沪闵械备20180219号
NGFR(nervegrowthfactorreceptor, 神经生长因子受体)是一种分子量约为75kDa的糖蛋白,又名P-75NTR。该受体蛋白是头一个被分离获得的神经营养蛋白受体,属于肿瘤坏死因子(TNF)受体家族,主要表达于交感与感觉神经元,其次在各种神经脊细胞或者来源于该类细胞的肿瘤细胞(如:黑色素瘤、恶性黑色素瘤、神经母细胞瘤、嗜铬细胞瘤、纤维神经瘤、神经侵犯性痣)中有表达。研究都表明NGFR是促结缔组织增生性和嗜神经性黑色素瘤的可靠性标记物。利用NGFR抗体可标记乳腺导管的肌上皮细胞与小叶内成纤维细胞,有助于判断乳腺病变的良恶性质。
【种属】鼠
【预处理】高pH热修复
【阳性部位】细胞浆
【阳性对照】乳腺组织
【染色系统】基因科技GTvision试剂盒

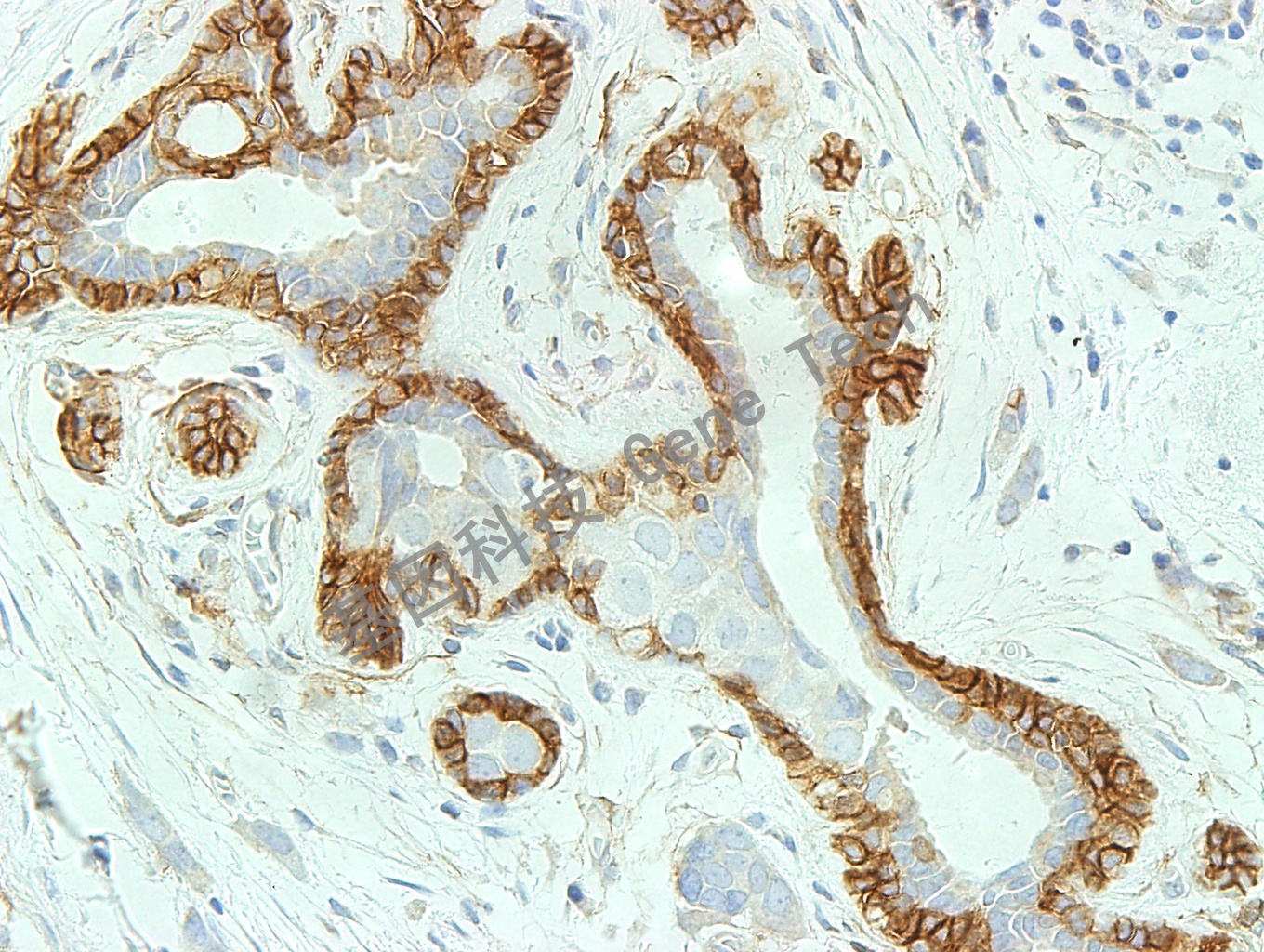
乳腺癌石蜡切片,用 NGFR(GT2258)染色,细胞浆阳性,DAB 显色。(10×)
乳腺癌石蜡切片,用 NGFR(GT2258)染色,细胞浆阳性,DAB 显色。(40×)