沪闵械备20180302号
EMA(Epithelial Membrane Antigen,上皮膜抗原)是一种跨膜糖蛋白,广泛分布于各种上皮细胞及其来源的肿瘤。此抗体可以标记大部分正常上皮及上皮源性的肿瘤;在间皮瘤中常为胞浆着色;浆细胞、各种已受T细胞活化的外周血B细胞及一些间充质(脊索和神经周围纤维母细胞)也为阳性;淋巴瘤中T细胞丰富的B细胞淋巴瘤、弥漫大B细胞淋巴瘤及其变异型、95%的大细胞间变型、单核样的B细胞淋巴瘤以及18%的T细胞淋巴瘤阳性表达;还可在一些骨髓瘤、60%的结节性淋巴细胞为主霍奇金淋巴瘤、滑膜肉瘤、上皮样肉瘤等肿瘤中阳性表达。EMA常用于间皮反应和间皮瘤的鉴别(间皮瘤中的膜染色更强);间皮瘤和腺癌的鉴别(前者细胞膜着色);基底细胞、鳞状细胞与皮肤基底细胞癌的鉴别;淋巴结ALK阳性的大细胞间变型淋巴瘤同其他淋巴瘤类型的鉴别。
【种属】鼠
【预处理】高pH热修复
【阳性部位】细胞膜/细胞浆
【阳性对照】乳腺癌/阑尾
【染色系统】基因科技GTvision试剂盒

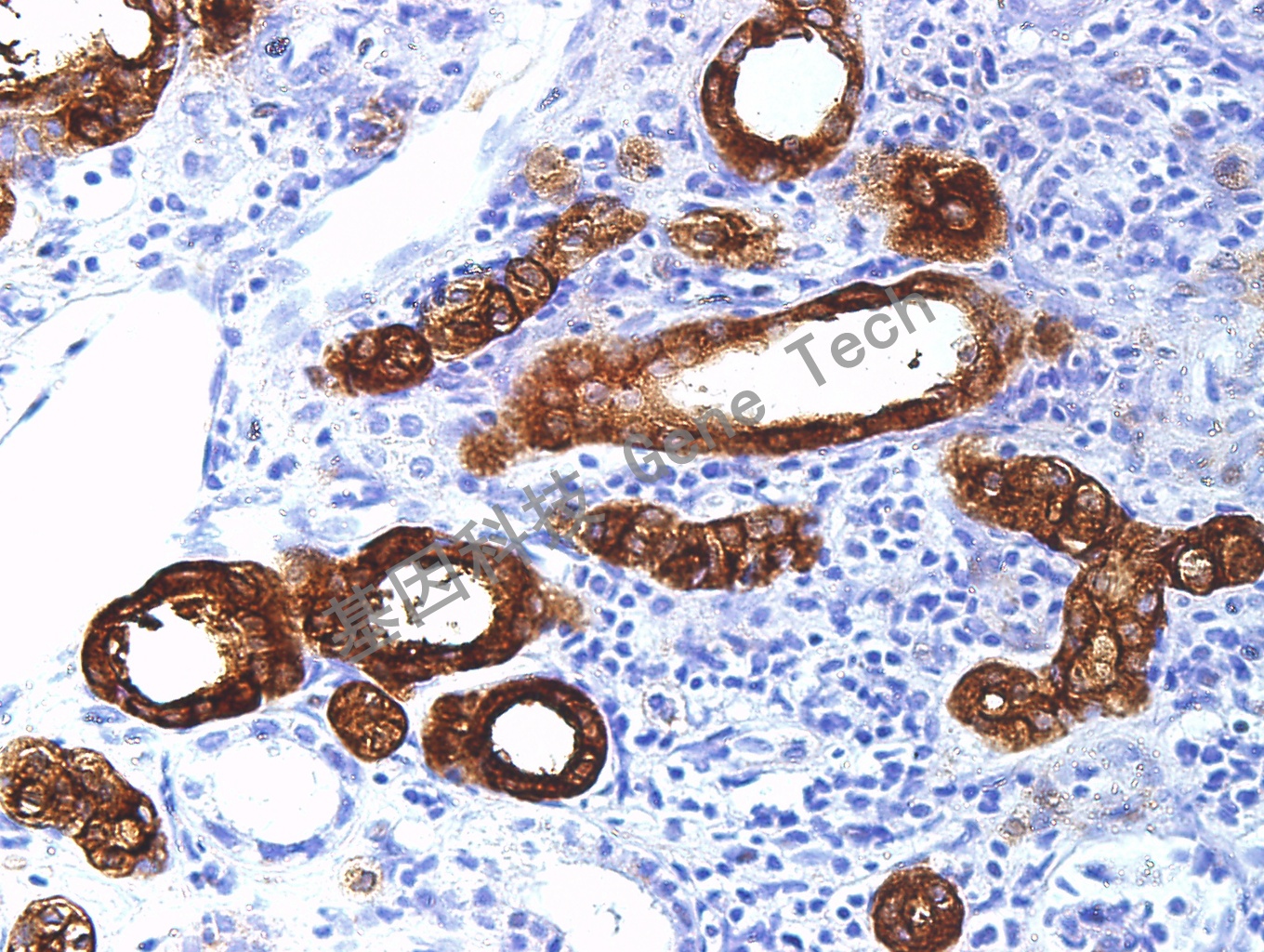
肾透明细胞癌石蜡切片,用 EMA(GM0613)染色,细胞膜/细胞浆阳性,DAB 显色。

肾透明细胞癌石蜡切片,用 EMA(GM0613)染色,细胞膜/细胞浆阳性,DAB 显色。