MRP1 鼠抗人 多药耐药相关蛋白(MRP)抗体试剂(免疫组织化学法)
克隆号:QCRL-1
货号:GT2015


沪闵械备20190199号


MRP1(Multidrug resistance-associated protein 1)是一种酸性磷酸化酶,主要表达于肺、结肠、输卵管、子宫、脑、肝脏及胰腺组织。在约44%的卵巢癌和80%的乳腺癌中有表达,前列腺癌也有表达增强。主要用于肿瘤的多药耐药机制的研究。


【种属】鼠


【预处理】高pH热修复


【阳性部位】细胞浆


【阳性对照】乳腺癌


【染色系统】基因科技GTvision试剂盒


MRP1 GT2015 10X B5肺_副本.jpg肺癌石蜡切片,用 MRP1(GT2015)染色,细胞浆阳性,DAB 显色。

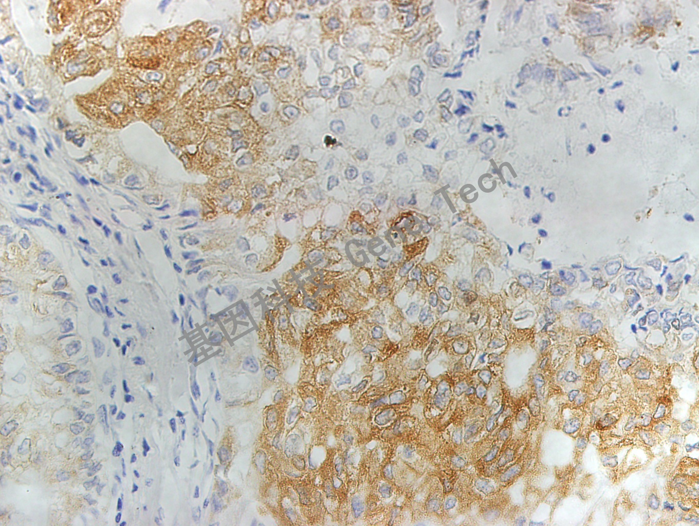
MRP1 GT2015 40X B5肺_副本.jpg肺癌石蜡切片,用 MRP1(GT2015)染色,细胞浆阳性,DAB 显色。