沪闵械备20180269号
GCDFP-15是一种分子量为15kDa的单链蛋白,常见于囊泡病的囊泡液中。研究发现,GCDFP-15是一种高度特异和敏感的乳腺癌标记物,可用于乳腺癌的鉴别诊断。与CK7和CK20联合使用,用于鉴别原发或继发性乳腺外佩吉特病。
【种属】鼠
【预处理】高pH热修复
【阳性部位】细胞浆
【阳性对照】乳腺
【染色系统】基因科技GTvision试剂盒

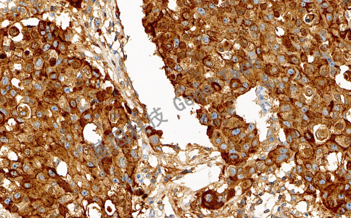
乳腺癌石蜡切片,用 GCDFP-15(GT2049)染色,细胞浆阳性,DAB 显色。
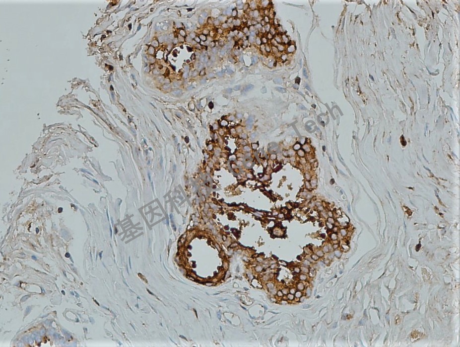
乳腺癌石蜡切片,用 GCDFP-15(GT2049)染色,细胞浆阳性,DAB 显色。

乳腺癌石蜡切片,用 GCDFP-15(GT2049)染色,细胞浆阳性,DAB 显色。