沪闵械备20180009号
Glypican-3(磷脂酰肌醇蛋白多糖-3,GPC3)是一种癌胚蛋白,表达于胎儿肝、肾和滋养细胞,其它正常组织不表达。是肝细胞癌的敏感及特异的标记物,其表达与分化有关,分化越差,阳性表达越高。可与HepPar-1、CD34、CD10及AFP联合应用于肝细胞肝癌和肝脏转移癌以及异型增生性结节、肝腺瘤、肝硬化结节的研究。同时也高表达于卵巢卵黄囊瘤和绒毛膜癌。
【种属】鼠
【预处理】高pH热修复
【阳性部位】细胞浆
【阳性对照】肝癌
【染色系统】基因科技GTvision试剂盒

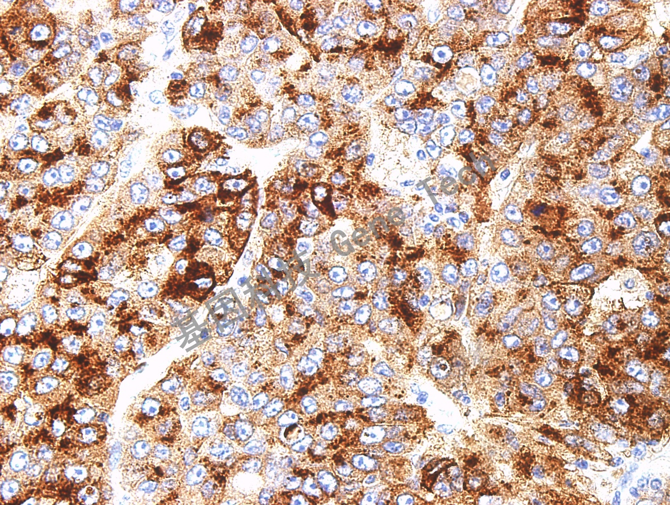
肝癌石蜡切片,用 Glypican-3(GT2068)染色,细胞浆阳性,DAB 显色。

肝细胞癌石蜡切片,用 Glypican-3(GT2068)染色,细胞浆阳性,DAB 显色。

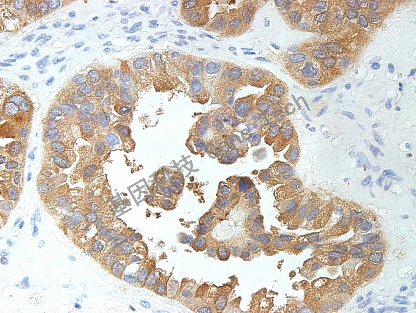
卵巢透明细胞癌石蜡切片,用 Glypican-3(GT2068)染色,细胞浆阳性,DAB 显色。

卵巢透明细胞癌石蜡切片,用 Glypican-3(GT2068)染色,细胞浆阳性,DAB 显色。

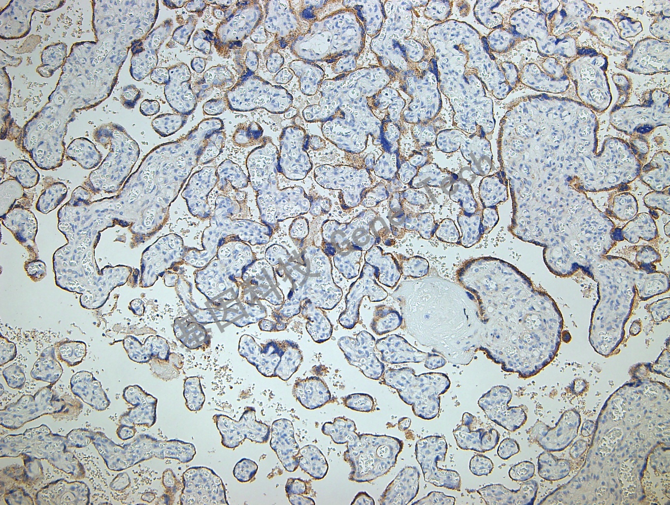
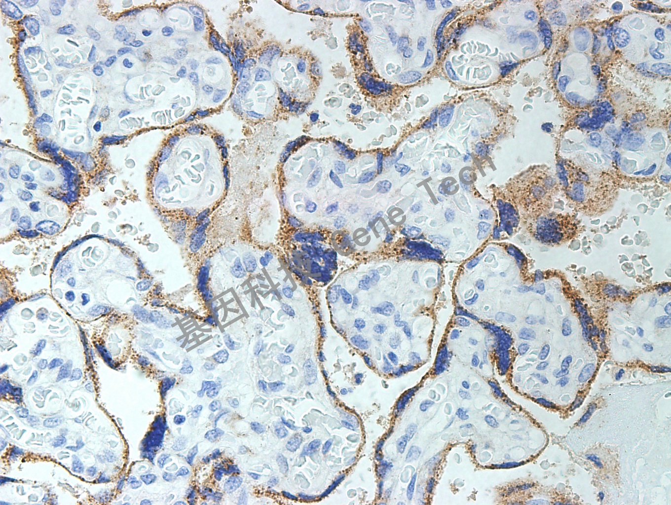
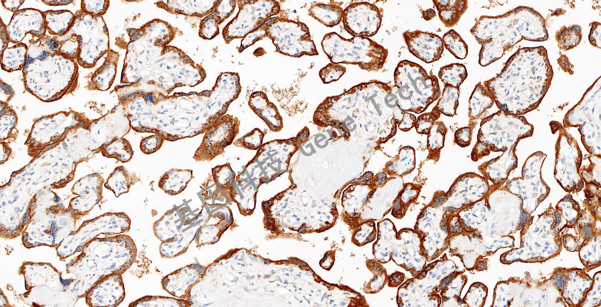
胎盘石蜡切片,用 Glypican-3(GT2068)染色,细胞膜/细胞浆阳性,DAB 显色。

胎盘石蜡切片,用 Glypican-3(GT2068)染色,细胞膜/细胞浆阳性,DAB 显色。

胎盘石蜡切片,用 Glypican-3(GT2068)染色,细胞膜/细胞浆阳性,DAB 显色。

胎盘石蜡切片,用 Glypican-3(GT2068)染色,细胞膜/细胞浆阳性,DAB 显色。