沪闵械备20180257号
RRM1(Ribonucleotide reductase catalytic subunit M1, 核糖核酸还原酶M1多肽)是组成核苷二磷酸还原酶的两个不同的亚基中的一个。在细胞周期的S期,在 DNA合成之前,核苷二磷酸还原酶催化脱氧核苷酸的产生。大量研究显示,RRM1通过产生脱氧核苷酸来控制细胞增殖、并通过PTEN诱导来控制癌细胞转移倾向。在非小细胞肺癌中RRM1的表达与ERCC和PTEN的表达高度相关。RRM1阳性的肿瘤预示着进展缓慢。
【种属】兔
【预处理】高pH热修复
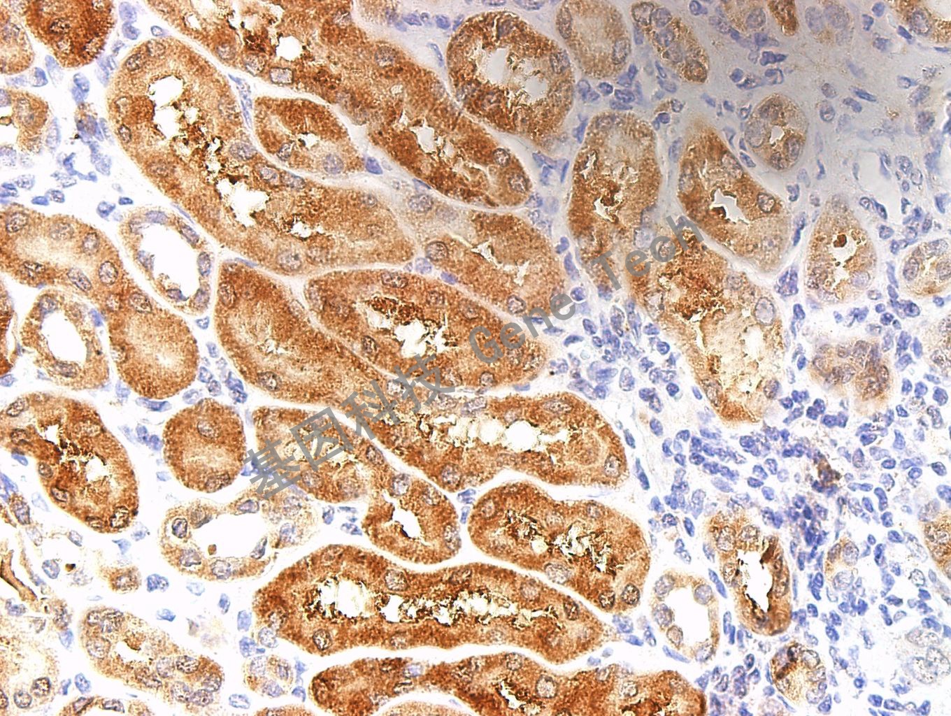
【阳性部位】细胞浆
【阳性对照】扁桃体/RCC
【染色系统】基因科技GTvision试剂盒

RCC 石蜡切片,用RRM1(GT2217)染色,细胞浆阳性 ,DAB显色。(10×)

RCC 石蜡切片,用RRM1(GT2217)染色,细胞浆阳性 ,DAB显色。(40×)