MiTF 鼠抗人 小眼相关转录因子(MiTF)抗体试剂(免疫组织化学法)
克隆号:C5/D5
货号:GT2263


沪闵械备 20190202号 


MiTF(Microphthalmia-associated transcription factor, 小眼畸形相关转录因子)是重要的转录因子。MiTF在色素细胞的发育、分化和功能调节中发挥关键性作用,不仅是黑色素细胞生长、分化及色素生成的主要调节蛋白,对黑色素细胞的恶性转化以及黑素瘤的发生、发展及转移亦发挥重要的作用。MiTF也与肥大细胞和骨骼发育密切相关。MiTF除表达于黑色素细胞及肿瘤,在巨噬细胞、破骨细胞和多种肿瘤也可能阳性。主要用于恶性黑色素瘤的诊断。


【种属】鼠


【预处理】高pH热修复


【阳性部位】细胞核


【阳性对照】黑色素瘤


【染色系统】基因科技GTvision试剂盒


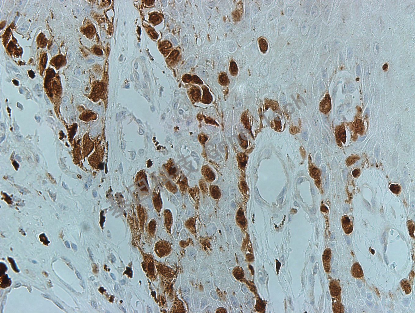
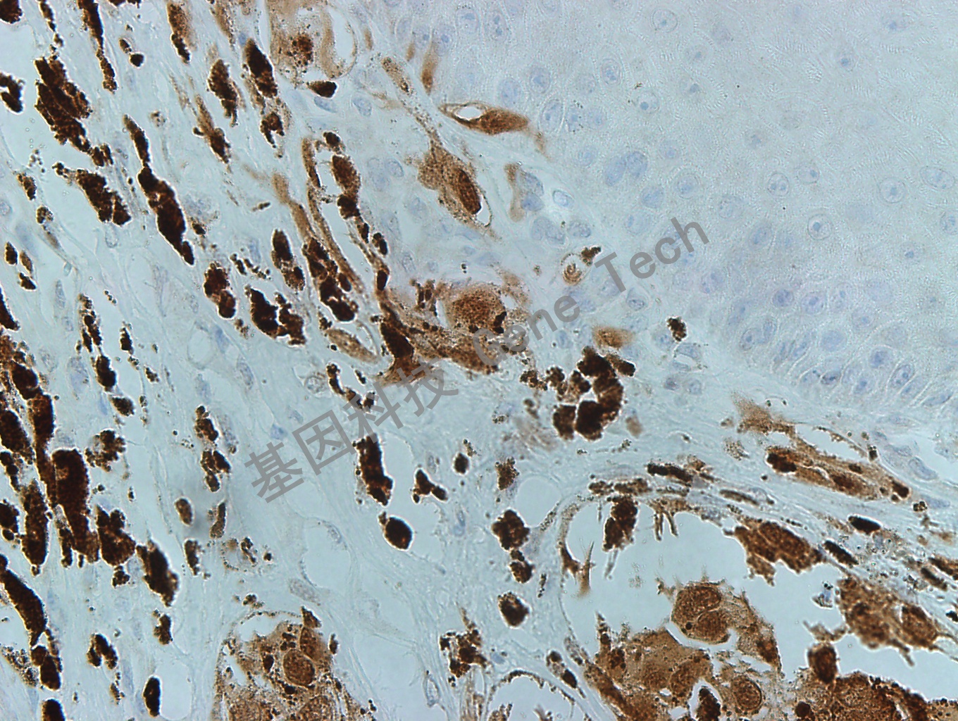
MITF GT2263 黑色素瘤10X_副本.jpg黑色素瘤石蜡切片,用 MITF(GT2263)染色,细胞核阳性,DAB 显色。

MITF GT2263 黑色素瘤40X_副本.jpg黑色素瘤石蜡切片,用 MITF(GT2263)染色,细胞核阳性,DAB 显色。

MITF GT2263 黑色素瘤40X-2_副本.jpg黑色素瘤石蜡切片,用 MITF(GT2263)染色,细胞核阳性,DAB 显色。