国械注准20143402133
Progesterone Receptor(孕激素受体,PR)标记含高水平孕激素受体的细胞,如正常及良恶性乳腺上皮细胞、子宫内膜腺上皮细胞、子宫平滑肌细胞等。它与ER 抗体一样作为乳腺癌病人的必检项目之一,是乳腺癌预后及内分泌治疗的重要指标。
【种属】兔
【预处理】低pH热修复
【阳性部位】细胞核
【阳性对照】乳腺癌
【染色系统】基因科技GTvision试剂盒

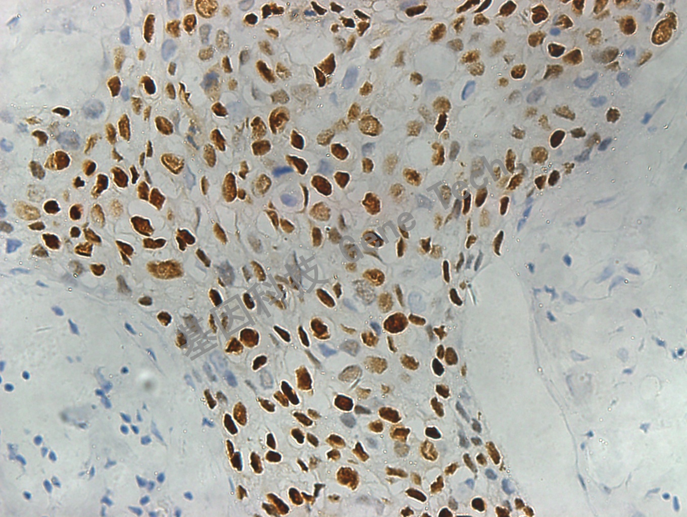
乳腺癌石蜡切片,用 PR(GT2057)染色,细胞核阳性,DAB 显色。

乳腺癌石蜡切片,用 PR(GT2057)染色,细胞核阳性,DAB 显色。

乳腺癌石蜡切片,用 PR(GT2057)染色,细胞核阳性,DAB 显色。

乳腺癌石蜡切片,用 PR(GT2057)染色,细胞核阳性,DAB 显色。

乳腺癌石蜡切片,用 PR(GT2057)染色,细胞核阳性,DAB显色。

乳腺癌石蜡切片,用 PR(GT2057)染色,阴性,DAB显色。

乳腺癌石蜡切片,用 PR(GT2057)染色,细胞核阳性,DAB显色。(中阳)
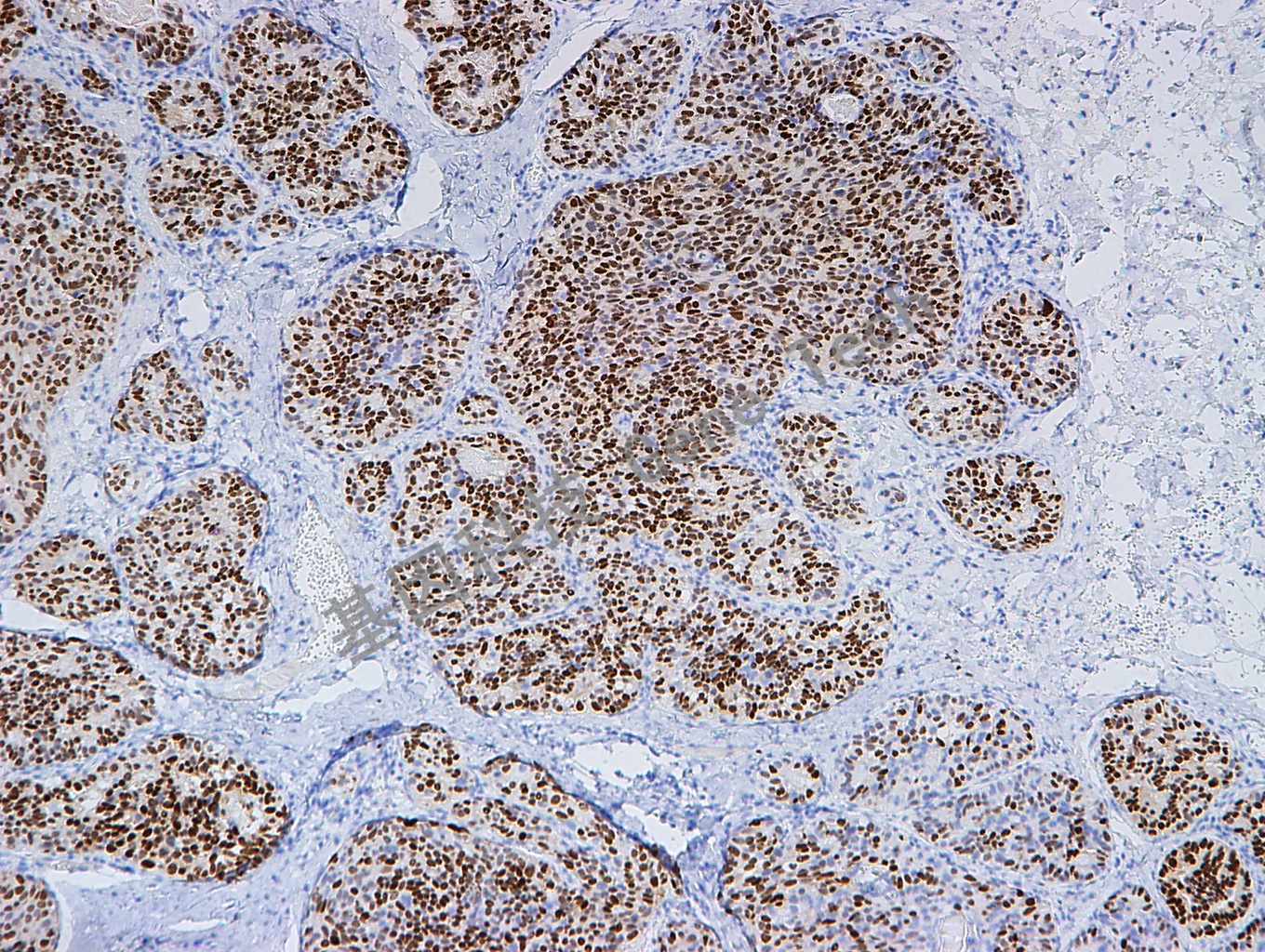
乳腺癌石蜡切片,用 PR(GT2057)染色,细胞核阳性,DAB 显色。(强阳)