沪闵械备20190100号
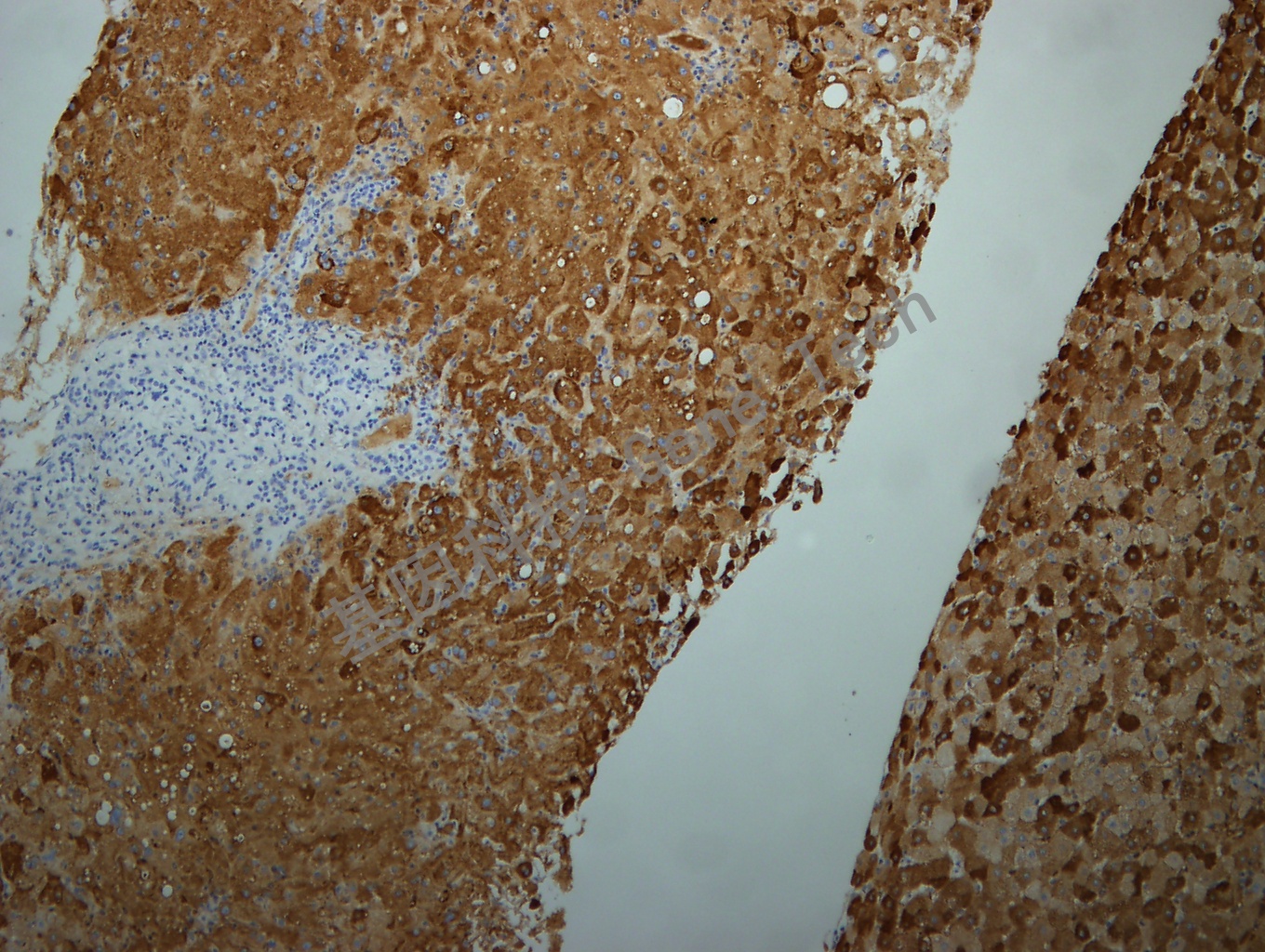
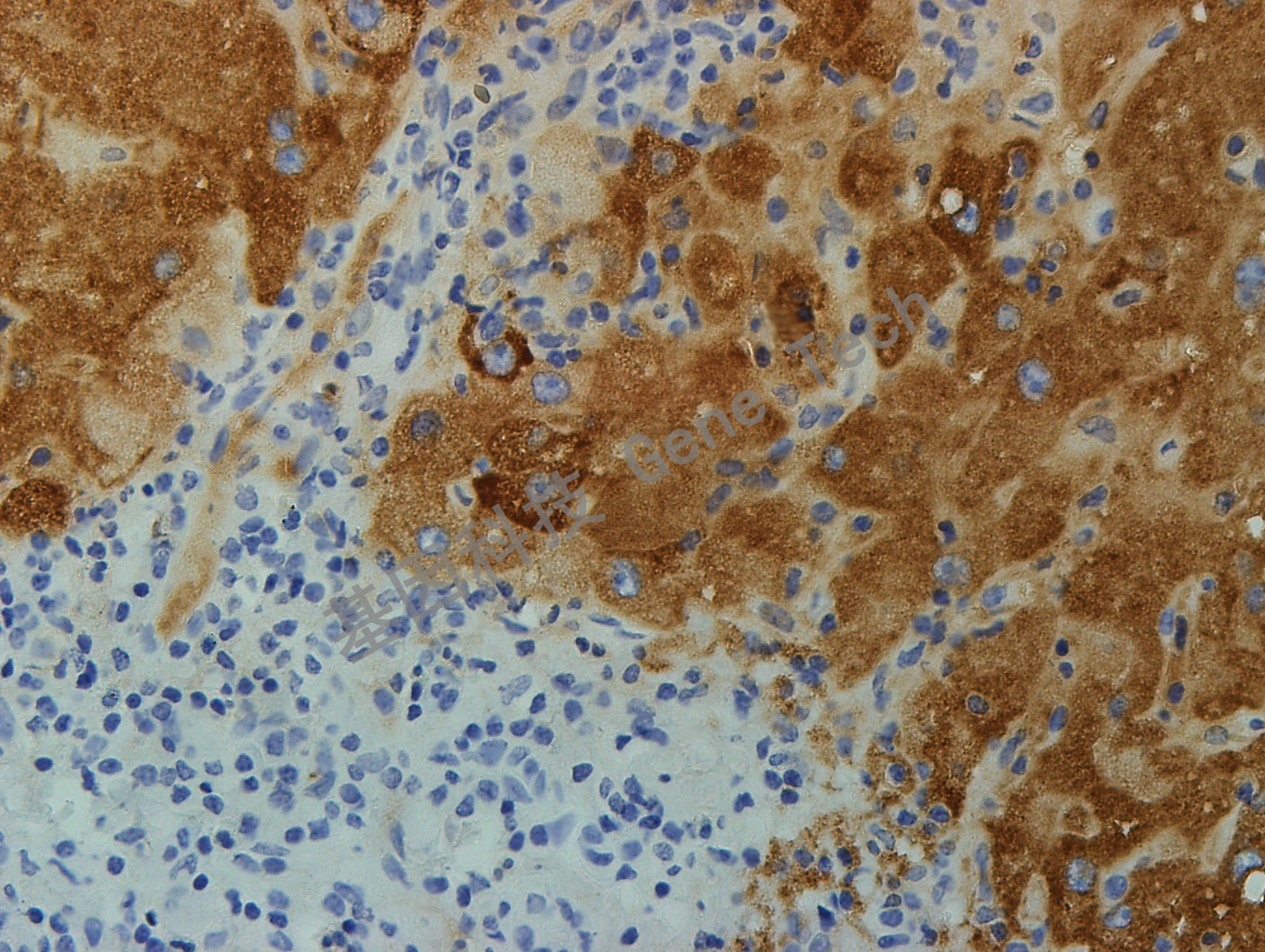
HBsAg(Hepatitis B surface antigen, 乙型肝炎表面抗原)是乙型肝炎病毒感染的标志物之一。在感染组织的细胞浆中呈现弥漫性着色,主要用于研究乙肝病毒表面抗原感染的组织,也可用于肝硬化、肝癌与乙肝病毒感染的相关性等方面研究。
【种属】鼠
【预处理】高pH热修复
【阳性部位】细胞浆
【阳性对照】HBV感染的肝组织
【染色系统】基因科技GTvision试剂盒

乙肝石蜡切片,用 HBsAg(GT2224)染色,细胞浆阳性,DAB 显色。

乙肝石蜡切片,用 HBsAg(GT2224)染色,细胞浆阳性,DAB 显色。

乙肝石蜡切片,用 HBsAg(GT2224)染色,细胞浆阳性,DAB 显色。