沪闵械备20180199号
RCC(Renal cell carcinoma marker, 肾细胞癌标记物)是一种糖蛋白。分布于正常肾脏近曲小管以及Bowman’s囊的腔面,也分布于正常乳腺小叶,导管的腔面,附睾小管的腔面以及甲状腺主细胞内和甲状腺主细胞内和甲状腺滤泡中胶质内。据报道,93%原发性肾癌,84%的转移性肾癌表达该抗原。甲状旁腺腺瘤为阳性,约 30%的乳腺肿瘤和胚胎癌阳性。可与Vimentin和CD10等抗体联合用于肾细胞癌的诊断。
【种属】鼠
【预处理】蛋白酶K修复
【阳性部位】细胞膜/细胞浆
【阳性对照】肾细胞癌
【染色系统】基因科技GTvision试剂盒

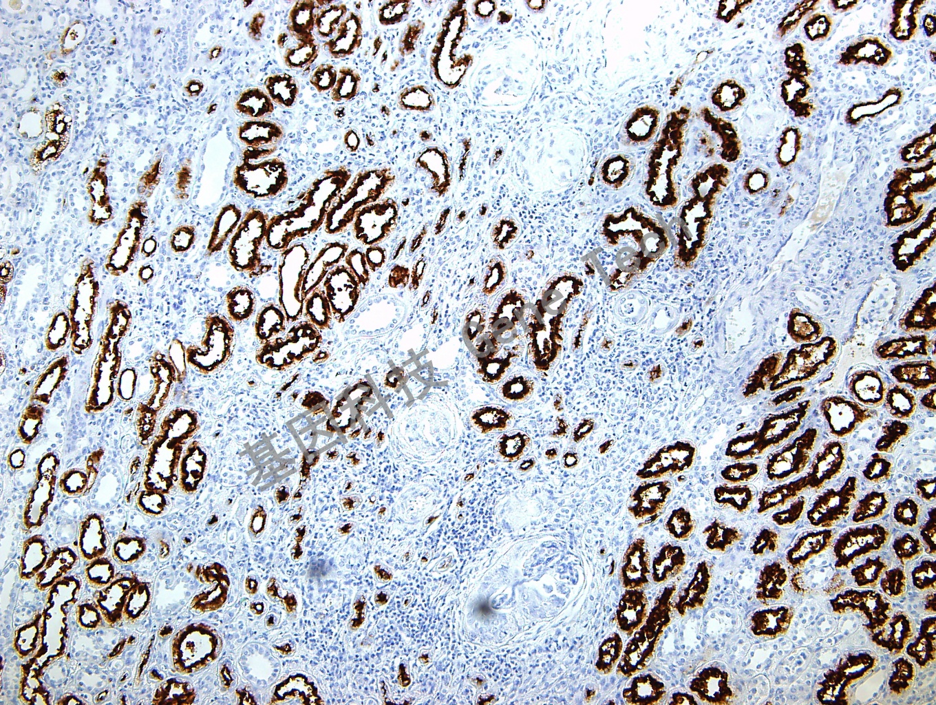
肾透明细胞癌石蜡切片,用 RCC(GT2109)染色,细胞膜/细胞浆阳性,DAB显色。

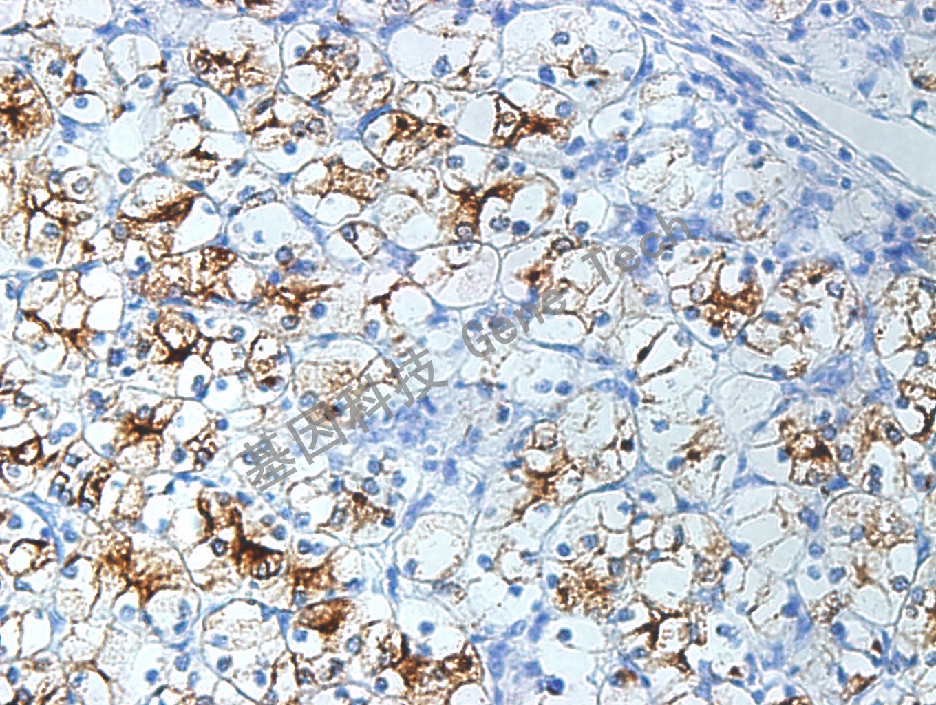
肾透明细胞癌石蜡切片,用 RCC(GT2109)染色,细胞膜/细胞浆阳性,DAB显色。

肾透明细胞癌石蜡切片,用 RCC(GT2109)染色,细胞膜/细胞浆阳性,DAB显色。

肾透明细胞癌石蜡切片,用 RCC(GT2109)染色,细胞膜/细胞浆阳性,DAB显色。