沪闵械备20180039号
Ki-67可以识别出在细胞增殖周期G1、S、G2和M期的细胞,而处在G0期的细胞不着色。可判断细胞的增殖活性,是确定良恶性组织生长状态的标记。研究表明,它与乳腺癌的组织学分型、核分裂指数和淋巴结转移情况密切相关,由于Ki-67比PCNA更为直接反应细胞的增殖情况,因此常用于某些恶性肿瘤预后的一个重要参考指标。有助于判断淋巴瘤的恶性程度,高级别淋巴瘤Ki-67一般大于40%或50%。
【种属】兔
【预处理】高pH热修复
【阳性部位】细胞核
【阳性对照】扁桃体
【染色系统】基因科技GTvision试剂盒

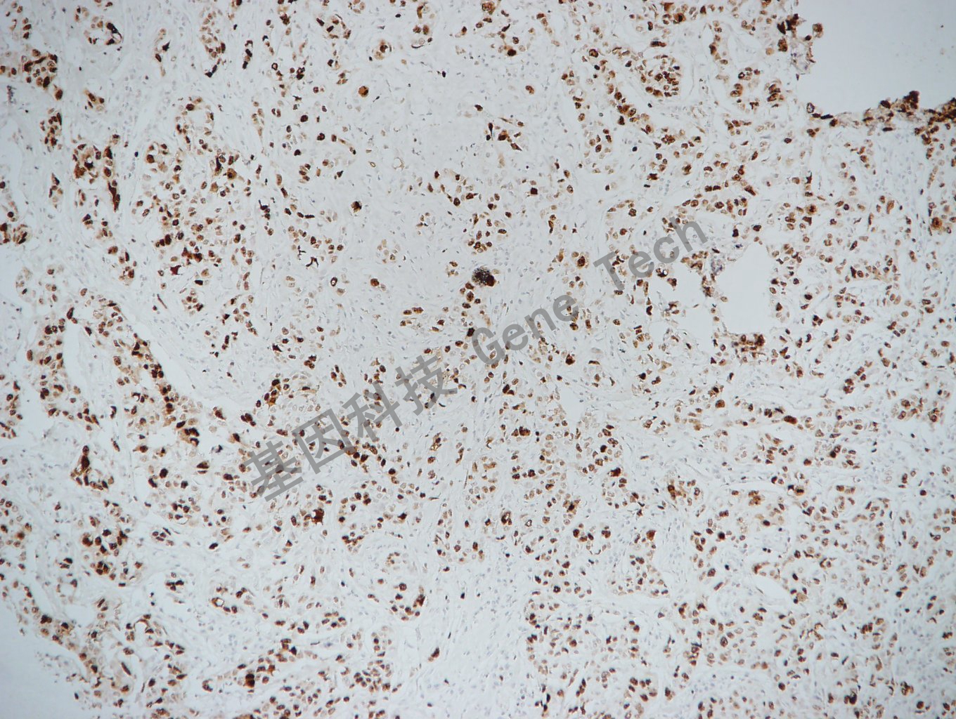
乳腺癌石蜡切片,用 Ki67(GT2101)染色,细胞核阳性,DAB 显色。

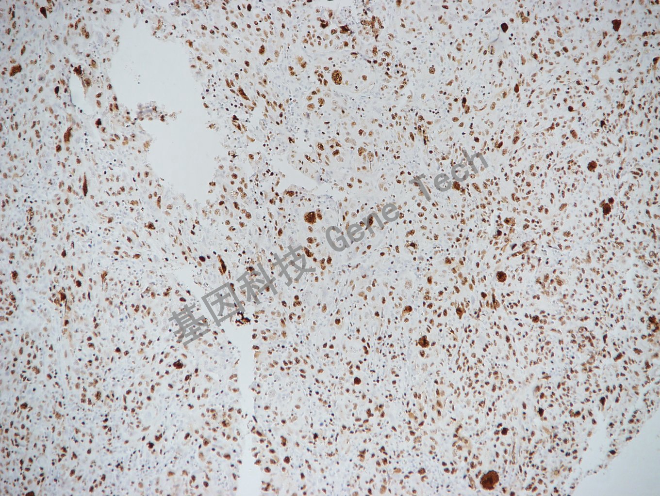
乳腺癌石蜡切片,用 Ki67(GT2101)染色,细胞核阳性,DAB 显色。

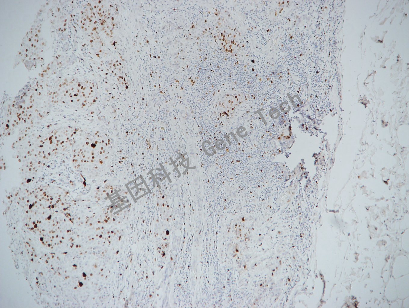
乳腺癌石蜡切片,用 Ki67(GT2101)染色,细胞核阳性,DAB 显色。
乳腺癌石蜡切片,用 Ki67(GT2101)染色,细胞核阳性,DAB 显色。