沪闵械备20180010号
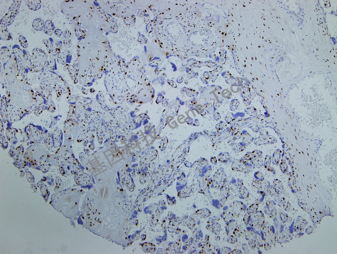
P57(P57kip2)是一种肿瘤抑制基因,定位于染色体11p15。其编码蛋白为一种细胞周期蛋白依赖性激酶抑制剂(CDKI),对细胞周期过程起负调控作用。正常胎盘中,30%以上滋养叶细胞表达阳性。该抗体主要用于鉴别完全性葡萄胎(-)和水泡状胎块(+)。
【种属】鼠
【预处理】高pH热修复
【阳性部位】细胞核
【阳性对照】侵袭性葡萄胎
【染色系统】基因科技GTvision试剂盒

完全性葡萄胎石蜡切片,用 p57(GT2069)染色,细胞核阳性,DAB 显色。
完全性葡萄胎石蜡切片,用 p57(GT2069)染色,细胞核阳性,DAB 显色。