沪闵械备20180307号
Granzyme B又叫GZM-B,粒酶B,是分子量为29kDa的与细胞毒性T细胞相关的丝氨酸蛋白酶,可通过穿孔素的衍生跨膜通道进入靶细胞诱导DNA断裂和细胞凋亡。该抗体可识别储存在细胞毒性T细胞和NK细胞中的GZM-B抗原,有助于细胞毒T细胞,NK淋巴细胞及其肿瘤的诊断与研究。此外,EB病毒阳性的霍奇金氏淋巴瘤的R-S细胞中GZM-B表达阳性。
【种属】鼠
【预处理】高pH热修复
【阳性部位】细胞浆
【阳性对照】T细胞淋巴瘤/结肠癌
【染色系统】基因科技GTvision试剂盒

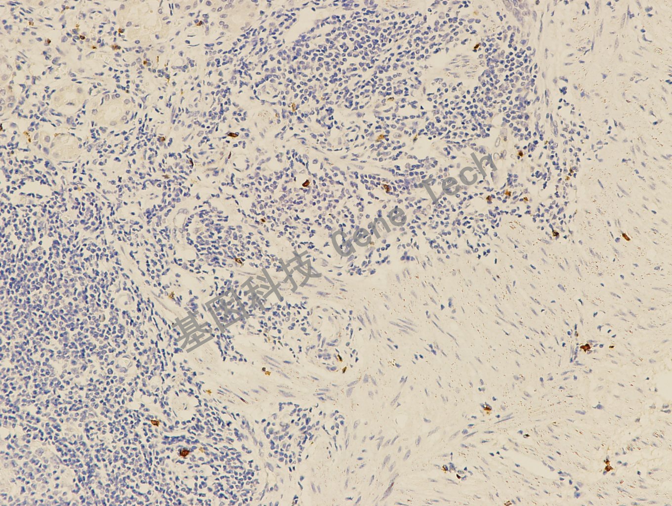
扁桃体石蜡切片,用 Granzyme B(GT2297)染色,细胞浆阳性,DAB 显色。
扁桃体石蜡切片,用 Granzyme B(GT2297)染色,细胞浆阳性,DAB 显色。