该抗体标记含高水平孕激素受体的细胞,如正常及良恶性乳腺上皮细胞、子宫内膜腺上皮细胞、子宫平滑肌细胞等。它与 ER 抗体一样作为乳腺癌病人的必检项目之一 ,是乳腺癌预后及内分泌治疗的重要指标。
【适用】石蜡切片/冰冻切片
【预处理】高pH热修复
【稀释度】浓缩型抗体的建议稀释度为1:100-200
【孵育时间】室温孵育30-60分钟。
【阳性对照】乳腺癌
【阳性部位】胞核
【显色系统】最佳染色系统为基因科技生产的GTvision系列试剂盒:DAB 染色液(多聚物法)/DAB 染色液(聚合物法)。

乳腺癌石蜡切片,用 PR(GT2057)染色,细胞核着色,DAB显色。(阴)

乳腺癌石蜡切片,用 PR(GT2057)染色,细胞核着色,DAB显色。(中阳)
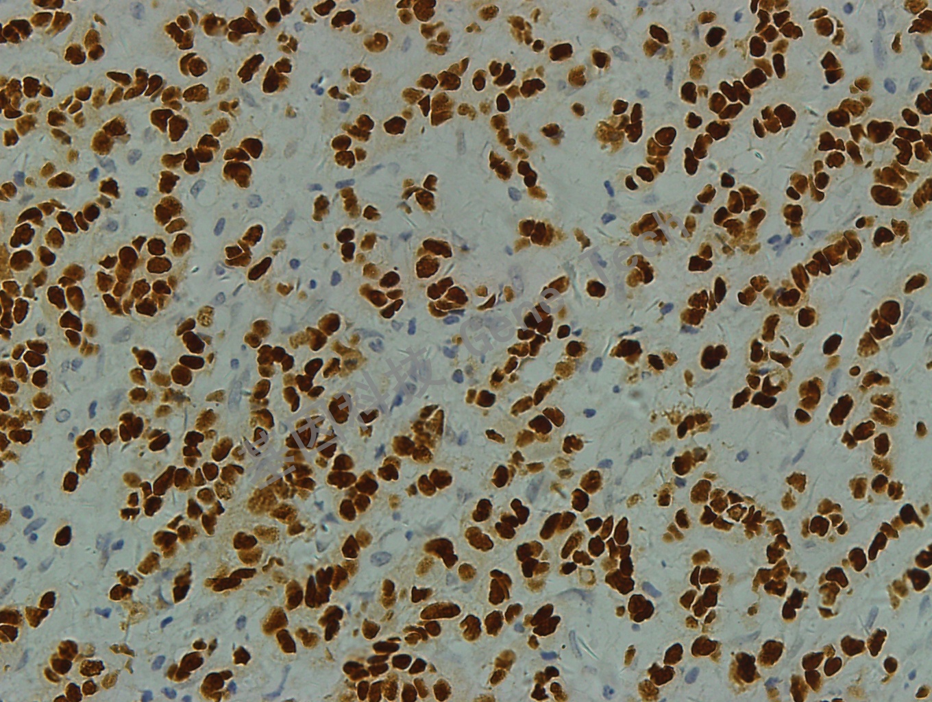
乳腺癌石蜡切片,用 PR(GT2057)染色,细胞核着色,DAB显色。(强阳)