MPO 兔抗人 Myeloperoxidase 抗体试剂(免疫组织化学)
克隆号:poly
货号:GT2032


沪闵械备20180019号


MPO(Myeloperoxidase, 髓过氧化物酶)是粒细胞在吞噬裂解外来体构成中的一个重要酶,对机体产生和调节炎症反应等多方面发挥作用。主要表达于中性粒细胞和单核细胞,而不表达于红细胞样前体、淋巴样细胞、原核细胞、肥大细胞、浆细胞以及各种上皮源性肿瘤和肉瘤等。是髓系白血病和粒细胞肉瘤敏感及特异性的标记物。主要用于急性白血病免疫分型和粒细胞肉瘤的诊断,亦可用于急性白血病与一些淋巴瘤的鉴别诊断。


【种属】兔


【预处理】高pH热修复


【阳性部位】细胞浆


【阳性对照】扁桃体/骨髓


【染色系统】基因科技GTvision试剂盒


MPO GT2032 tonsil 40X_副本.jpg扁桃体石蜡切片,用 MPO(GT2032)染色,细胞浆阳性,DAB 显色。

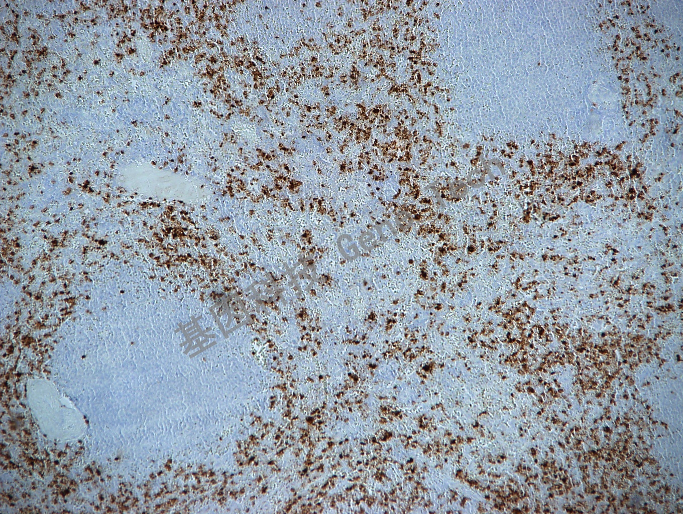
MPO GT2032 胞浆 骨髓10X_副本.jpg骨髓石蜡切片,用 MPO(GT2032)染色,细胞浆阳性,DAB 显色。

MPO GT2032 胞浆 骨髓40_副本.jpg骨髓石蜡切片,用 MPO(GT2032)染色,细胞浆阳性,DAB 显色。

MPO GT2032 胞浆 脾10X_副本.jpg脾石蜡切片,用 MPO(GT2032)染色,细胞浆阳性,DAB 显色。

MPO GT2032 胞浆 脾40X_副本.jpg脾石蜡切片,用 MPO(GT2032)染色,细胞浆阳性,DAB 显色。