沪闵械备20180149号
MUC6(Mucin 6, 粘蛋白6)是一类高度糖基化的糖蛋白,其合成和分泌是腺上皮的特征之一。在生理状态下MUC2只表达于正常肠粘膜中,又称肠型黏液;MUC5AC和MUC6只在正常胃粘膜中表达,又称为胃型黏液,MUC5AC主要分布在浅层粘膜上皮细胞,而MUC6分布于粘膜深层腺体细胞。在胃肠道肿瘤的鉴别中,三者联合应用有一定的意义。
【种属】鼠
【预处理】高pH热修复
【阳性部位】细胞浆
【阳性对照】胃
【染色系统】基因科技GTvision试剂盒

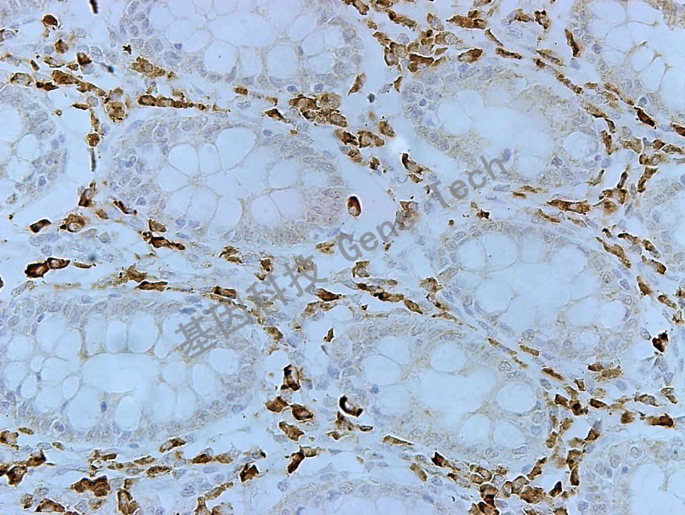
结肠癌石蜡切片,用 MUC-6(GT2220)染色,细胞浆阳性,DAB 显色。

结肠癌石蜡切片,用 MUC-6(GT2220)染色,细胞浆阳性,DAB 显色。