沪闵械备20180314号
IMP3(Insulin like growth factor II mRNA binding protein 3, 胰岛素样生长因子II信使核糖核酸结合蛋白3),是胰岛素样生长因子RNA结合蛋白家族中的一员。能够高度特异性结合编码胰岛素样生长因子Ⅱ的mRNA,调节其定位、反转录及翻译,对RNA的运输、稳定、细胞的增殖和迁移具有重要作用。IMP3高度表达于胚胎发育早期阶段的肝、肺、肾、胸腺、胎盘等组织中,而在正常成人组织中很少表达,但在许多恶性肿瘤(如肺癌、胰腺癌、卵巢癌、结肠癌、膀胱癌、胃癌、乳腺癌等)中呈高度表达,且其表达与肿瘤的恶性程度及预后不良相关。
【种属】兔
【预处理】高pH热修复
【阳性部位】细胞膜/细胞浆
【阳性对照】胰腺导管癌/胃癌
【染色系统】基因科技GTvision试剂盒

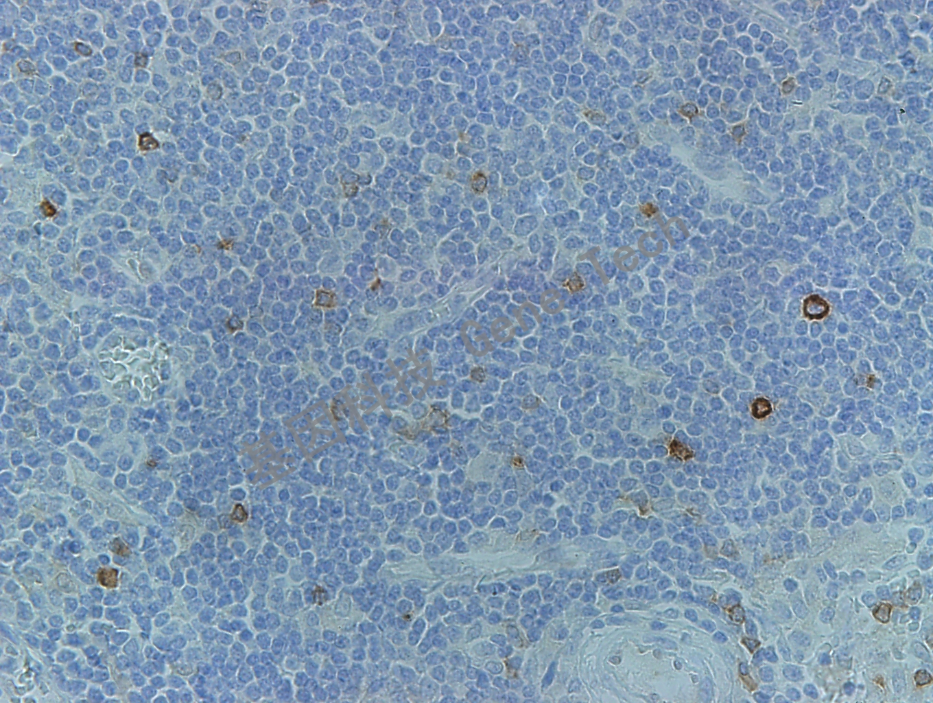
淋巴结石蜡切片,用 IMP3(GT2261)染色,细胞膜/细胞浆阳性,DAB 显色。
淋巴结石蜡切片 ,用 IMP3(GT2261)染色,细胞膜/细胞浆阳性,DAB 显色。
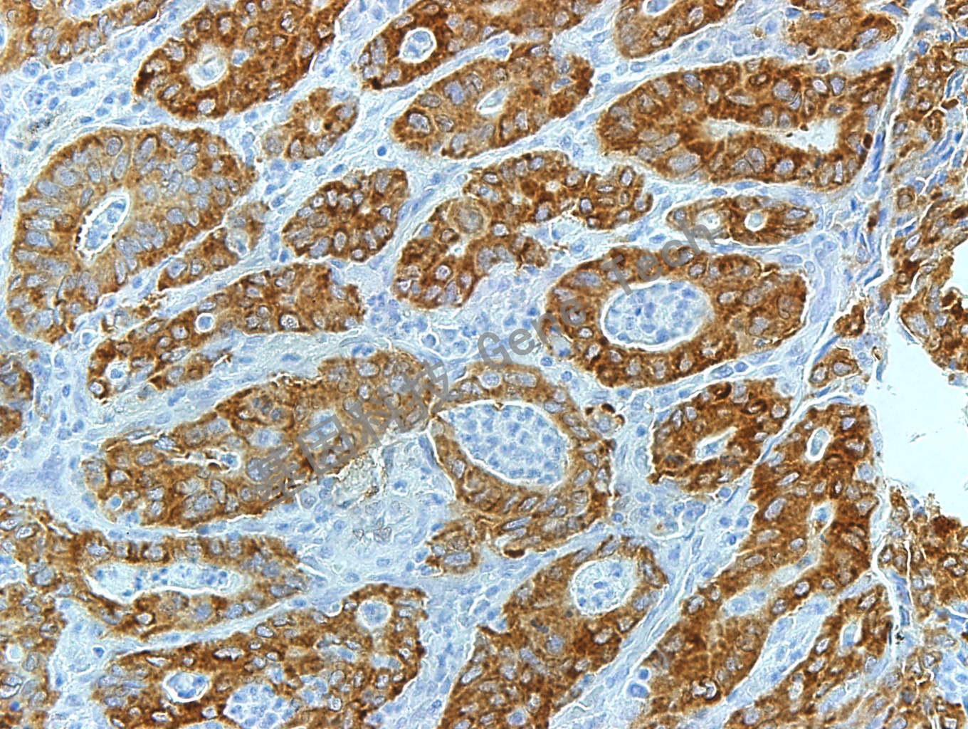
食管癌石蜡切片 ,用 IMP3(GT2261)染色,细胞膜/细胞浆阳性,DAB 显色。
食管癌石蜡切片 ,用 IMP3(GT2261)染色,细胞膜/细胞浆阳性,DAB 显色。
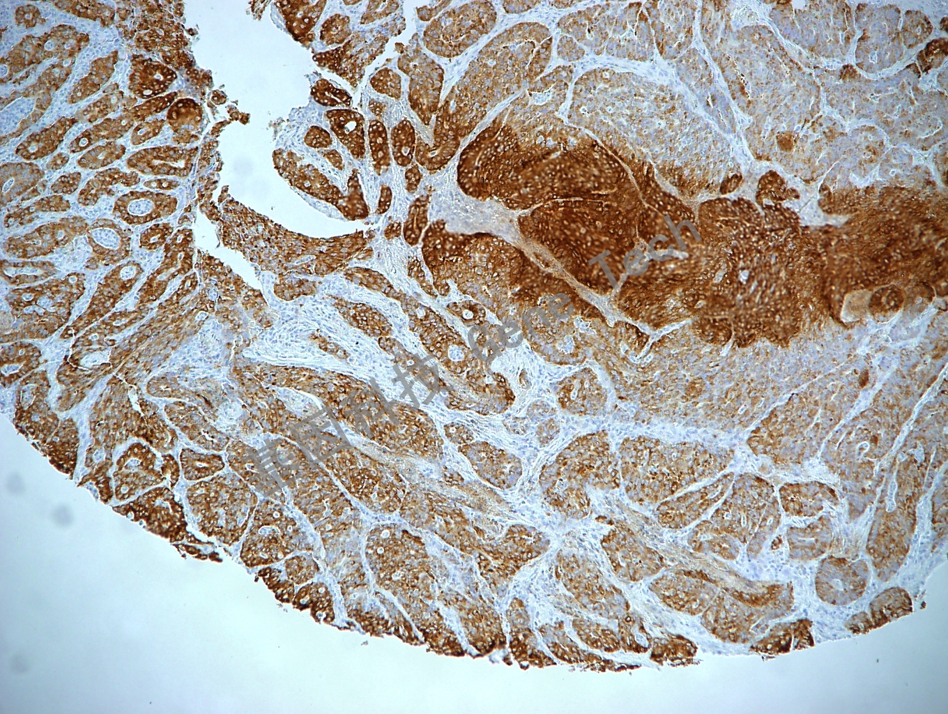
胃癌石蜡切片 ,用 IMP3(GT2261)染色,细胞膜/细胞浆阳性,DAB 显色。
胃癌石蜡切片 ,用 IMP3(GT2261)染色,细胞膜/细胞浆阳性,DAB 显色。