沪闵械备20200005号
FRα(Folate Receptor alpha,叶酸受体α)是一种糖基磷脂酰肌醇欧联蛋白,其在正常组织中低表达,在肿瘤细胞膜表面高表达,分为FR-α、FR-β、FR-γ,其中FR-α高表达于黏液癌中,包括卵巢腺癌、子宫腺癌、宫颈腺癌、睾丸绒毛膜癌和某些脑肿瘤中,并且少量表达于肾、结肠及心脏等癌中。
【种属】鼠
【预处理】高pH热修复
【阳性部位】细胞膜/细胞浆
【阳性对照】卵巢癌
【染色系统】基因科技GTvision试剂盒

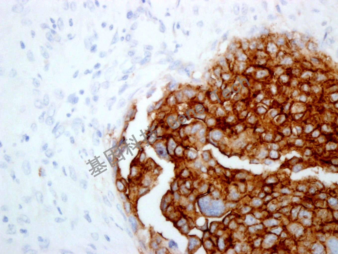
卵巢癌石蜡切片,用 FRα(GT2262)染色,细胞膜/细胞浆阳性,DAB 显色。

卵巢癌石蜡切片,用 FRα(GT2262)染色,细胞膜/细胞浆阳性,DAB 显色。

卵巢癌石蜡切片,用 FRα(GT2262)染色,细胞膜/细胞浆阳性,DAB 显色。