沪闵械备20180229号
FLI-1(Friend leukaemia integration-1,白血病病毒整合基因1)是一种转录因子。参与细胞增殖、肿瘤发生及血管形成。在病理学中应用:1、尤文肉瘤/原始神经外胚层肿瘤的诊断与鉴别诊断,敏感性和特异性均高于CD99。2、血管肉瘤与其他肉瘤及低分化癌、恶性黑色素瘤鉴别诊断。3、可作为内皮细胞标记物,敏感性及特异性优于CD31和CD34。
【种属】鼠
【预处理】高pH热修复
【阳性部位】细胞核
【阳性对照】血管肉瘤
【染色系统】基因科技GTvision试剂盒

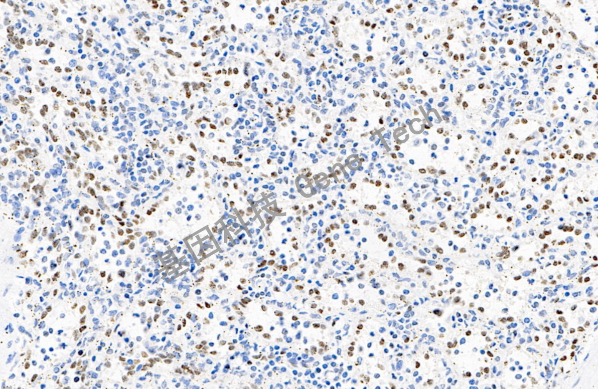
脾石蜡切片,用 FLI-1(GT2081)染色,细胞核阳性,DAB 显色。

脾石蜡切片,用 FLI-1(GT2081)染色,细胞核阳性,DAB 显色。