沪闵械备20180327号
E-cadherin是跨膜糖蛋白,属于上皮细胞钙离子依赖的粘附分子家族,在组织的生长发育中发挥重要作用,其功能的降低/丧失可导致细胞连接的破坏,与肿瘤细胞的浸润和转移相关。其表达与肿瘤分化程度成反比。表达的缺失与许多癌的进展相关,包括乳腺癌、膀胱癌和头颈部鳞癌,也同肝细胞癌高级别相关。尽管此抗体上皮样肉瘤中不表达,但是若在肉瘤中表达可能同上皮样分化相关。在渗出液中区别非肿瘤性间皮细胞和癌细胞(在渗出液中的卵巢肿瘤细胞E-cadherin 高表达);在鉴别间皮瘤和其他缺少细胞粘附力的肿瘤(如:乳腺小叶癌和胃癌,这些肿瘤有着很高频率的突变。)中有一些价值;现在也有报道可用于乳腺小叶癌和导管癌的鉴别(后者常为阳性,前者常阴性)。
【种属】兔
【预处理】高pH热修复
【阳性部位】细胞膜
【阳性对照】乳腺癌/结肠
【染色系统】基因科技GTvision试剂盒

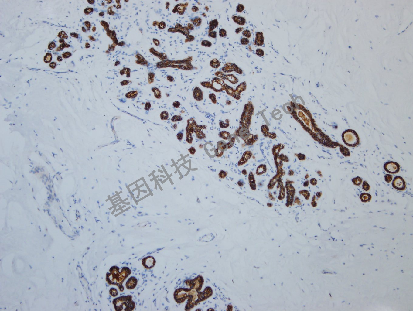
乳腺癌石蜡切片,用 E-Cadherin(GT2107)染色,细胞膜阳性,DAB 显色。

乳腺癌石蜡切片,用 E-Cadherin(GT2107)染色,细胞膜阳性,DAB 显色。
乳腺癌石蜡切片,用 E-Cadherin(GT2107)染色,细胞膜阳性,DAB 显色。