沪闵械备20180101号
DOG-1(Discovered on GIST-1)是一种在胃肠间质瘤中特异表达的细胞膜表面蛋白。功能尚不是十分清楚的蛋白,但可以选择性的在胃肠间质瘤中表达。约87%的胃肠间质瘤可以表达DOG1。偶尔表达于滑膜肉瘤、平滑肌肉瘤等。在胃肠间质瘤的诊断中与CD117相互补充。
【种属】兔
【预处理】高pH热修复
【阳性部位】细胞膜/细胞浆
【阳性对照】胃肠道间质瘤
【染色系统】基因科技GTvision试剂盒

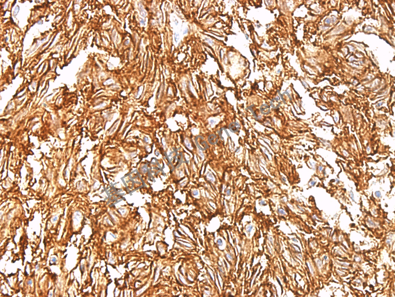
胃间质瘤石蜡切片,用 DOG1(GT2054)染色,细胞膜/细胞浆阳性,DAB 显色。

胃间质瘤石蜡切片,用 DOG1(GT2054)染色,细胞膜/细胞浆阳性,DAB 显色。

胃间质瘤石蜡切片,用 DOG1(GT2054)染色,细胞膜/细胞浆阳性,DAB 显色。
胃间质瘤石蜡切片,用 DOG1(GT2054)染色,细胞膜/细胞浆阳性,DAB 显色。

胃间质瘤石蜡切片,用 DOG1(GT2054)染色,细胞膜/细胞浆阳性,DAB 显色。

胃间质瘤石蜡切片,用 DOG1(GT2054)染色,细胞膜/细胞浆阳性,DAB 显色。