沪闵械备20180103号
GATA3是一种锌指转录因子,在许多组织和细胞类型中对促进和引导细胞增殖、发育和分化起到重要作用。GATA3在乳腺上皮、尿路上皮及T淋巴细胞亚型分化过程中起重要作用。GATA3在原发和转移性乳腺导管癌及乳腺小叶癌、尿路上皮癌、皮肤基底细胞癌、滋养层细胞肿瘤和内胚窦瘤阳性表达。
【种属】兔
【预处理】高pH热修复
【阳性部位】细胞核
【阳性对照】尿路上皮癌/乳腺癌
【染色系统】基因科技GTvision试剂盒

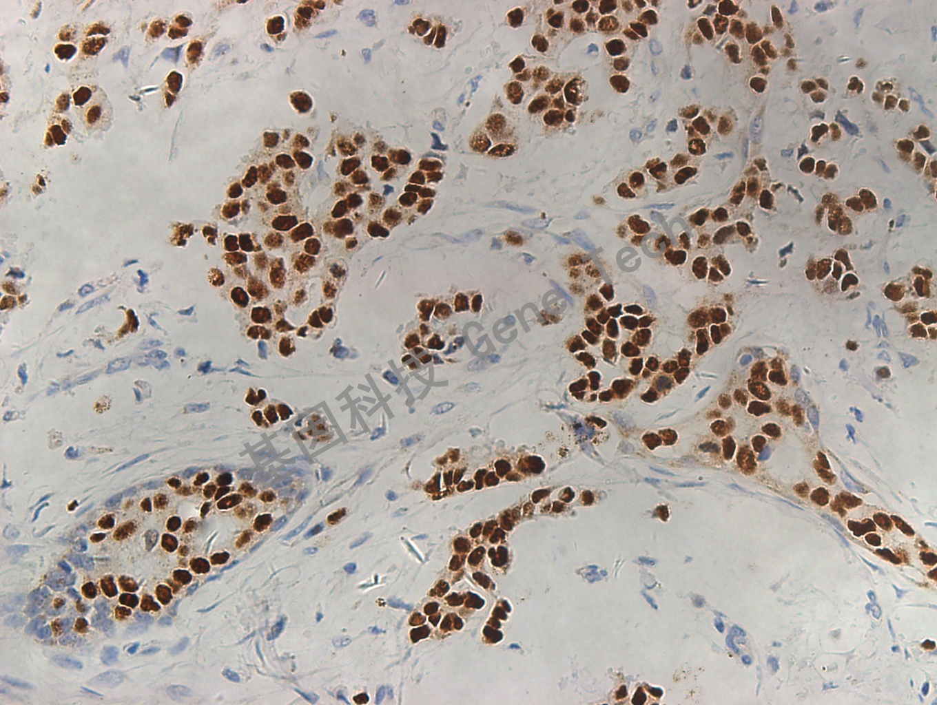
膀胱癌石蜡切片,用 GATA3(GT2187)染色,细胞核阳性,DAB 显色。

尿路上皮癌石蜡切片,用 GATA3(GT2187)染色,细胞核阳性,DAB 显色。

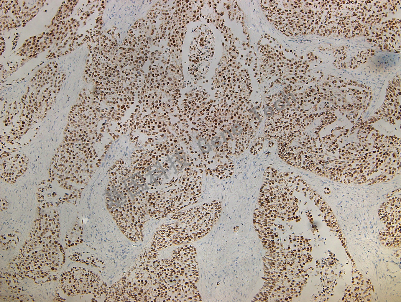
膀胱浸润性尿路上皮癌石蜡切片,用 GATA3(GT2187)染色,细胞核阳性,DAB 显色。

膀胱浸润性尿路上皮癌石蜡切片,用 GATA3(GT2187)染色,细胞核阳性,DAB 显色。

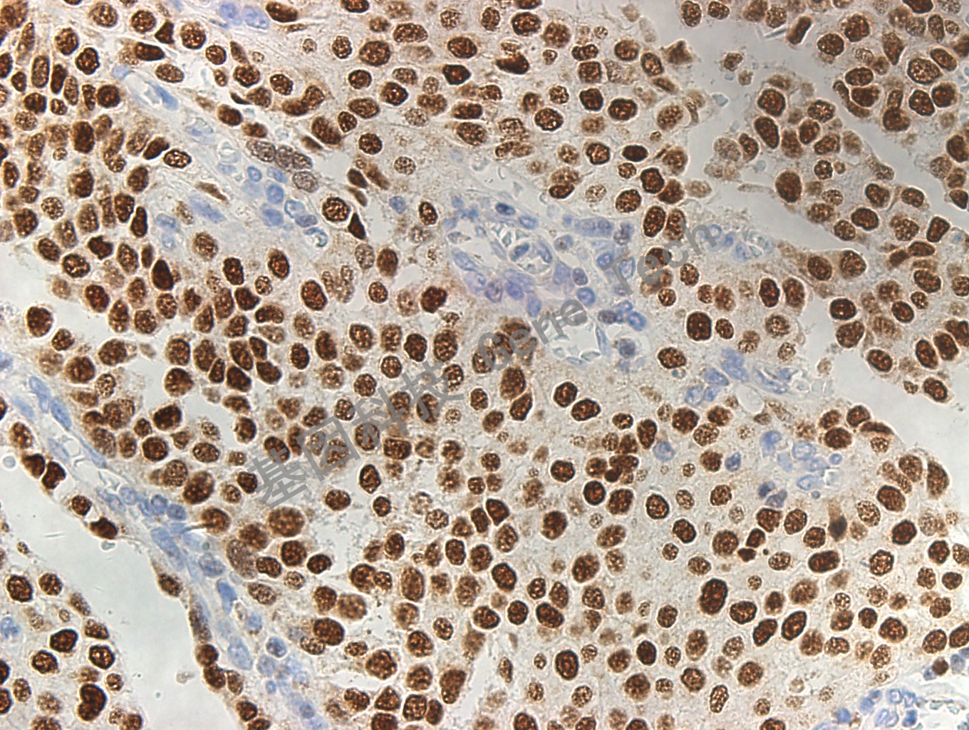
乳腺癌石蜡切片,用 GATA3(GT2187)染色,细胞核阳性,DAB 显色。

膀胱癌石蜡切片,用 GATA3(GT2187)染色,细胞核阳性,DAB 显色。

膀胱癌石蜡切片,用 GATA3(GT2187)染色,细胞核阳性,DAB 显色。

肾石蜡切片,用 GATA3(GT2187)染色,细胞核阳性,DAB 显色。