国械注准20173404076
Estrogen Receptor(雌激素受体,ER)该抗体识别人雌激素受体α亚型,在子宫内膜、平滑肌细胞、正常乳腺上皮及乳腺癌中均有阳性表达,是乳腺癌预后及内分泌治疗的重要指标。约有50-60%的乳癌患者ER表达阳性。
【种属】兔
【预处理】低pH热修复
【阳性部位】细胞核
【阳性对照】乳腺癌
【染色系统】基因科技GTvision试剂盒

乳腺癌石蜡切片,用 ER(GT2056)染色,细胞核阴性,DAB 显色。
乳腺癌石蜡切片,用 ER(GT2056)染色,细胞核弱阳性,DAB 显色。

乳腺癌石蜡切片,用 ER(GT2056)染色,细胞核中阳性,DAB 显色。

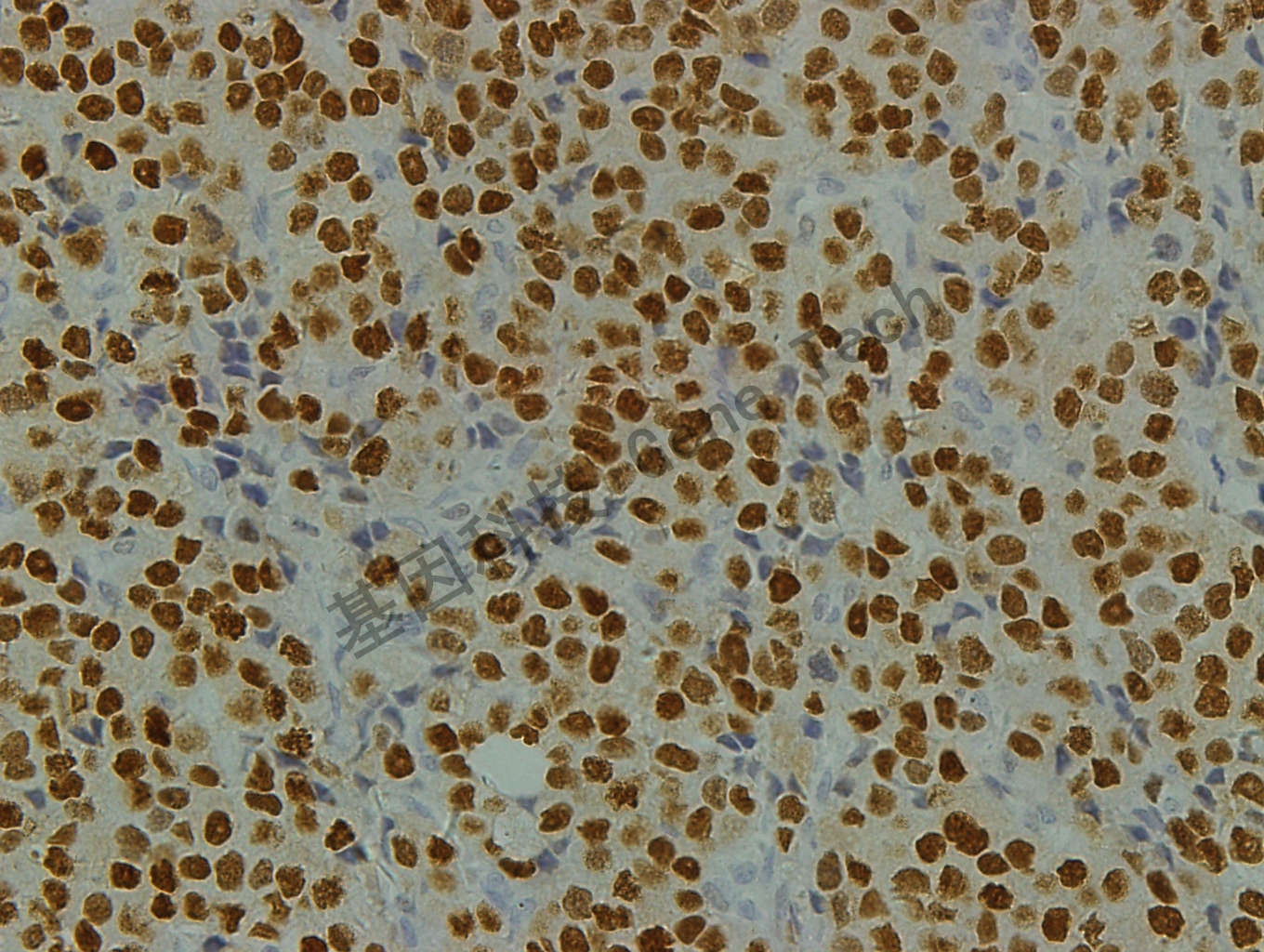
乳腺癌石蜡切片,用 ER(GT2056)染色,细胞核强阳性,DAB 显色。

乳腺癌石蜡切片,用 ER(GT2056)染色,细胞核强阳性,DAB 显色。

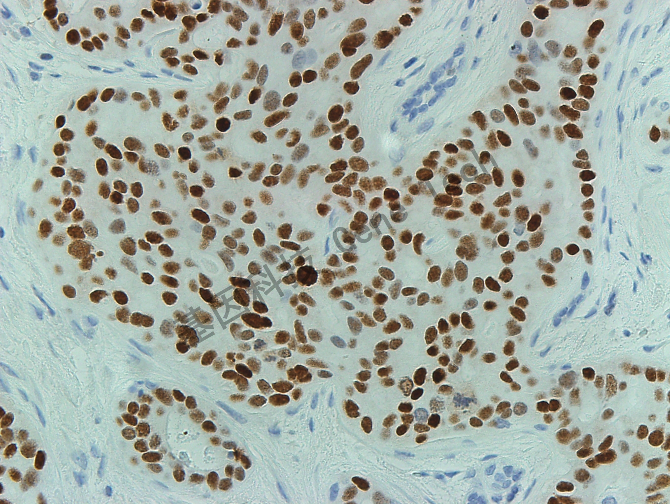
扁桃体石蜡切片,用 ER(GT2056)染色,细胞核阳性,DAB 显色。

子宫颈石蜡切片,用 ER(GT2056)染色,细胞核阳性,DAB 显色。

子宫颈石蜡切片,用 ER(GT2056)染色,细胞核阳性,DAB 显色。

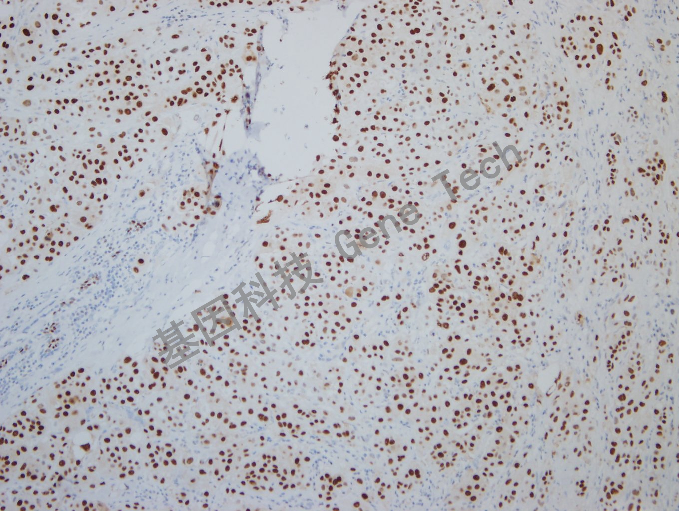
乳腺癌石蜡切片,用 ER(GT2056)染色,细胞核阳性,DAB 显色。

乳腺癌石蜡切片,用 ER(GT2056)染色,细胞核阳性,DAB 显色。

乳腺癌石蜡切片,用 ER(GT2056)染色,细胞核阳性,DAB 显色。

乳腺癌石蜡切片,用 ER(GT2056)染色,细胞核阴性,DAB 显色。

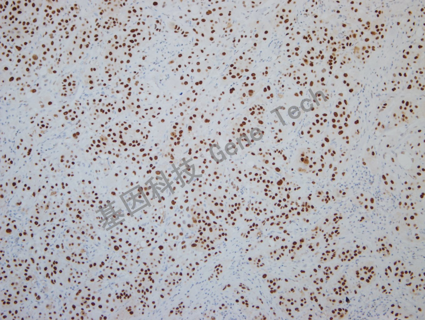
乳腺癌石蜡切片,用 ER(GT2056)染色,细胞核弱阳性,DAB 显色。