沪闵械备20202004号
肌球蛋白(Myosin)是肌肉和一些非肌源性细胞内能够与肌动蛋白相互作用的蛋白,分子量约 480kDa。Myosin 由两条完全相同的重链(各 200kDa)与 4 条轻链(分子量 15-26kDa)组成。其分子结构分为杆状区与球状区。Myosin 通过杆状区聚集成纤维状,通过球状区与肌动蛋白、 ATP 相互作用。因生理功能不同而不同的肌细胞类型中有不同的肌球蛋白如:骨骼肌型、心肌型、平滑肌型和非肌性的异型肌球蛋白等。这些肌球蛋白根据其收缩速度被分为 I 型(慢型和 II 型(快型)。
【种属】鼠
【预处理】无需修复
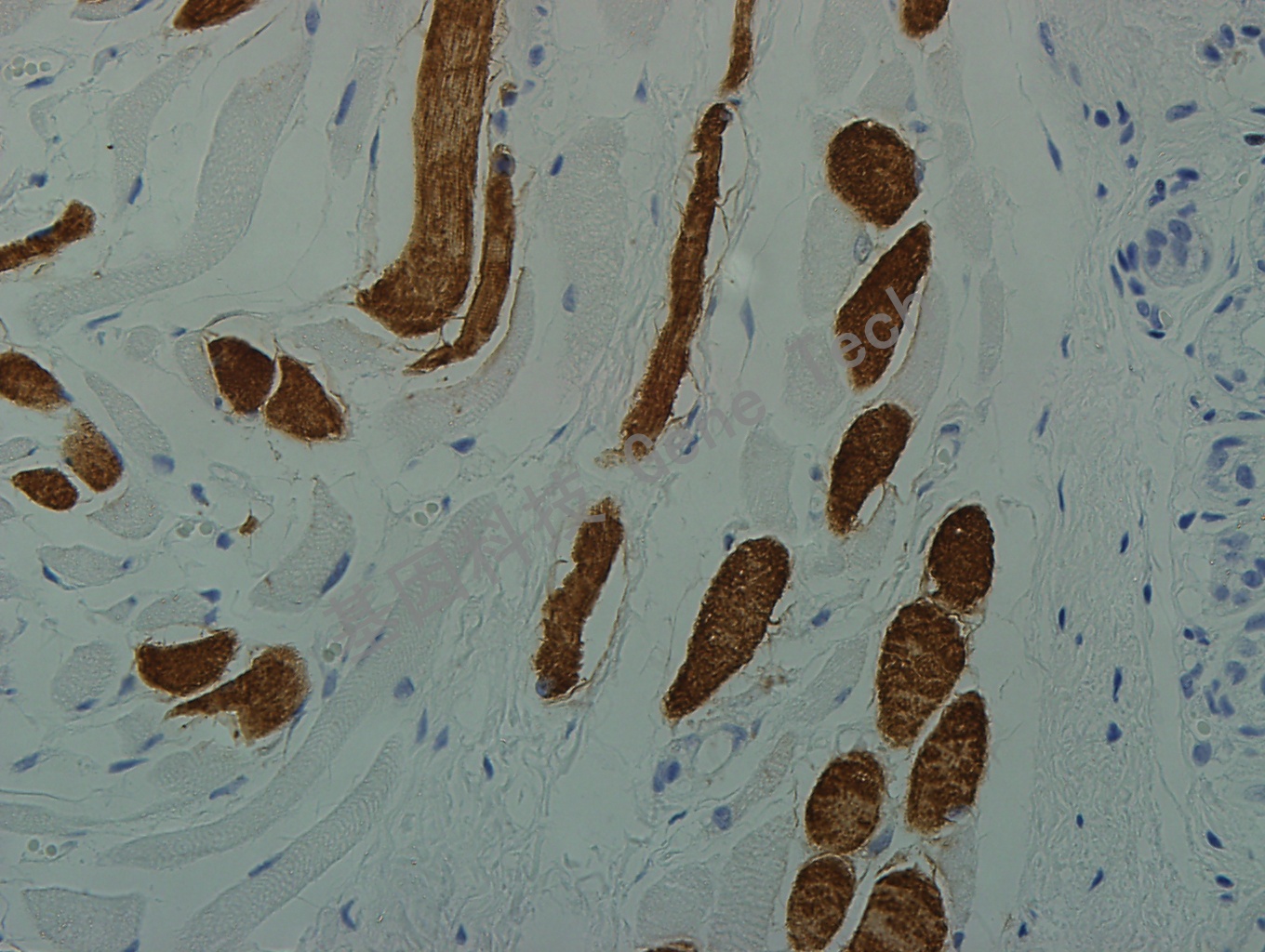
【阳性部位】细胞浆
【阳性对照】横纹肌肉瘤
【染色系统】基因科技GTvision试剂盒

扁桃体中骨骼肌石蜡切片,用 Skeletal Myosin(GT2225)染色,细胞浆阳性,DAB 显色。
扁桃体中骨骼肌石蜡切片,用 Skeletal Myosin(GT2225)染色,细胞浆阳性,DAB 显色。