沪闵械备20180031号
p53是一种抑癌基因,分为野生型和突变型两种亚型,该基因的突变或缺失是导致许多肿瘤发生的原因。
【种属】鼠
【预处理】高pH热修复
【阳性部位】细胞核
【阳性对照】结肠癌
【染色系统】基因科技GTvision试剂盒

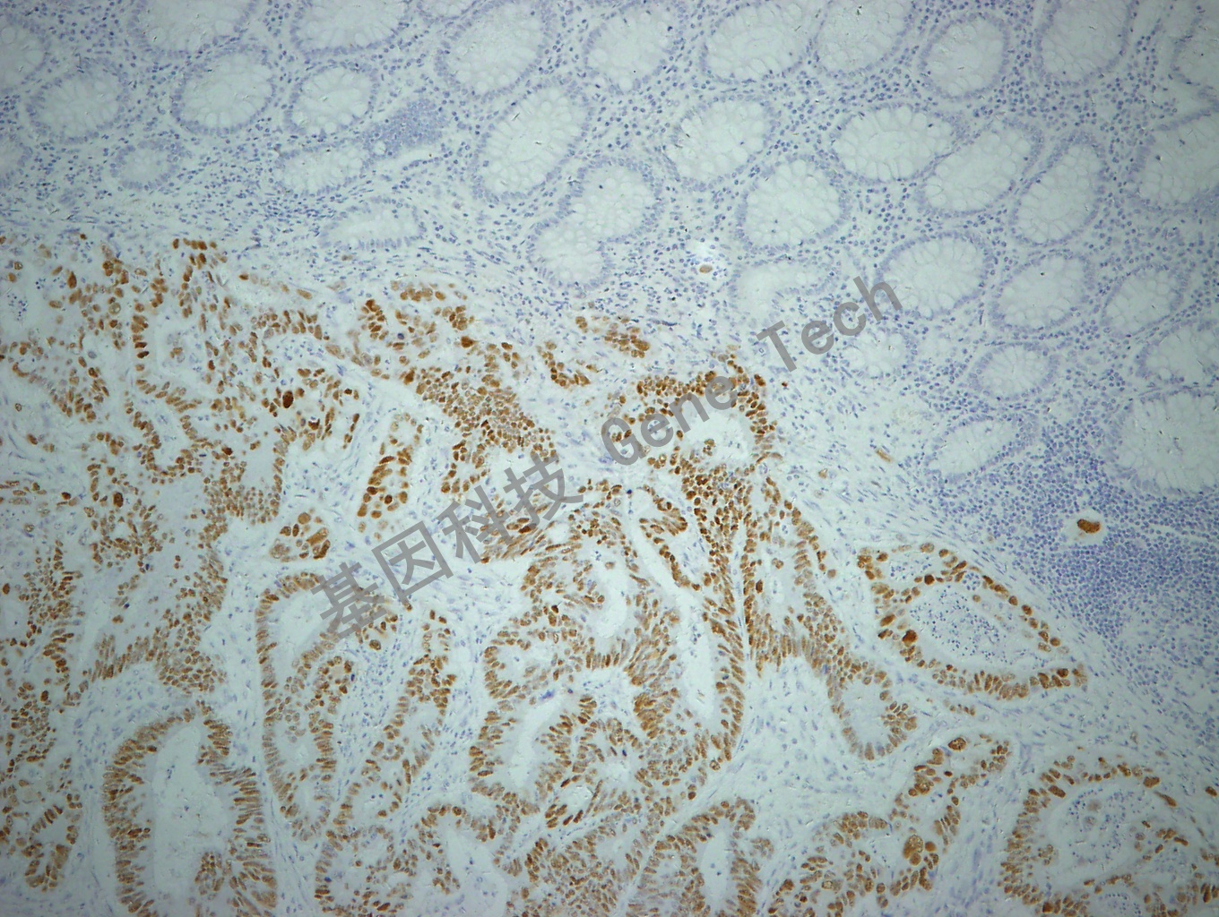
结肠癌石蜡切片,用 p53(GT2095)染色,细胞核着色,DAB 显色。

结肠癌石蜡切片,用 p53(GT2095)染色,细胞核着色,DAB 显色。

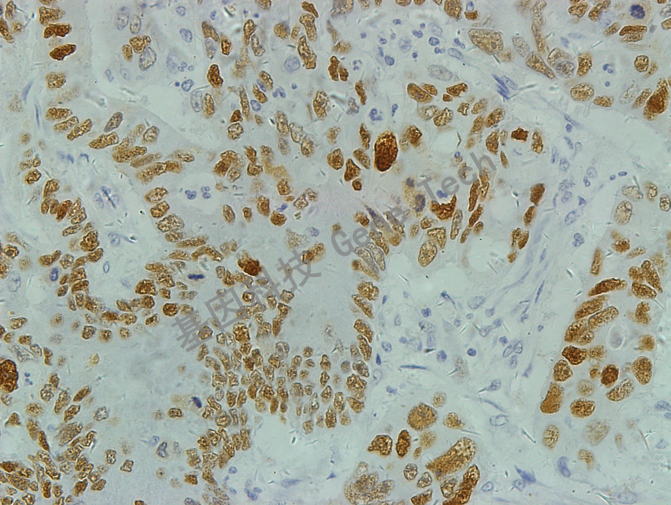
结肠癌石蜡切片,用 p53(GT2095)染色,细胞核着色,DAB 显色。
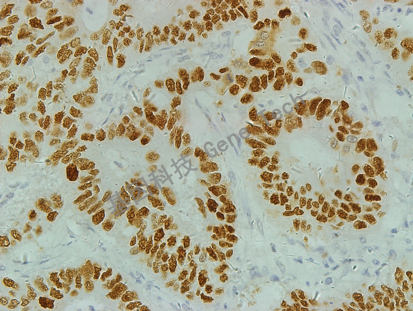
结肠癌石蜡切片,用 p53(GT2095)染色,细胞核着色,DAB 显色。