沪闵械备20180088号
MSH6(MutS homolog 6)是人类错配修复基因家族中一个重要的基因,人类错配修复基因对保持遗传信息的完整性、稳定性及避免遗传突变的产生具有重要作用。突变后该基因缺失,会使细胞错配修复功能缺陷,导致微卫星不稳定(MSI),使肿瘤易感。目前,多和MLH1、MSH2、PMS2共同用于Lynch syndrome的筛查、结直肠癌预后预测、II期结直肠癌治疗指导及结直肠癌免疫治疗人群筛选等。
【种属】兔
【预处理】高pH热修复
【阳性部位】细胞核
【阳性对照】结肠癌/阑尾
【染色系统】基因科技GTvision试剂盒
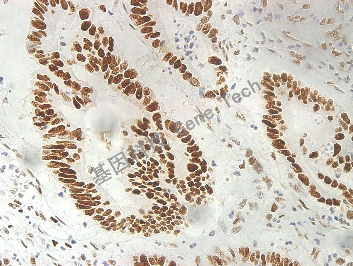
结肠癌石蜡切片,用 MSH6(GT2195)染色,细胞核阳性,DAB 显色。
结肠癌石蜡切片 ,用 MSH6(GT2195)染色,细胞核阳性,DAB 显色。

阑尾石蜡切片,用 MSH6(GT2195)染色,细胞核阳性,DAB 显色。
阑尾石蜡切片 ,用 MSH6(GT2195)染色,细胞核阳性,DAB 显色。

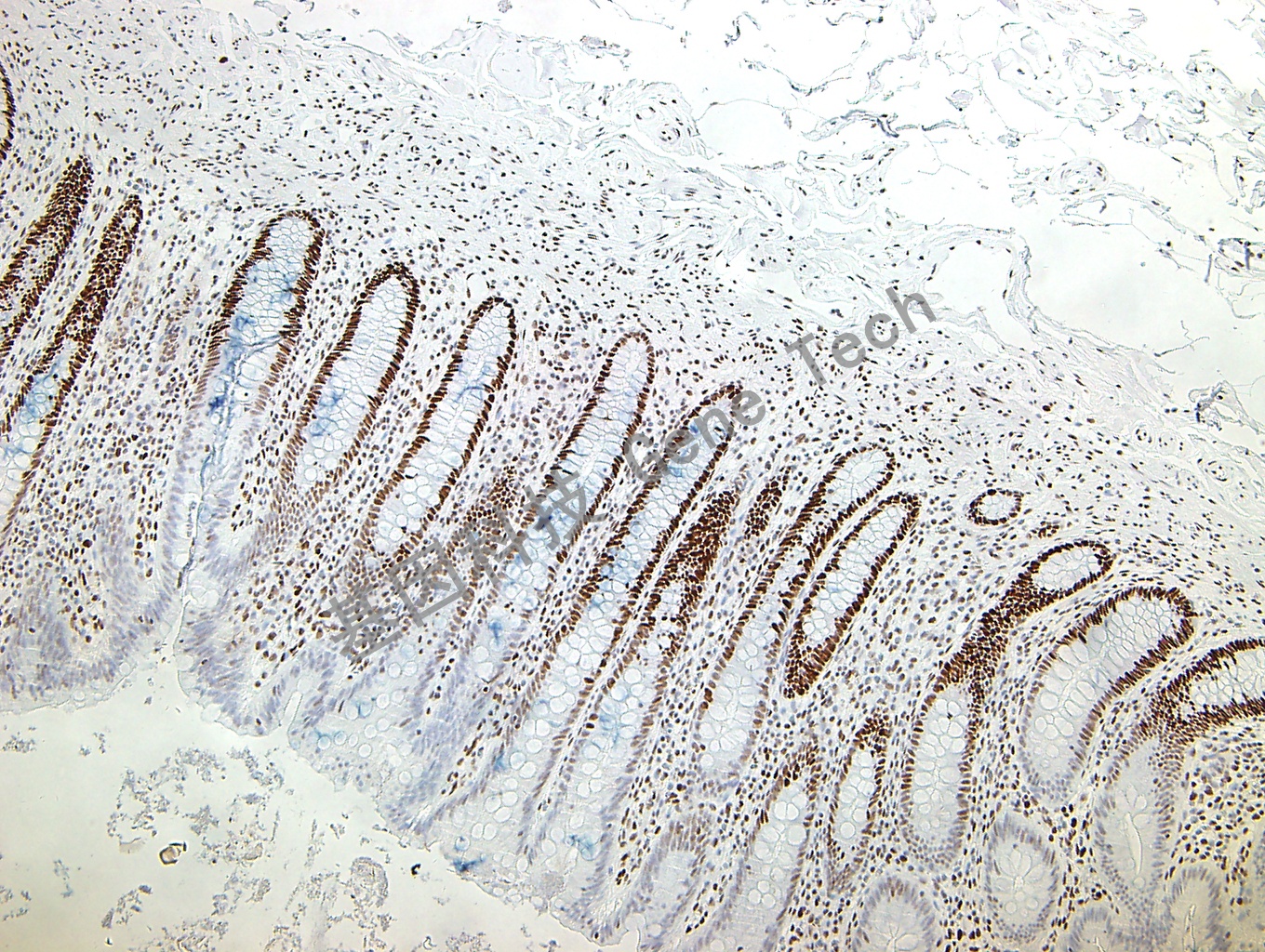
结肠石蜡切片,用 MSH6(GT2195)染色,细胞核阳性,DAB 显色。

结肠石蜡切片,用 MSH6(GT2195)染色,细胞核阳性,DAB 显色。

结肠石蜡切片,用 MSH6(GT2195)染色,细胞核阳性,DAB 显色。

结肠石蜡切片,用 MSH6(GT2195)染色,细胞核阳性,DAB 显色。