沪闵械备20180048号
Hepatocyte又称Hep Par-1,是肝细胞的特异性标记物,识别肝细胞的线粒体。在肝脏中显示弥漫性的细胞质染色,伴有特性的颗粒状染色。可联合Arginase-1和Glypican-3用于原发性肝细胞癌与转移性肿瘤及胆管癌的鉴别诊断。
【种属】鼠
【预处理】高pH热修复
【阳性部位】细胞浆
【阳性对照】肝癌
【染色系统】基因科技GTvision试剂盒

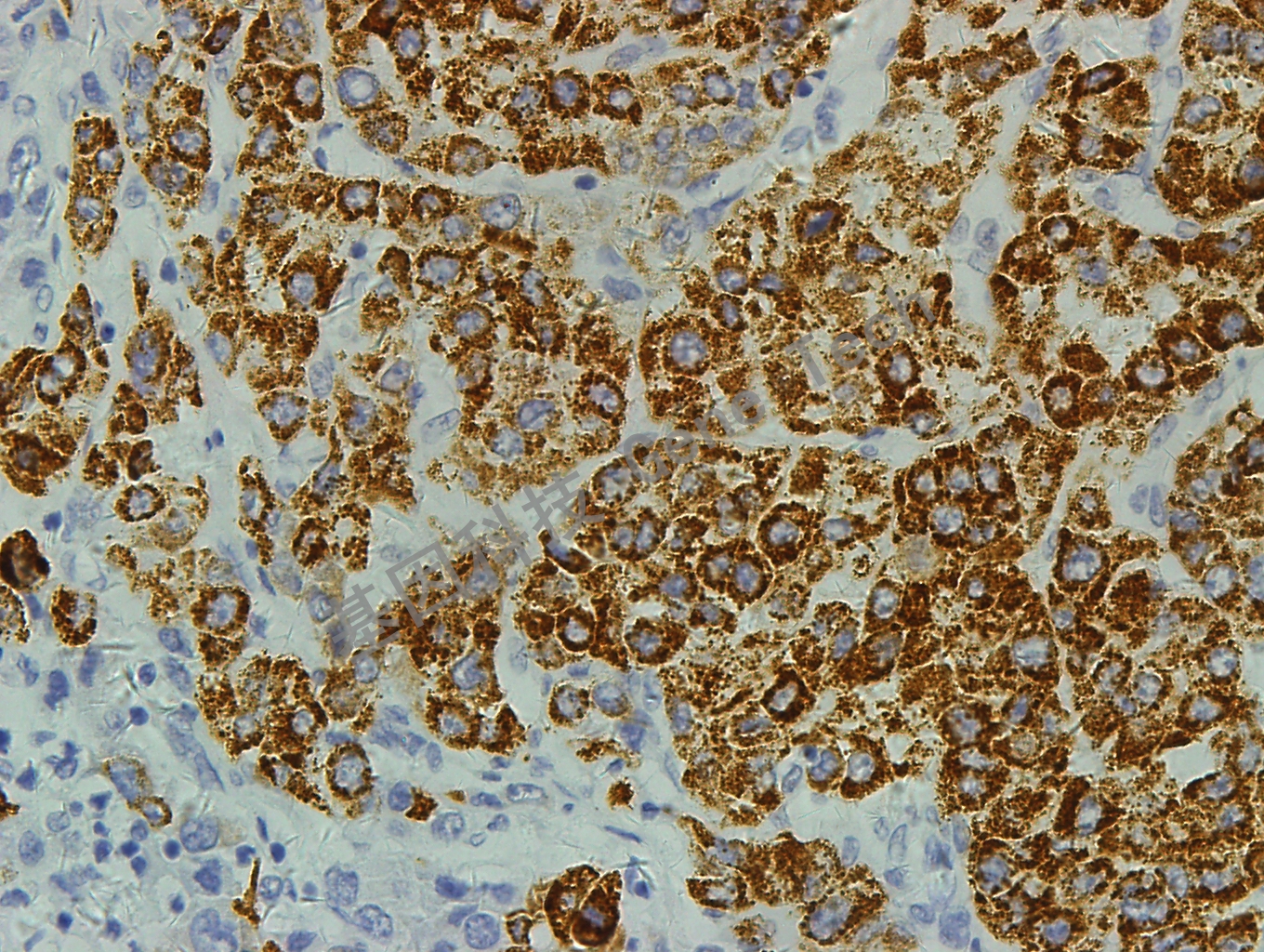
肝癌石蜡切片,用 Hep Par-1(GM7158)染色,细胞浆阳性,DAB 显色。

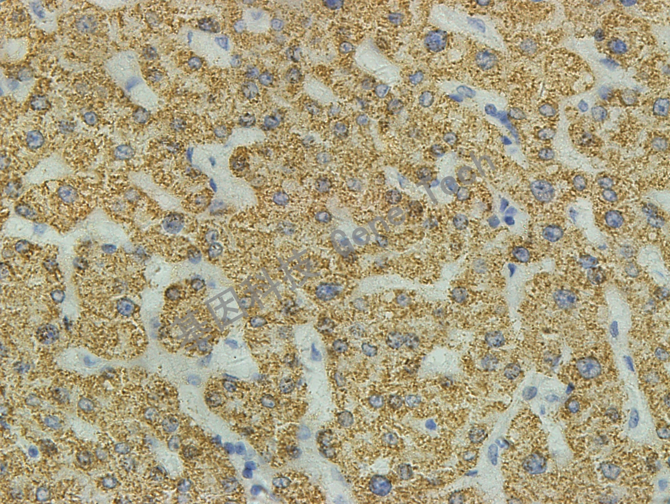
肝癌石蜡切片,用 Hep Par-1(GM7158)染色,细胞浆阳性,DAB 显色。

肝癌石蜡切片,用 Hep Par-1(GM7158)染色,细胞浆阳性,DAB 显色。

肝癌石蜡切片,用 Hep Par-1(GM7158)染色,细胞浆阳性,DAB 显色。