沪闵械备20180043号
Pax-5(Paired box gene 5, 配对盒基因 5)是Pax核转录因子家族成员之一。 Pax-5正常的淋巴细胞分化过程中,从前驱至成熟B细胞中表达,但在分化终末端的浆细胞中减表达弱或不表达。在人胚胎的中枢神经也有表达,还可在睾丸网和附睾中表达。在大多数B细胞淋巴瘤中表达,但在浆细胞瘤中弱表达或阴性。常用于B淋巴母细胞淋巴瘤、成熟B细胞淋巴瘤、霍奇金淋巴瘤等的诊断,在组织处理不佳或细 胞退变的切片上有时比CD20更有效。在人胚胎的中枢神经也有表达,还可在睾丸网和附睾中表达。在大多数B细胞淋巴瘤中表达,但在浆细胞瘤中弱表达或阴性。常用于B淋巴母细胞淋巴瘤、成熟B细胞淋巴瘤、霍奇金淋巴瘤等的诊断,在组织处理不佳或细胞退变的切片上有时比CD20更有效。
【种属】兔
【预处理】低pH热修复
【阳性部位】细胞核
【阳性对照】扁桃体
【染色系统】基因科技GTvision试剂盒

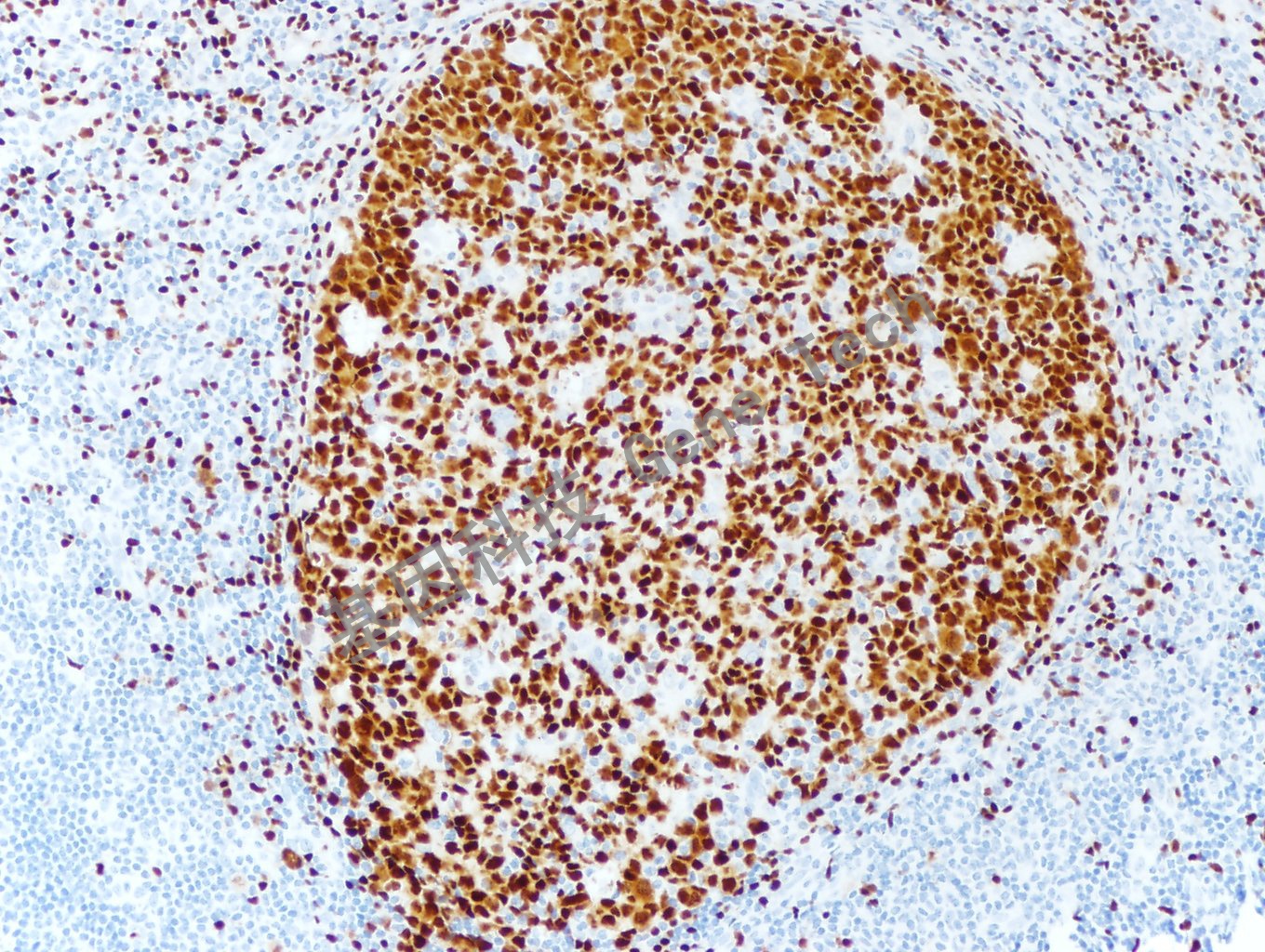
扁桃体石蜡切片,用 PAX-5(GT2096)染色,B 细胞胞核阳性,DAB 显色。

扁桃体石蜡切片,用 PAX-5(GT2096)染色,B 细胞胞核阳性,DAB 显色。

扁桃体石蜡切片,用 PAX-5(GT2096)染色,B 细胞胞核阳性,DAB 显色。

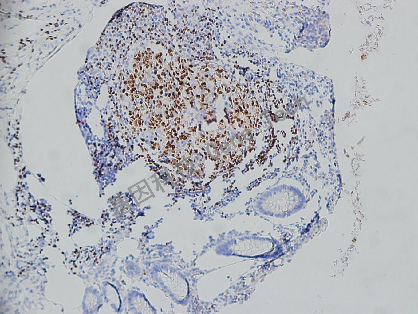
阑尾石蜡切片,用 PAX-5(GT2096)染色,细胞核阳性,DAB 显色。

阑尾石蜡切片,用 PAX-5(GT2096)染色,细胞核阳性,DAB 显色。