沪闵械备20180096号
ERCC1是核苷酸切除修复通路中高度保守的切除性核酶,是有效修复烷化剂诱导的DNA复合物的必要条件。目前研究资料表明,ERCC1蛋白表达阴性,患者应用顺铂辅助化疗可能获得生存受益;ERCC1蛋白表达阳性可能提示存在这铂类药物耐药,ERCC1蛋白表达可能成为患者是否应用顺铂辅助化疗的指标之一。
【种属】兔
【预处理】高pH热修复
【阳性部位】细胞核
【阳性对照】肺鳞癌
【染色系统】基因科技GTvision试剂盒

肺腺石蜡切片,用 ERCC1(GT2155)染,细胞核阳性,DAB 显色。

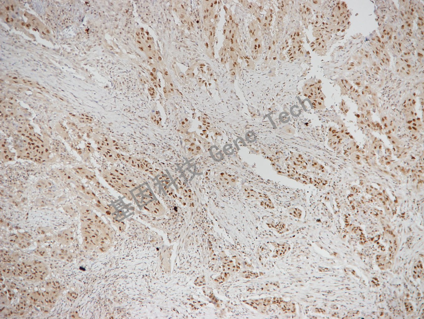
前列腺癌石蜡切片,用 ERCC1(GT2155)染,细胞核阳性,DAB 显色。

阑尾石蜡切片,用 ERCC1(GT2155)染,细胞核阳性,DAB 显色。

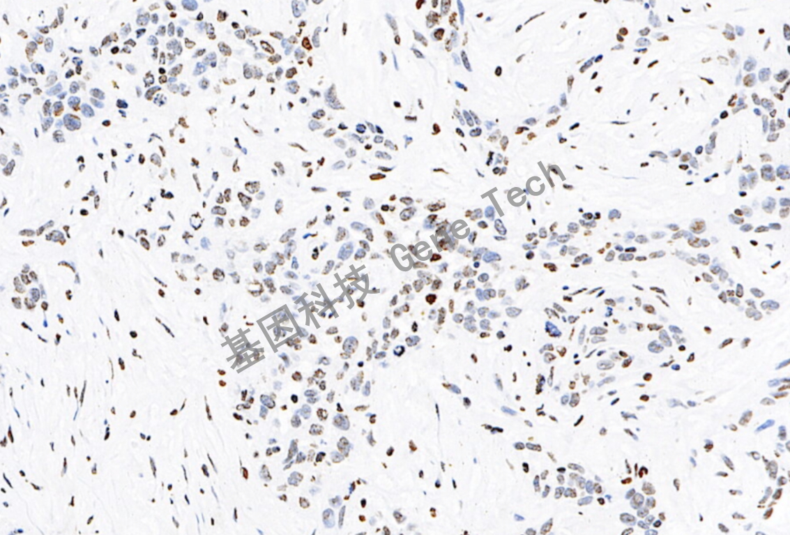
肺癌石蜡切片,用 ERCC1(GT2155)染,细胞核阳性,DAB 显色。
肺癌石蜡切片,用 ERCC1(GT2155)染,细胞核阳性,DAB 显色。