沪闵械备20180191号
Oligo-2(Oligodendrocyte lineage transcription factor 2, 少突胶质细胞系转录因子2)是一种碱性螺旋-环-螺旋转录因子,和少突神经胶质特异性相关。据报道Oligo-2的表达和绝大多数神经胶质肿瘤有关,比如少突神经胶质瘤和星形细胞瘤。尽管超过一半的胶质母细胞瘤Oligo-2呈阳性表达,但就阳性细胞比例和阳性强度而言,表达很弱。而在包括神经上皮肿瘤、室管膜瘤、室管膜下瘤、髓母细胞瘤在内的非神经胶质肿瘤和包括CNS淋巴瘤、脑膜瘤、神经鞘膜瘤、非典型畸胎样/横纹肌样瘤和成血管细胞瘤在内的非神经上皮肿瘤中均不表达。相比胶质瘤中的强表达,在非肿瘤的脑组织(神经胶质增生)中Oligo-2呈弱表达。
【种属】鼠
【预处理】高pH热修复
【阳性部位】细胞核
【阳性对照】胶质瘤
【染色系统】基因科技GTvision试剂盒

脑胶质瘤石蜡切片,用 Oligo-2(GT2213)染色,细胞核阳性,DAB 显色。

脑胶质瘤石蜡切片,用 Oligo-2(GT2213)染色,细胞核阳性,DAB 显色。

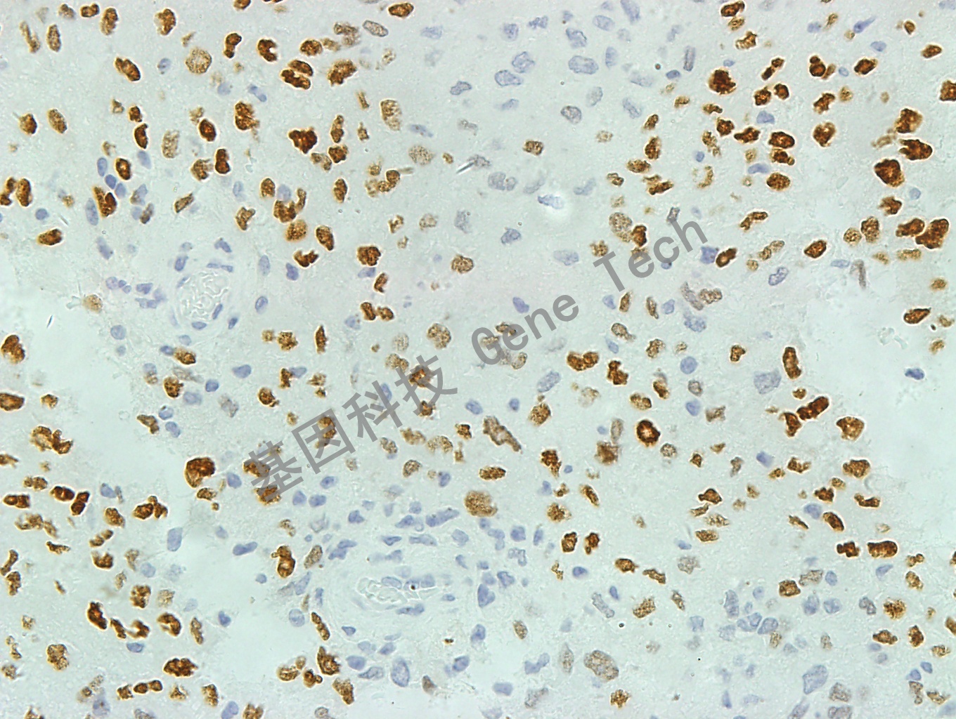
恶性胶质瘤石蜡切片,用 Oligo-2(GT2213)染色,细胞核阳性,DAB 显色。

恶性胶质瘤石蜡切片,用 Oligo-2(GT2213)染色,细胞核阳性,DAB 显色。