沪闵械备20180238号
EGFR是一种分子量为170kDa的膜蛋白,由一个能结合表皮生长因子的胞外功能区、一个短的穿膜区和一个具有酪氨酸激酶活性的胞内区组成。EGFR表达于多种正常组织,特别是复层上皮和鳞状上皮的基底层。在许多肿瘤中均有过表达现象,如乳腺癌、 膀胱癌、胰腺癌、胃癌及甲状腺癌等,其阳性表达表明预后差。
【种属】兔
【预处理】高pH热修复
【阳性部位】细胞膜/细胞浆
【阳性对照】扁桃体/肺癌
【染色系统】基因科技GTvision试剂盒

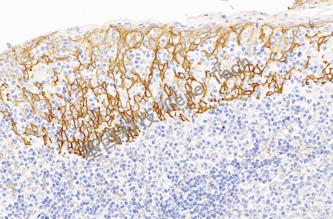
扁桃体石蜡切片,用 EGFR(GT2093)染色,细胞膜/细胞浆阳性,DAB 显色。

扁桃体石蜡切片,用 EGFR(GT2093)染色,细胞膜/细胞浆阳性,DAB 显色。

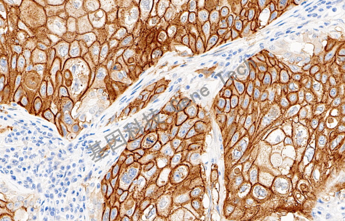
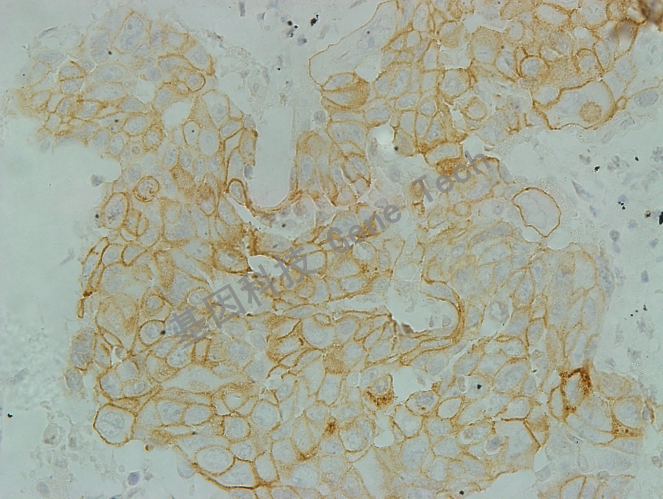
肺鳞癌石蜡切片,用 EGFR(GT2093)染色,细胞膜/细胞浆阳性,DAB 显色。

肺癌石蜡切片,用 EGFR(GT2093)染色,细胞膜/细胞浆阳性,DAB 显色。

肺癌石蜡切片,用 EGFR(GT2093)染色,细胞膜/细胞浆阳性,DAB 显色。