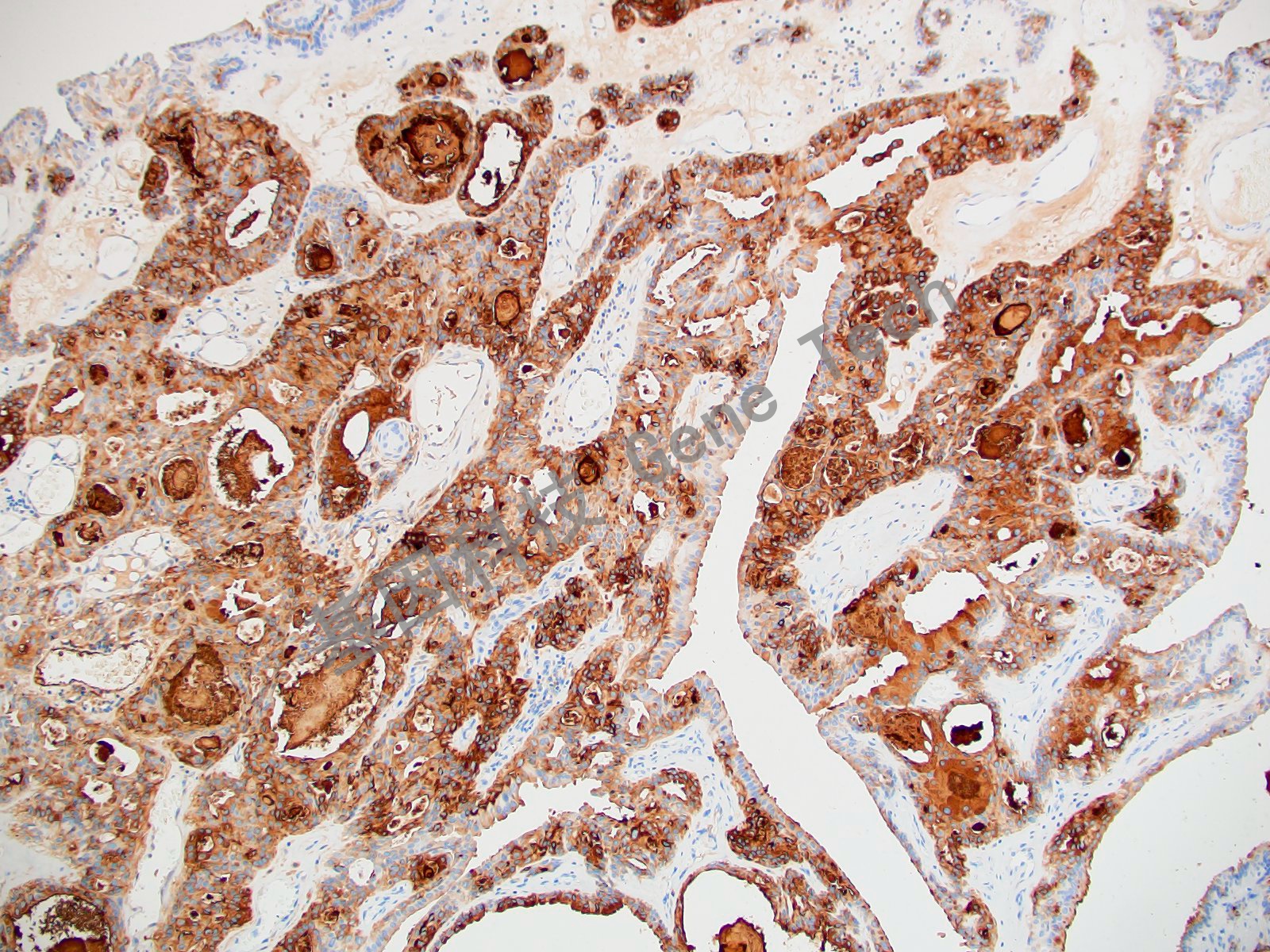
前列腺癌石蜡切片,用 Survivin(GT2048)染色,细胞浆/细胞核阳性,DAB 显色。

前列腺癌石蜡切片,用 Survivin(GT2048)染色,细胞浆/细胞核阳性,DAB 显色。

前列腺癌石蜡切片,用 Survivin(GT2048)染色,细胞浆/细胞核阳性,DAB 显色。

前列腺癌石蜡切片,用 Survivin(GT2048)染色,细胞浆/细胞核阳性,DAB 显色。

前列腺癌石蜡切片,用 Survivin(GT2048)染色,细胞浆/细胞核阳性,DAB 显色。

前列腺癌石蜡切片,用 Survivin(GT2048)染色,细胞浆/细胞核阳性,DAB 显色。

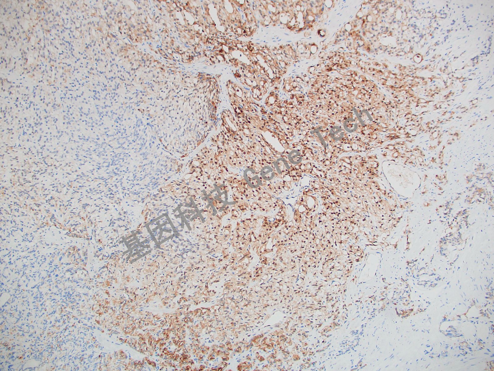
乳腺癌石蜡切片,用 Survivin(GT2048)染色,细胞浆/细胞核阳性,DAB 显色。

乳腺癌石蜡切片,用 Survivin(GT2048)染色,细胞浆/细胞核阳性,DAB 显色。

乳腺癌石蜡切片,用 Survivin(GT2048)染色,细胞浆/细胞核阳性,DAB 显色。

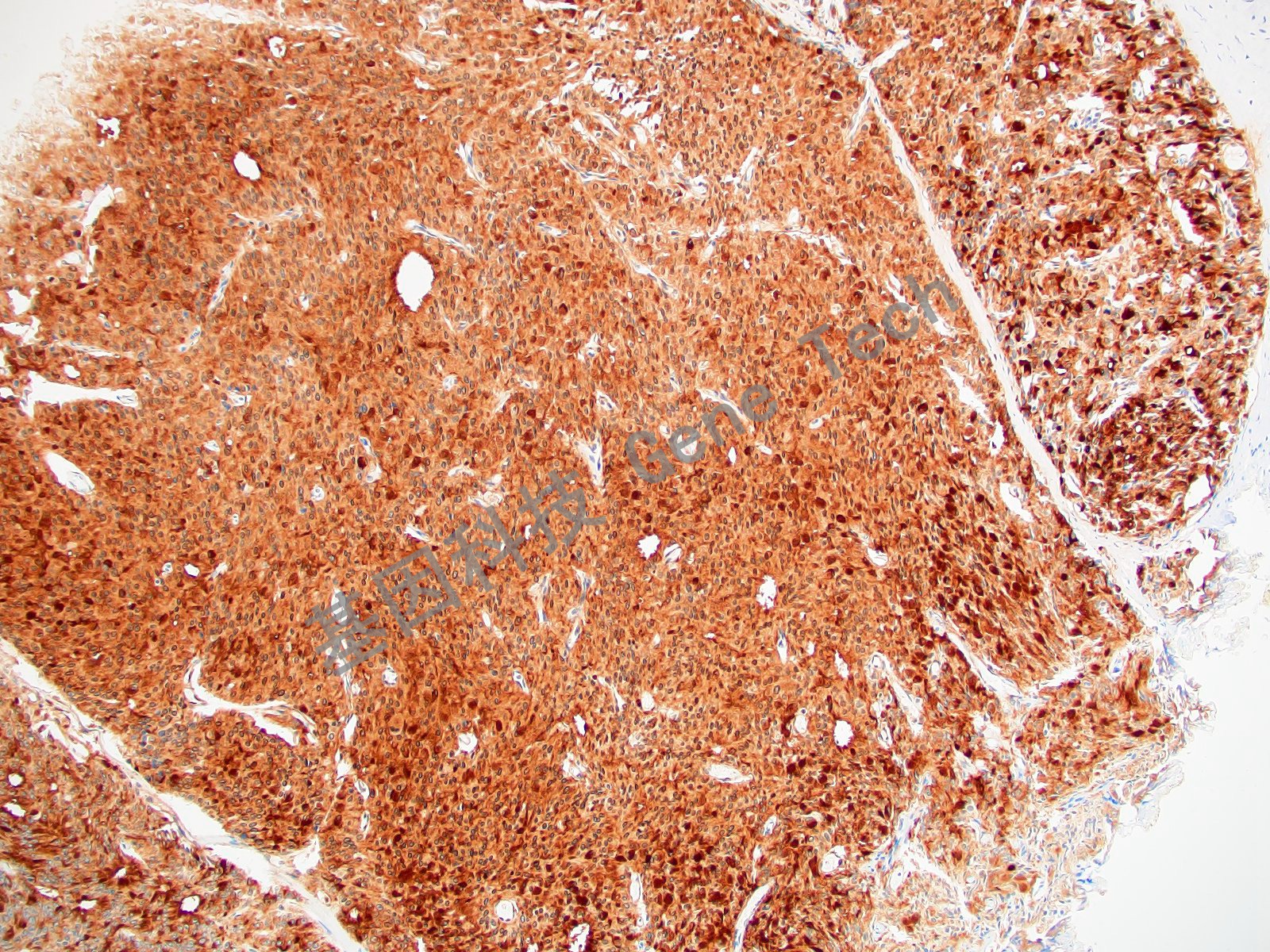
肝癌石蜡切片,用 Survivin(GT2048)染色,细胞浆/细胞核阳性,DAB 显色。