Insulin 鼠抗人 Insulin 抗体试剂(免疫组织化学)
克隆号:2D11-H5
货号:GT2131


沪闵械备20180303号


Insulin(胰岛素)是由人胰岛β细胞分泌的一种激素。促进组织细胞对葡萄糖的摄取和利用,促进糖原合成,降低血糖。此抗体主要用于胰岛细胞瘤的功能性分类研究。


【种属】鼠


【预处理】无需修复 


【阳性部位】细胞浆


【阳性对照】胰腺


【染色系统】基因科技GTvision试剂盒


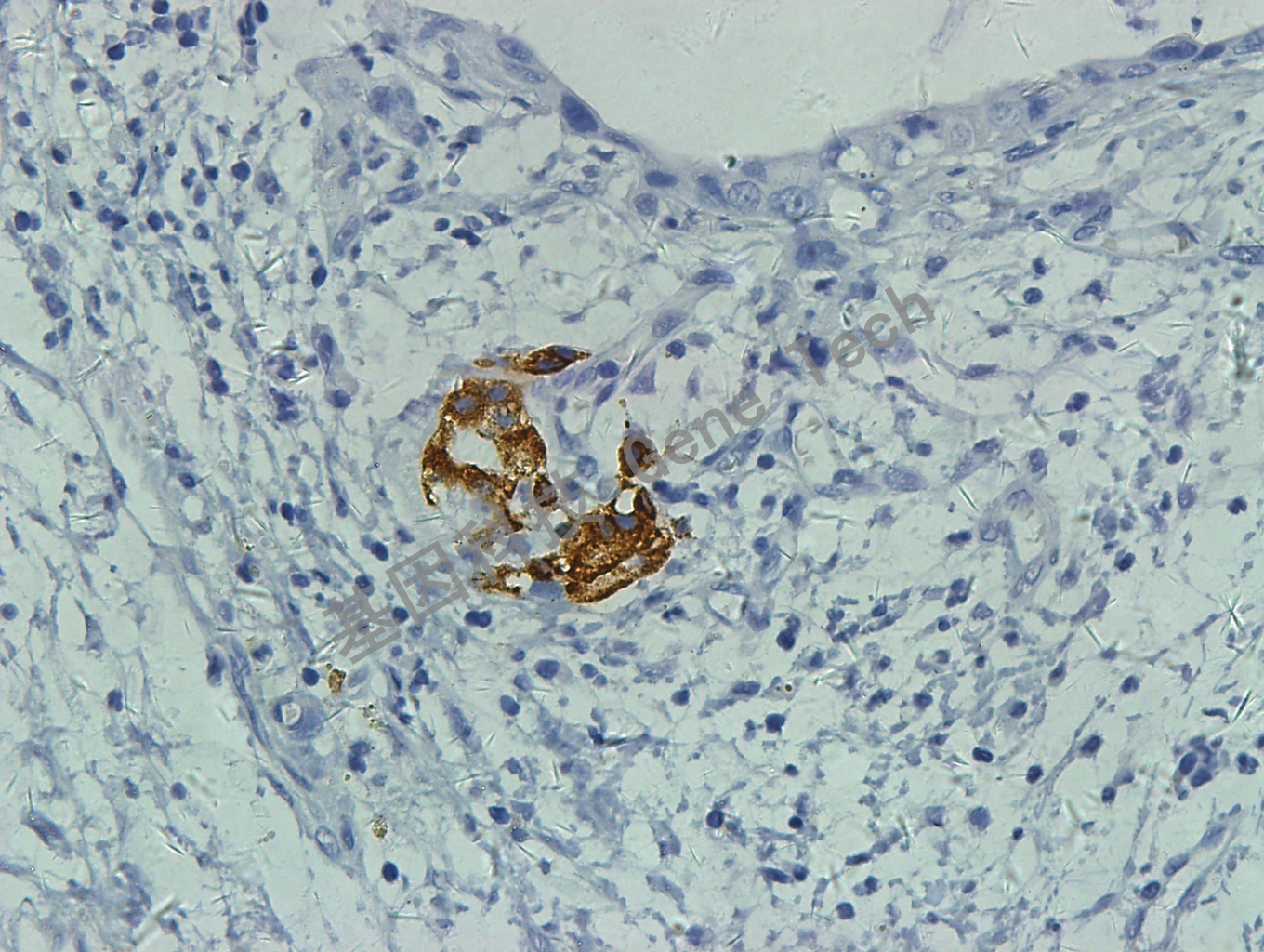
insulin GT2131 胰腺癌 40X_副本.jpg

胰腺癌石蜡切片,用 Insulin(GT2131)染色,细胞浆阳性,DAB 显色。

insulin GT2131 胰腺癌1 40X_副本.jpg胰腺癌石蜡切片,用 Insulin(GT2131)染色,细胞浆阳性,DAB 显色。