沪闵械备20180150号
Nestin(巢蛋白)是一种Ⅵ中间丝蛋白,表达于胚胎早期最终发育成胎儿中枢神经系统的神经上皮干细胞中。该蛋白被广泛当作干/祖细胞、神经胶质细胞、内皮性肿瘤细胞的主要标记物。此外,它也是卓越的判断肿瘤中内皮细胞向新生血管分化的标记物。
【种属】鼠
【预处理】高pH热修复
【阳性部位】细胞浆
【阳性对照】胶质瘤
【染色系统】基因科技GTvision试剂盒

垂体腺瘤石蜡切片,用 Nestin(GT2198)染色,细胞浆阳性,DAB 显色。(10×)

垂体腺瘤石蜡切片,用 Nestin(GT2198)染色,细胞浆阳性,DAB 显色。(40×)
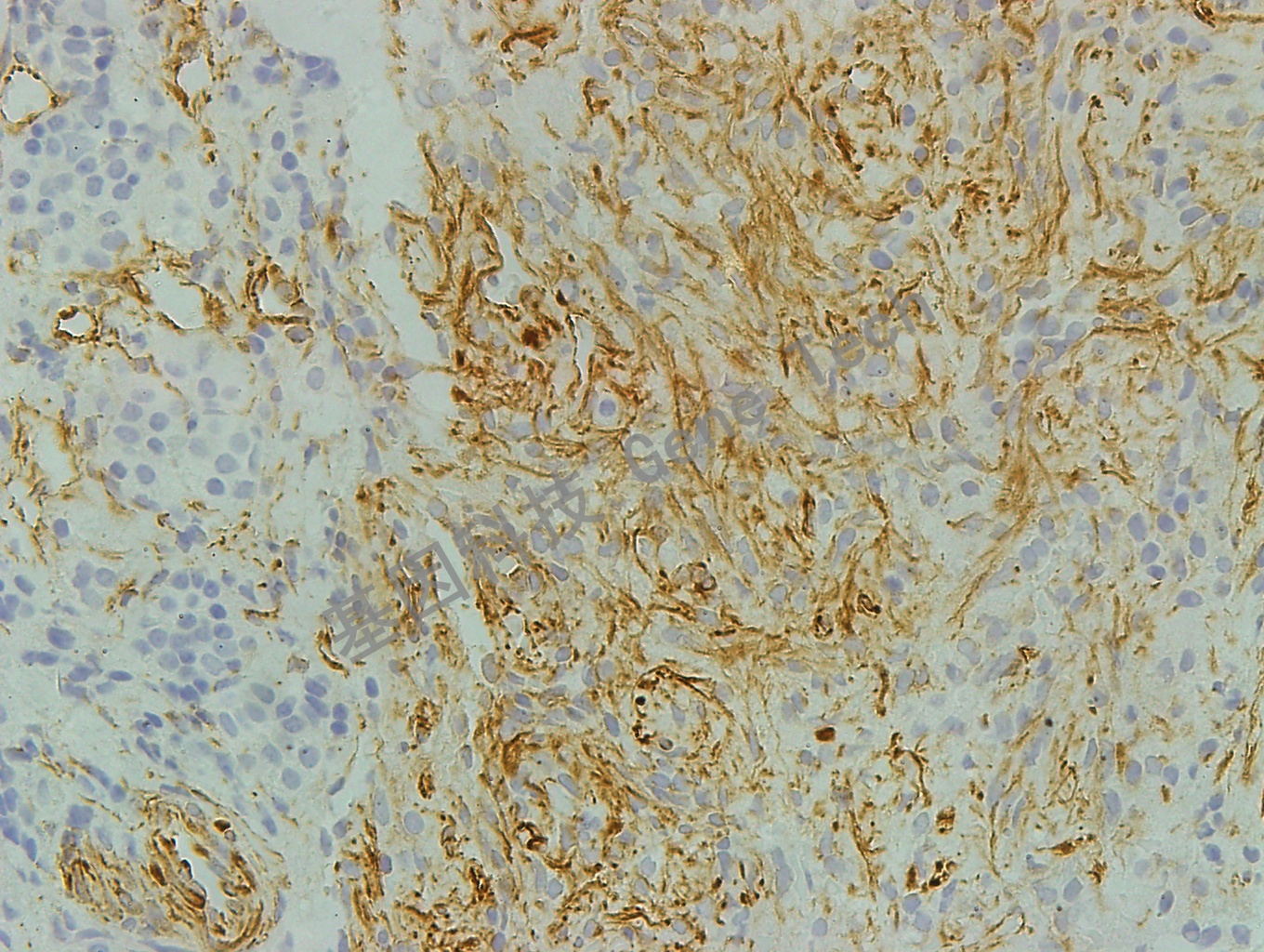
垂体瘤石蜡切片,用 Nestin(GT2198)染色,细胞浆阳性,DAB 显色。(40×)