沪闵械备20190093号
p16是抑癌基因。其作用机制主要是在调节细胞周期进程,通过抑制周期素依赖激酶CDK4/6进而抑制Rb从而阻滞G1期细胞进入S期,抑制细胞进行DNA合成进而抑制细胞增殖。在恶性肿瘤中p16可发生突变,从而失去其抑制功能,从而异常高表达。目前妇科病理免疫组化中,p16可用于以下方面:1. 鳞状细胞癌的诊断与鉴别诊断(核阳性);2. 高级别鳞状上皮内病变的诊断与鉴别诊断(核阳性,且上皮全层弥漫阳性);3. 宫颈源性病变与内膜源性病变的鉴别诊断(宫颈来源的微腺型增生中p16阳性,而内膜来源的微腺型腺癌p16阴性)。
【种属】鼠
【预处理】高pH热修复
【阳性部位】细胞浆/细胞核
【阳性对照】宫颈鳞癌
【染色系统】基因科技GTvision试剂盒

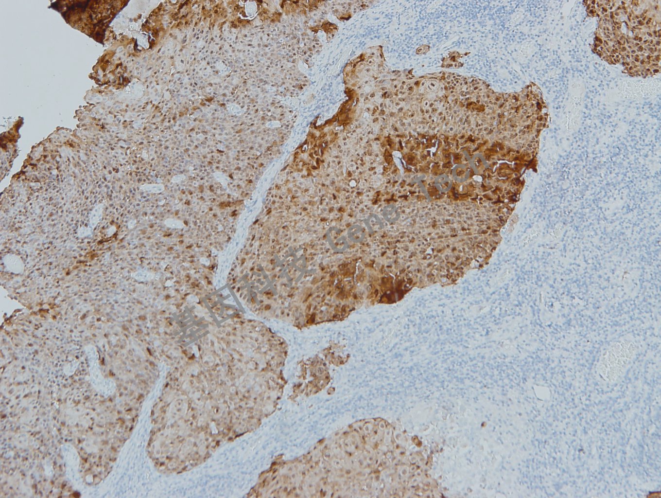
宫颈癌石蜡切片,用 p16(GT2330)染色,细胞浆/细胞核阳性,DAB 显色。

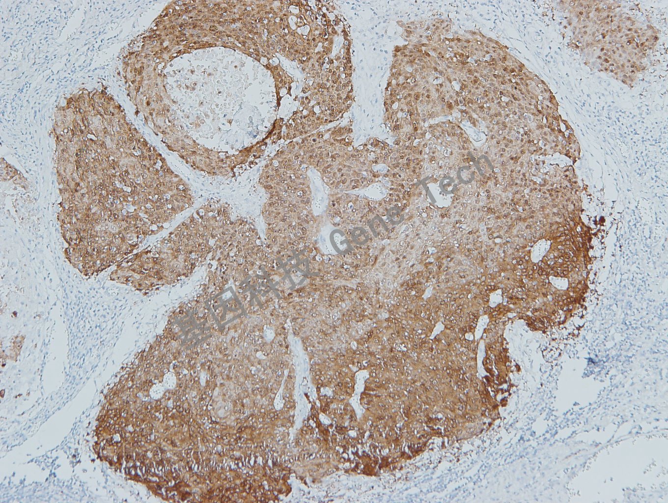
宫颈癌石蜡切片,用 p16(GT2330)染色,细胞浆/细胞核阳性,DAB 显色。

宫颈癌石蜡切片,用 p16(GT2330)染色,细胞浆/细胞核阳性,DAB 显色。

宫颈癌石蜡切片,用 p16(GT2330)染色,细胞浆/细胞核阳性,DAB 显色。

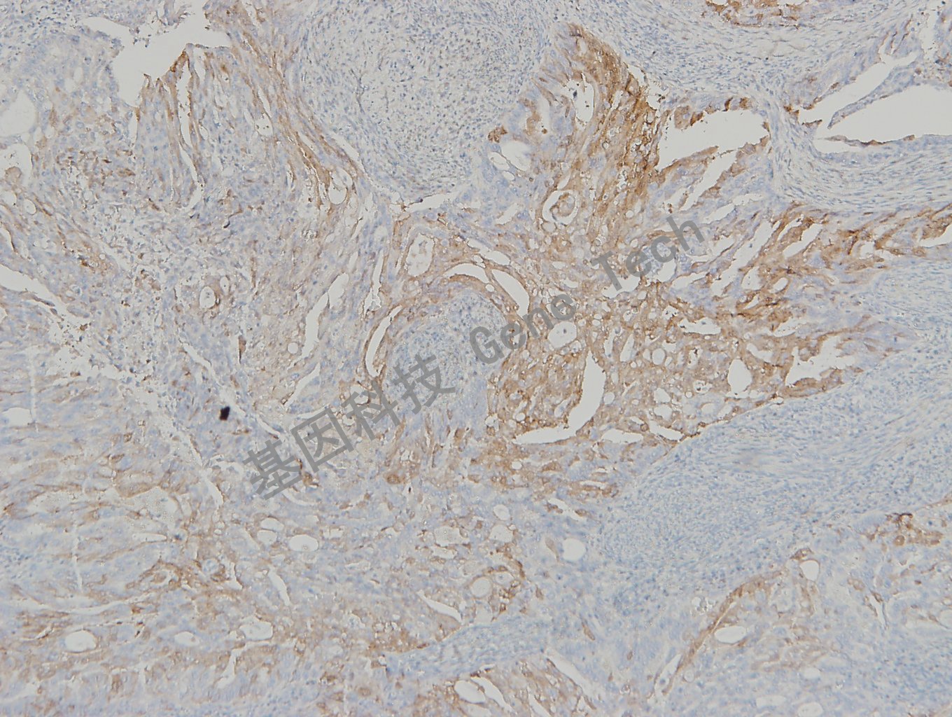
子宫内膜癌石蜡切片,用 p16(GT2330)染色,细胞浆/细胞核阳性,DAB 显色。

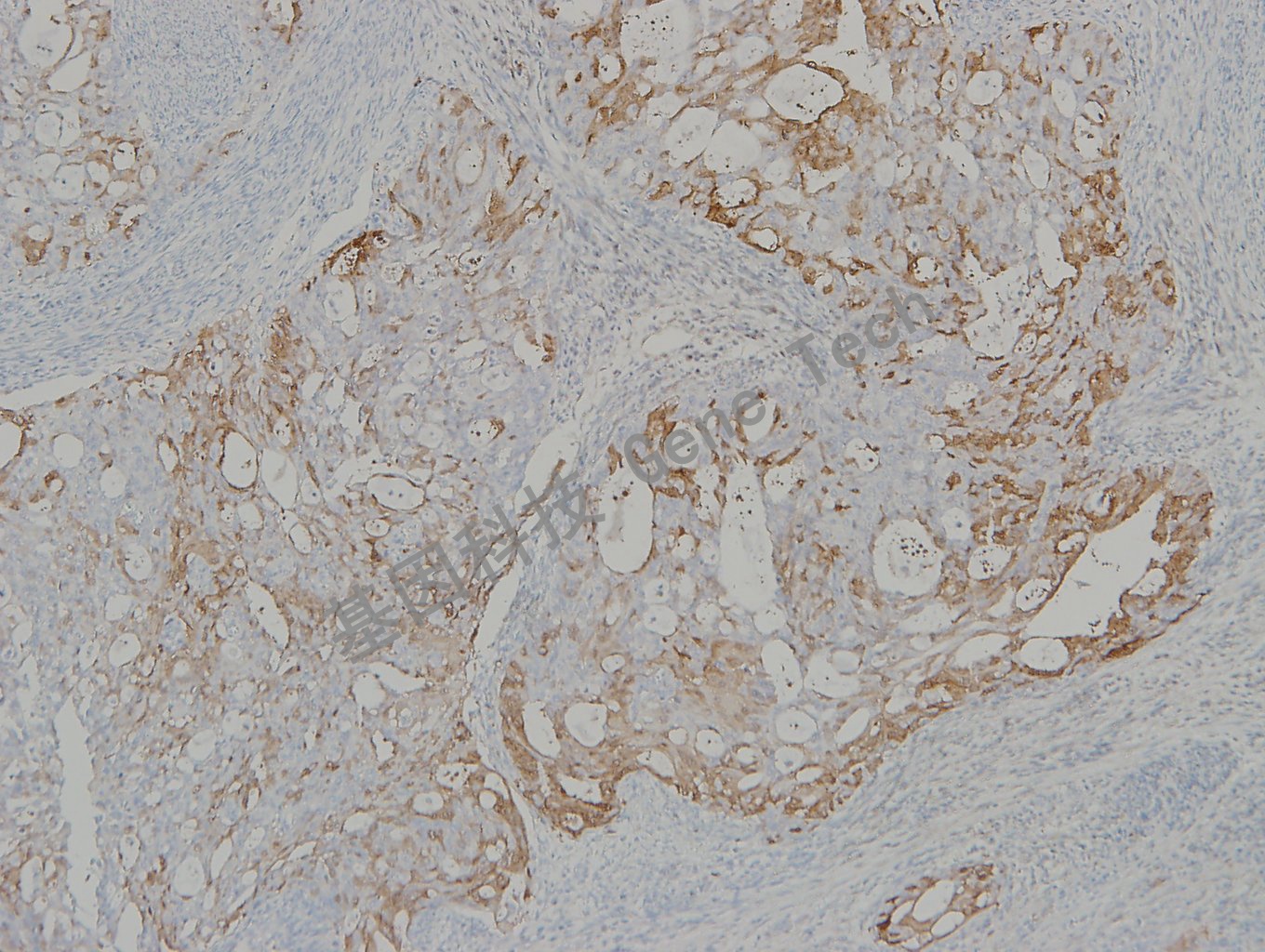
子宫内膜癌石蜡切片,用 p16(GT2330)染色,细胞浆/细胞核阳性,DAB 显色。