闵械备20180146号
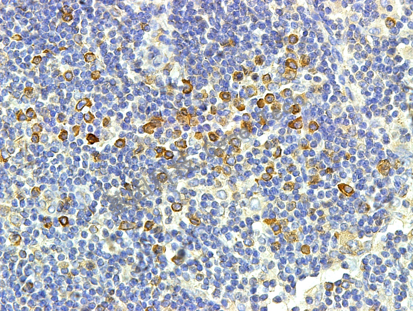
PC(Plasma Cell, 浆细胞)是B淋巴细胞分化的终末细胞,缺少细胞表面的 HLA-I型和II型抗原、表面免疫球蛋白、Fc和C3受体等。此抗体可以标记正常和肿瘤性浆细胞,主要用于骨髓瘤和浆细胞瘤的鉴别,也可用于淋巴浆细胞样淋巴瘤与滤泡性淋巴瘤的鉴别。
【种属】鼠
【预处理】高pH热修复
【阳性部位】细胞浆
【阳性对照】扁桃体/淋巴结
【染色系统】基因科技GTvision试剂盒

扁桃体石蜡切片,用 PC(GT2132)染色,细胞浆阳性,DAB 显色。
淋巴结石蜡切片,用 PC(GT2132)染色,细胞浆阳性,DAB 显色。