Myf-4 鼠抗人 Myf-4
克隆号:LO26
货号:GT2269


Myf-4与Myogenin同源,定位于分化细胞的核内,是骨骼肌特异性转录因子,为横纹肌肉瘤的特异性标记物。可用于横纹肌肉瘤与神经母细胞瘤、肝母细胞瘤、非霍奇金淋巴瘤、平滑肌瘤的鉴别诊断。


【种属】鼠


【预处理】高pH热修复


【阳性部位】细胞核


【阳性对照】横纹肌肉瘤 


【染色系统】基因科技GTvision试剂盒


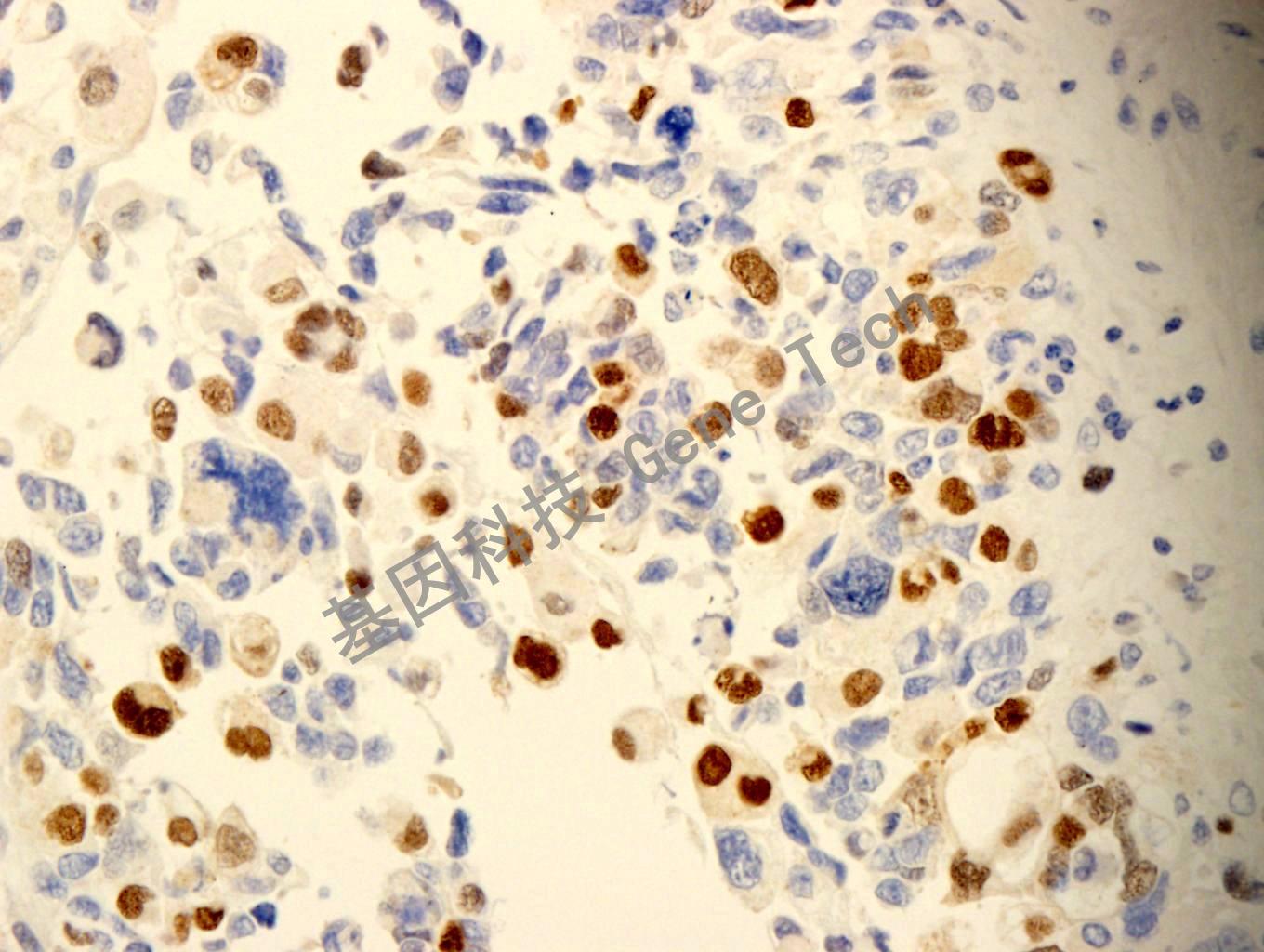
Myf-4 GT2269 横纹肌肉瘤 10X_副本.jpg

横纹肌肉瘤石蜡切片,用 Myf-4(GT2269)染色,细胞核阳性,DAB 显色。

Myf-4 GT2269 横纹肌肉瘤 40X_副本.jpg横纹肌肉瘤石蜡切片,用 Myf-4(GT2269)染色,细胞核阳性,DAB 显色。