沪闵械备20180021号
Desmin(结蛋白)是一种中间丝蛋白,分子量为53kDa。广泛分布于骨骼肌、心肌、平滑肌、肌上皮细胞及其来源的肿瘤中。该抗体主要用于标记平滑肌和横纹肌源性肿瘤。
【种属】鼠
【预处理】高pH热修复
【阳性部位】细胞浆
【阳性对照】结肠癌/阑尾
【染色系统】基因科技GTvision试剂盒

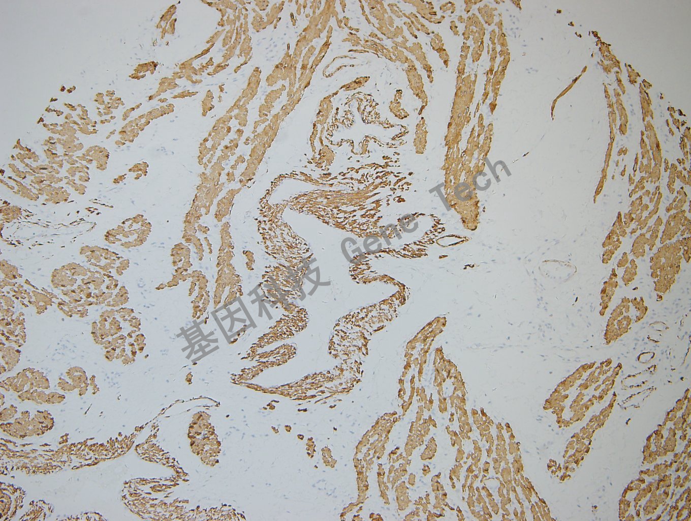
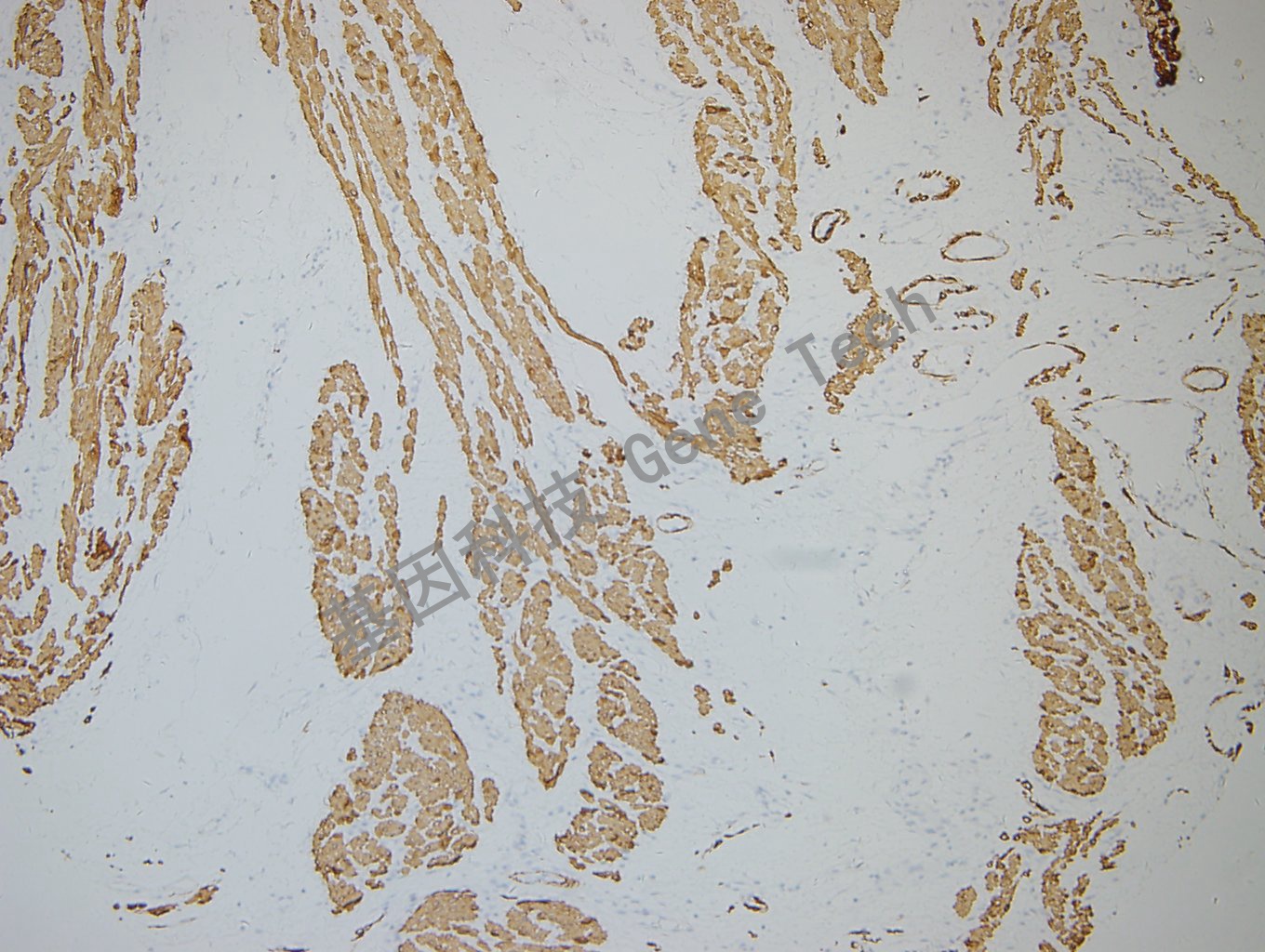
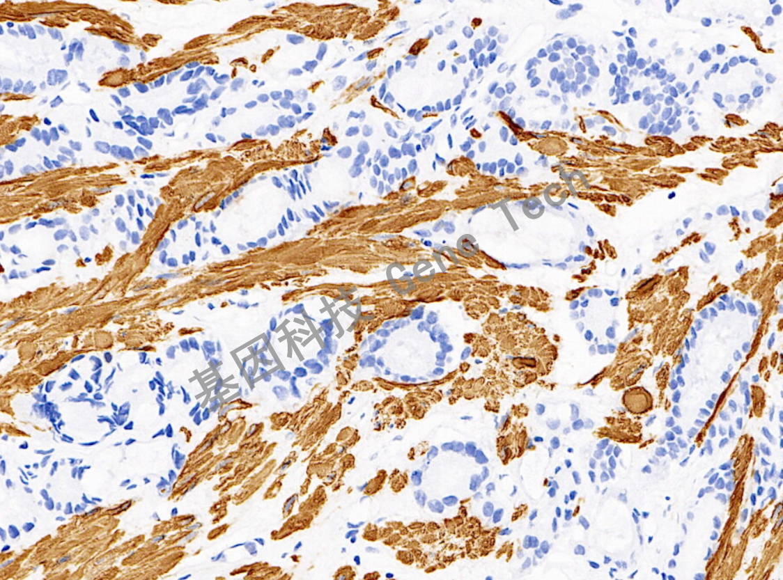
结肠癌石蜡切片,用 Desmin(GT2252)染色,细胞浆阳性,DAB 显色。

结肠癌石蜡切片,用 Desmin(GT2252)染色,细胞浆阳性,DAB 显色。

结肠癌石蜡切片,用 Desmin(GT2252)染色,细胞浆阳性,DAB 显色。

结肠癌石蜡切片,用 Desmin(GT2252)染色,细胞浆阳性,DAB 显色。

结肠癌石蜡切片,用 Desmin(GT2252)染色,细胞浆阳性,DAB 显色。

结肠癌石蜡切片,用 Desmin(GT2252)染色,细胞浆阳性,DAB 显色。
子宫肌瘤石蜡切片,用 Desmin(GT2252)染色,细胞浆阳性,DAB 显色。

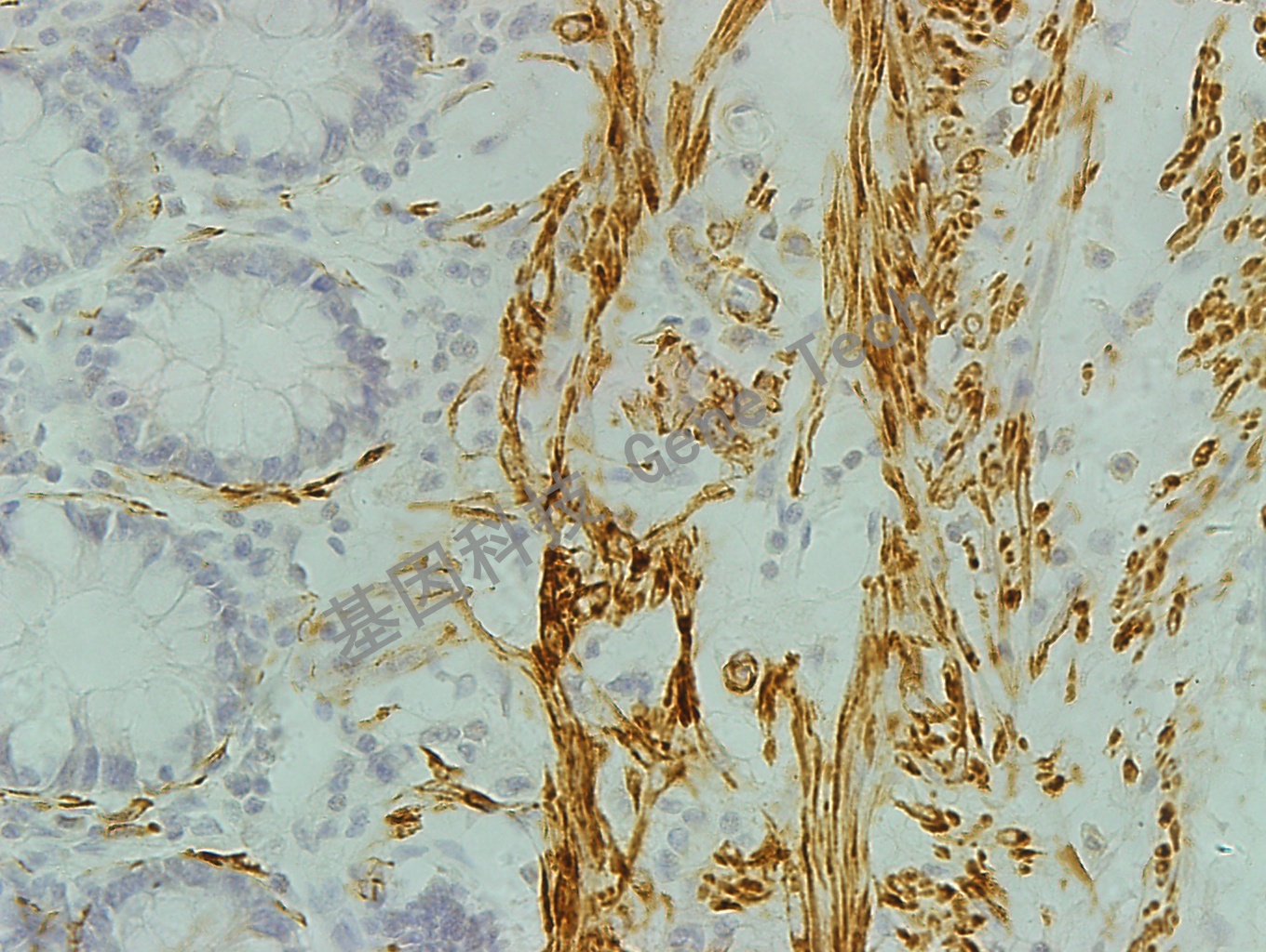
平滑肌石蜡切片,用 Desmin(GT2252)染色,细胞浆阳性,DAB 显色。

平滑肌肉瘤石蜡切片,用 Desmin(GT2252)染色,细胞浆阳性,DAB 显色。

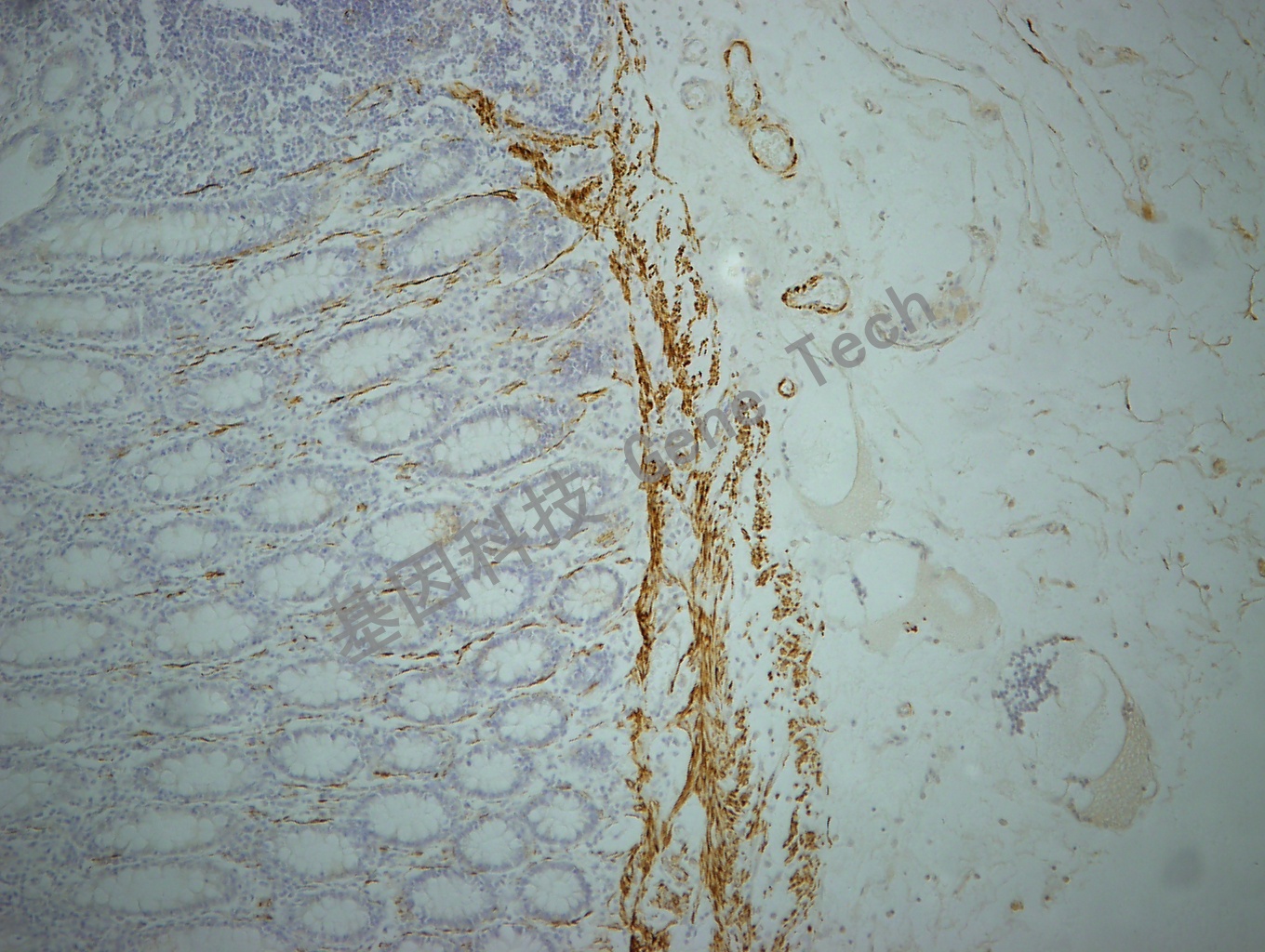
阑尾石蜡切片,用 Desmin(GT2252)染色,细胞浆阳性,DAB 显色。