沪闵械备20180145号
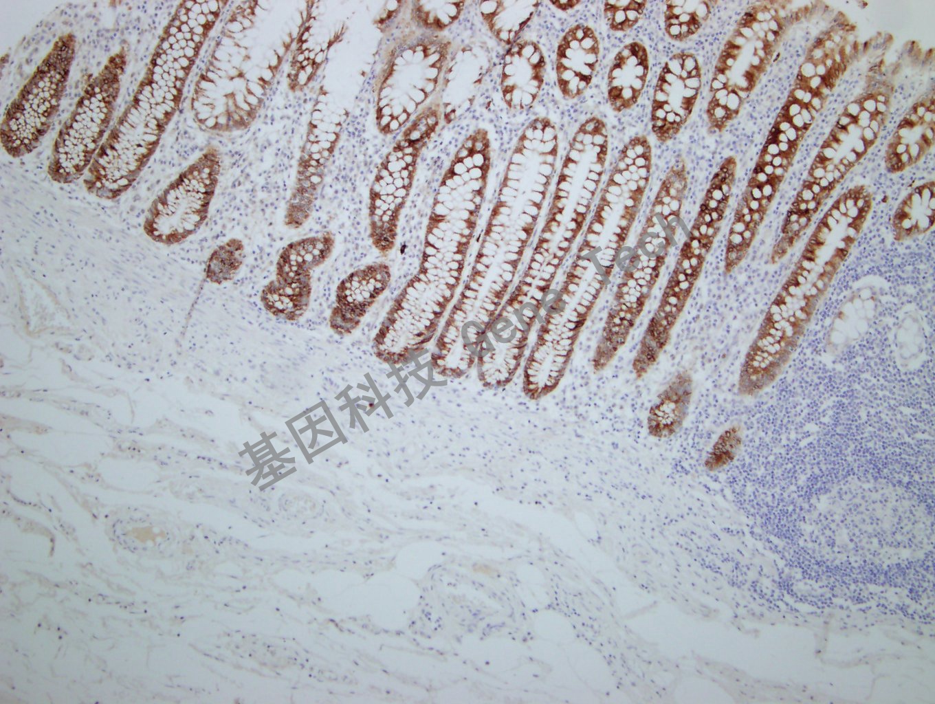
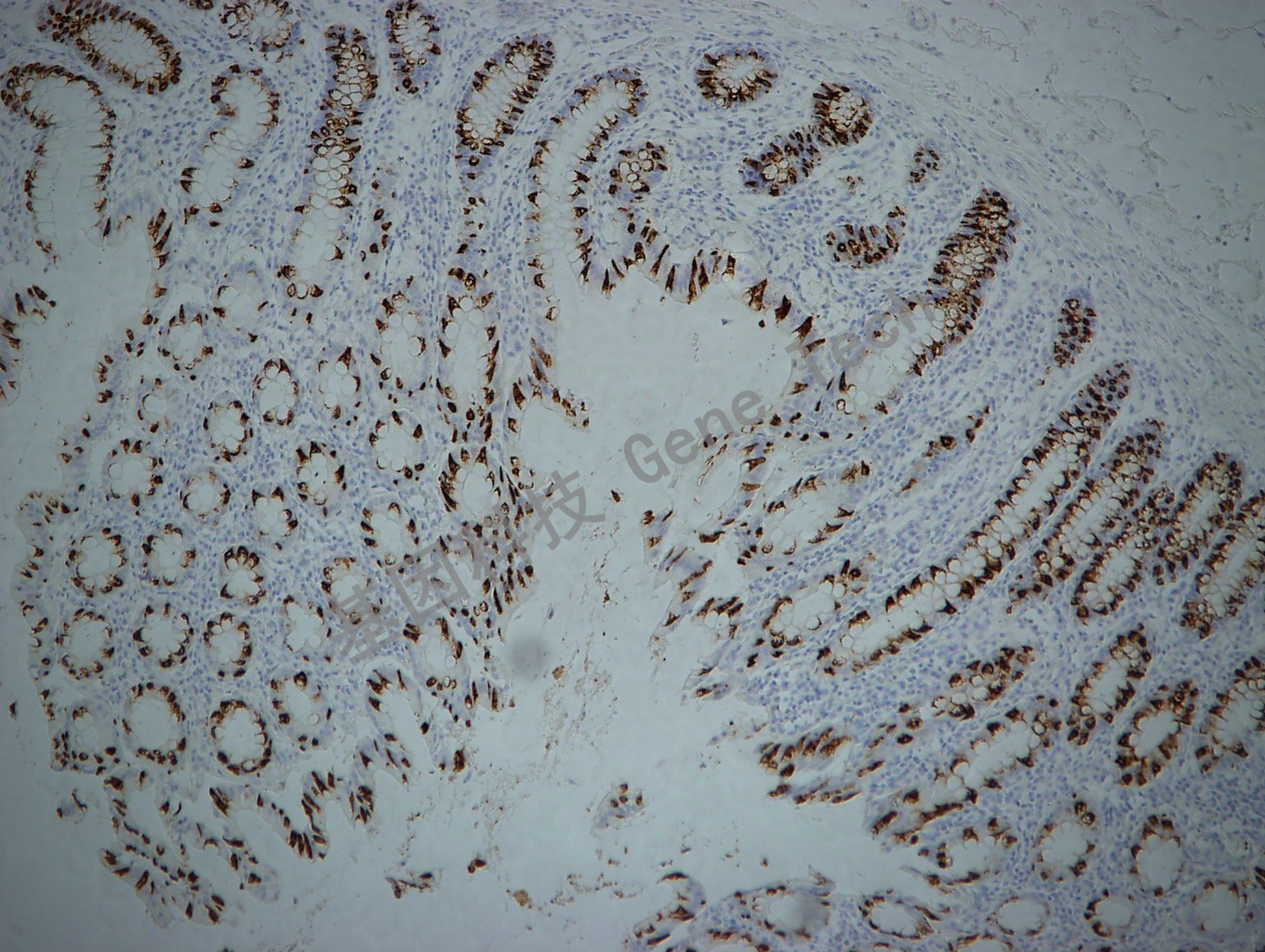
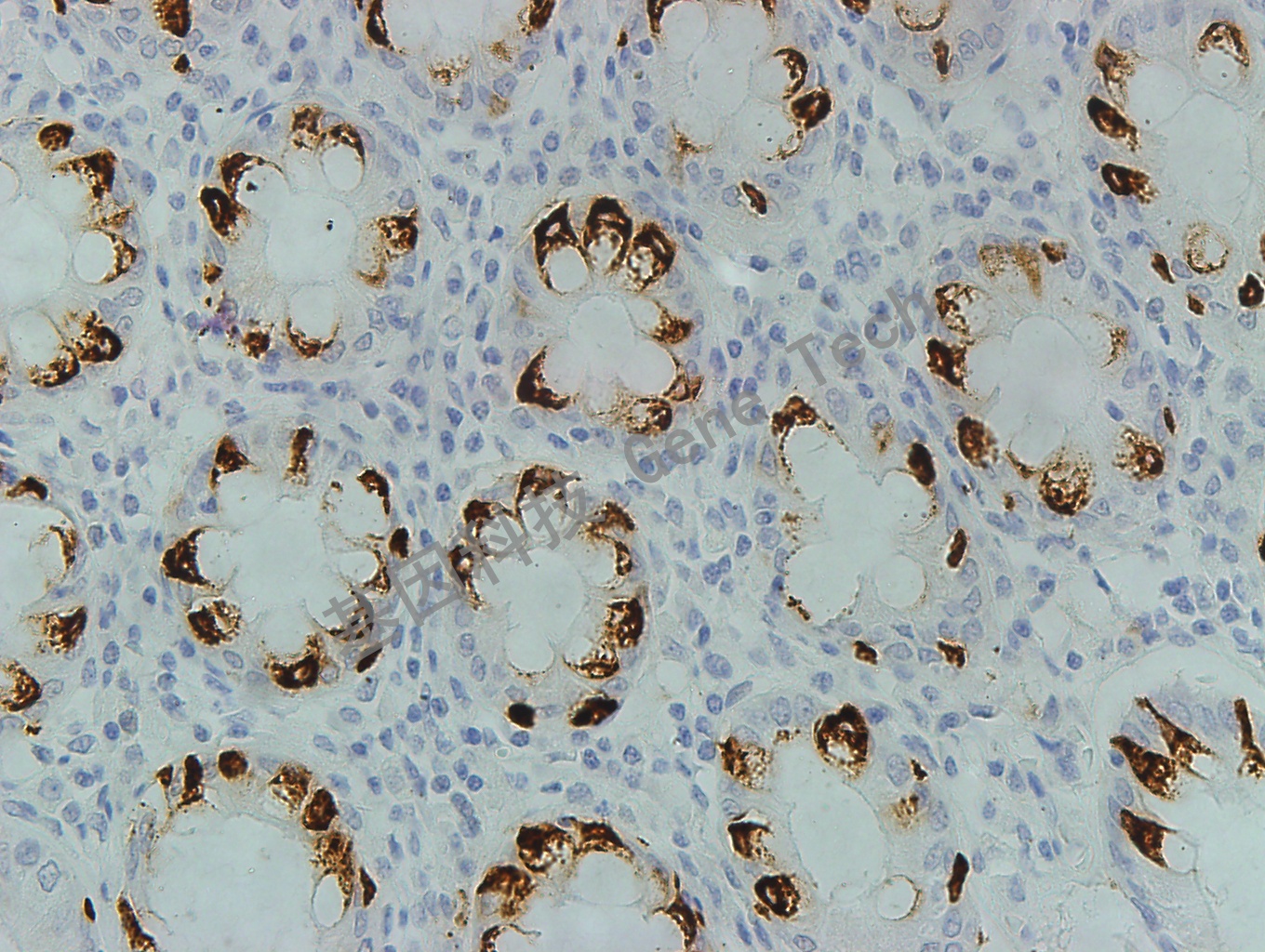
MUC2(粘蛋白2)是一种消化道肿瘤相关的分泌型粘蛋白,属于粘蛋白家族成员之一。该蛋白多由结肠、小肠及呼吸道的杯状细胞分泌,又称为肠型黏液。结肠癌中MUC-2的表达减少与肿瘤的发生、发展有关。该抗体主要用于结肠癌的研究。
【种属】鼠
【预处理】高pH热修复
【阳性部位】细胞浆
【阳性对照】小肠/结肠癌
【染色系统】基因科技GTvision试剂盒

结肠癌石蜡切片,用 MUC-2(GT2084)染色,细胞浆阳性,DAB 显色。
结肠癌石蜡切片,用 MUC-2(GT2084)染色,细胞浆阳性,DAB 显色。
结肠癌石蜡切片,用 MUC-2(GT2084)染色,细胞浆阳性,DAB 显色。

结肠癌石蜡切片,用 MUC-2(GT2084)染色,细胞浆阳性,DAB 显色。